Skip to main content

EPHX2 Antibody - BSA Free

Novus Biologicals, part of Bio-Techne | Catalog # NBP1-89534

Novus Biologicals, part of Bio-Techne
Catalog #
Availability
Size / Price
Qty
Loading...
NBP1-89534
NBP1-89534-25ul

Key Product Details

Species Reactivity

Human

Applications

Immunohistochemistry, Immunohistochemistry-Paraffin, Western Blot, Immunocytochemistry/ Immunofluorescence

Label

Unconjugated

Antibody Source

Polyclonal Rabbit IgG

Format

BSA Free

Concentration

Concentrations vary lot to lot. See vial label for concentration. If unlisted please contact technical services.

Product Specifications

Immunogen

This antibody was developed against Recombinant Protein corresponding to amino acids: YRNMERNWKWACKSLGRKILIPALMVTAEKDFVLVPQMSQHMEDWIPHLKRGHIEDCGHWTQMDKPTEVNQILIKWLDSDAR

Clonality

Polyclonal

Host

Rabbit

Isotype

IgG

Description

Novus Biologicals Rabbit EPHX2 Antibody - BSA Free (NBP1-89534) is a polyclonal antibody validated for use in IHC, WB and ICC/IF. All Novus Biologicals antibodies are covered by our 100% guarantee.

Scientific Data Images for EPHX2 Antibody - BSA Free

Immunocytochemistry/ Immunofluorescence: EPHX2 Antibody [NBP1-89534]

Immunocytochemistry/ Immunofluorescence: EPHX2 Antibody [NBP1-89534]

Immunocytochemistry/Immunofluorescence: EPHX2 Antibody [NBP1-89534] - Immunofluorescent staining of human cell line U-2 OS shows localization to cytosol.
Immunohistochemistry-Paraffin: EPHX2 Antibody [NBP1-89534]

Immunohistochemistry-Paraffin: EPHX2 Antibody [NBP1-89534]

Immunohistochemistry-Paraffin: EPHX2 Antibody [NBP1-89534] - Staining of human small intestine shows strong cytoplasmic positivity in glandular cells.
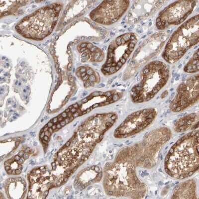
Immunohistochemistry-Paraffin: EPHX2 Antibody [NBP1-89534]

Immunohistochemistry-Paraffin: EPHX2 Antibody [NBP1-89534]

Immunohistochemistry-Paraffin: EPHX2 Antibody [NBP1-89534] - Staining of human kidney shows strong cytoplasmic positivity in cells in tubules.

Applications for EPHX2 Antibody - BSA Free

Application
Recommended Usage

Immunocytochemistry/ Immunofluorescence

0.25-2 ug/ml

Immunohistochemistry

1:200 - 1:500

Immunohistochemistry-Paraffin

1:200 - 1:500

Western Blot

0.04-0.4 ug/ml
Application Notes
For IHC-Paraffin, HIER pH 6 retrieval is recommended. ICC/IF, Fixation Permeabilization: Use PFA/Triton X-100.

Formulation, Preparation, and Storage

Purification

Affinity purified

Formulation

PBS (pH 7.2) and 40% Glycerol

Format

BSA Free

Preservative

0.02% Sodium Azide

Concentration

Concentrations vary lot to lot. See vial label for concentration. If unlisted please contact technical services.

Shipping

The product is shipped with polar packs. Upon receipt, store it immediately at the temperature recommended below.

Stability & Storage

Store at 4C short term. Aliquot and store at -20C long term. Avoid freeze-thaw cycles.

Background: Epoxide Hydrolase 2/EPHX2

EPHX2 encodes a member of the epoxide hydrolase family. The protein, found in both the cytosol and peroxisomes, binds to specific epoxides and converts them to the corresponding dihydrodiols. Mutations in this gene have been associated with familial hypercholesterolemia. Alternate transcriptional splice variants of this gene have been observed but have not been thoroughly characterized.

Alternate Names

Bifunctional Epoxide Hydrolase 2, CEH, EPHX2, Epoxide Hydratase 2, Epoxide Hydrolase 2, Cytosolic, SEH

Gene Symbol

EPHX2

Additional Epoxide Hydrolase 2/EPHX2 Products

Product Documents for EPHX2 Antibody - BSA Free

Certificate of Analysis

To download a Certificate of Analysis, please enter a lot number in the search box below.

Product Specific Notices for EPHX2 Antibody - BSA Free

This product is for research use only and is not approved for use in humans or in clinical diagnosis. Primary Antibodies are guaranteed for 1 year from date of receipt.

Loading...
Loading...
Loading...
Loading...