Skip to main content

ERK2 Antibody (OTI6E5)

Novus Biologicals, part of Bio-Techne | Catalog # NBP1-47842

Novus Biologicals, part of Bio-Techne

Key Product Details

Species Reactivity

Human, Mouse, Rat, Canine, Monkey

Applications

Immunohistochemistry, Immunohistochemistry-Paraffin, Western Blot, Immunoprecipitation

Label

Unconjugated

Antibody Source

Monoclonal Mouse IgG1 Clone # OTI6E5

Concentration

1 mg/ml

Product Specifications

Immunogen

Full length human recombinant protein of human MAPK1(NP_620407) produced in HEK293T cell.

Reactivity Notes

Please note that this antibody is reactive to Mouse and derived from the same host, Mouse. Mouse-On-Mouse blocking reagent may be needed for IHC and ICC experiments to reduce high background signal. You can find these reagents under catalog numbers PK-2200-NB and MP-2400-NB. Please contact Technical Support if you have any questions.

Specificity

This antibody is specific for Homo sapiens mitogen-activated protein kinase 1 (MAPK1), transcript variant 2.

Clonality

Monoclonal

Host

Mouse

Isotype

IgG1

Theoretical MW

41.4 kDa.
Disclaimer note: The observed molecular weight of the protein may vary from the listed predicted molecular weight due to post translational modifications, post translation cleavages, relative charges, and other experimental factors.

Description

Novus Biologicals Mouse ERK2 Antibody (OTI6E5) (NBP1-47842) is a monoclonal antibody validated for use in IHC, WB and IP. All Novus Biologicals antibodies are covered by our 100% guarantee.

Scientific Data Images for ERK2 Antibody (OTI6E5)

Western Blot: ERK2 Antibody (OTI6E5) [NBP1-47842]

Western Blot: ERK2 Antibody (OTI6E5) [NBP1-47842]

Western Blot: ERK2 Antibody (6E5) [NBP1-47842] - Analysis of extracts (35ug) from 9 different cell lines by using anti-ERK2 monoclonal antibody.
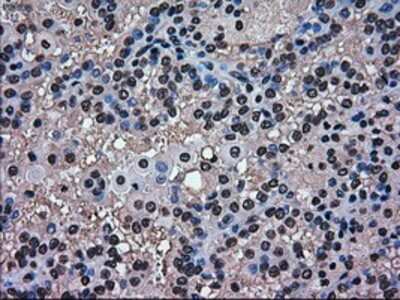
Immunohistochemistry-Paraffin: ERK2 Antibody (OTI6E5) [NBP1-47842]

Immunohistochemistry-Paraffin: ERK2 Antibody (OTI6E5) [NBP1-47842]

Immunohistochemistry-Paraffin: ERK2 Antibody (6E5) [NBP1-47842] - Endometrium tissue within the normal limits using antiMAPK1mouse monoclonal antibody. (Heat-induced epitope retrieval by 10mM citric buffer, pH6.0, 100C for 10min,Dilution 1:50)
Western Blot: ERK2 Antibody (OTI6E5) [NBP1-47842]

Western Blot: ERK2 Antibody (OTI6E5) [NBP1-47842]

Western Blot: ERK2 Antibody (6E5) [NBP1-47842] - HEK293T cells were transfected with the pCMV6-ENTRY control (Left lane) or pCMV6-ENTRY ERK2 (Right lane) cDNA for 48 hrs and lysed. Equivalent amounts of cell lysates (5 ug per lane) were separated by SDS-PAGE and immunoblotted with anti-ERK2.

Applications for ERK2 Antibody (OTI6E5)

Application
Recommended Usage

Immunohistochemistry

1:50

Immunohistochemistry-Paraffin

1:50

Immunoprecipitation

2-4ug/mg

Western Blot

1:2000

Formulation, Preparation, and Storage

Purification

Immunogen affinity purified

Formulation

PBS (pH 7.3), 1.0% BSA and 50% Glycerol

Preservative

0.02% Sodium Azide

Concentration

1 mg/ml

Shipping

The product is shipped with polar packs. Upon receipt, store it immediately at the temperature recommended below.

Stability & Storage

Store at -20C. Avoid freeze-thaw cycles.

Background: ERK2

The protein encoded by this gene is a member of the MAP kinase family. MAP kinases, also known as extracellular signal-regulated kinases (ERKs), act as an integration point for multiple biochemical signals, and are involved in a wide variety of cellular processes such as proliferation, differentiation, transcription regulation and development. The activation of this kinase requires its phosphorylation by upstream kinases. Upon activation, this kinase translocates to the nucleus of the stimulated cells, where it phosphorylates nuclear targets. Two alternatively spliced transcript variants encoding the same protein, but differing in the UTRs, have been reported for this gene.

Long Name

Extracellular Signal-regulated Kinase 2

Alternate Names

ERT1, MAPK1, MAPK2, p41mapk, p42mapk, PRKM1, PRKM2

Entrez Gene IDs

5594 (Human)

Gene Symbol

MAPK1

Additional ERK2 Products

Product Documents for ERK2 Antibody (OTI6E5)

Certificate of Analysis

To download a Certificate of Analysis, please enter a lot number in the search box below.

Product Specific Notices for ERK2 Antibody (OTI6E5)

This product is for research use only and is not approved for use in humans or in clinical diagnosis. Primary Antibodies are guaranteed for 1 year from date of receipt.

Loading...
Loading...
Loading...
Loading...