Skip to main content

EOMES Antibody (CL15426) [Unconjugated] - BSA Free

Novus Biologicals, part of Bio-Techne | Catalog # NBP3-43668

Novus Biologicals, part of Bio-Techne
Catalog #
Availability
Size / Price
Qty
Loading...
NBP3-43668-100ul
NBP3-43668-25ul

Key Product Details

Validated by

Orthogonal Validation

Species Reactivity

Human, Mouse, Rat

Applications

Immunohistochemistry, Immunohistochemistry-Paraffin

Label

Unconjugated

Antibody Source

Monoclonal Mouse IgG1 Clone # CL15426

Format

BSA Free

Concentration

1 mg/ml

Product Specifications

Immunogen

This antibody was generated using a recombinant protein sequence of O95936, with the exact immunogen sequence remaining proprietary.

Clonality

Monoclonal

Host

Mouse

Isotype

IgG1

Description

Novus Biologicals Mouse EOMES Antibody (CL15426) [Unconjugated] - BSA Free (NBP3-43668) is a monoclonal antibody validated for use in IHC. All Novus Biologicals antibodies are covered by our 100% guarantee.

Scientific Data Images for EOMES Antibody (CL15426) [Unconjugated] - BSA Free

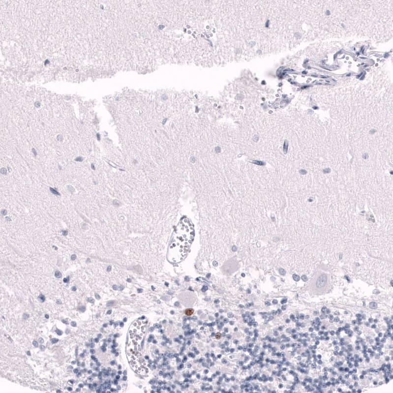
EOMES Antibody (CL15426) [Unconjugated] Immunohistochemistry-Paraffin: EOMES Antibody (CL15426) [NBP3-43668]

Immunohistochemistry-Paraffin: EOMES Antibody (CL15426) [NBP3-43668]

Staining of rat cerebellum shows strong nuclear positivity in cells in the granular layer.
EOMES Antibody (CL15426) [Unconjugated] Immunohistochemistry-Paraffin: EOMES Antibody (CL15426) [NBP3-43668]

Immunohistochemistry-Paraffin: EOMES Antibody (CL15426) [NBP3-43668]

Staining of human liver shows no positivity in hepatocytes as expected.
EOMES Antibody (CL15426) [Unconjugated] Immunohistochemistry-Paraffin: EOMES Antibody (CL15426) [NBP3-43668]

Immunohistochemistry-Paraffin: EOMES Antibody (CL15426) [NBP3-43668]

Staining of mouse embryo, E14 shows strong nuclear positivity in the developing cerebral cortex.

Applications for EOMES Antibody (CL15426) [Unconjugated] - BSA Free

Application
Recommended Usage

Immunohistochemistry

1:200-1:500

Immunohistochemistry-Paraffin

1:200-1:500
Application Notes
For IHC-Paraffin, HIER pH 6 retrieval is recommended.

Formulation, Preparation, and Storage

Purification

Protein A purified

Formulation

PBS, pH 7.2, 40% glycerol

Format

BSA Free

Preservative

0.02% Sodium Azide

Concentration

1 mg/ml

Shipping

The product is shipped with polar packs. Upon receipt, store it immediately at the temperature recommended below.

Stability & Storage

Store at 4C short term. Aliquot and store at -20C long term. Avoid freeze-thaw cycles.

Background: EOMES

EOMES encodes a member of a conserved protein family that shares a common DNA-binding domain, the T-box. T-box genes encode transcription factors involved in the regulation of developmental processes. A similiar gene disrupted in mice is shown to be essential during trophoblast development and gastrulation.

Long Name

Eomesodermin Homolog

Alternate Names

Eomesodermin, TBR2

Gene Symbol

EOMES

Additional EOMES Products

Product Documents for EOMES Antibody (CL15426) [Unconjugated] - BSA Free

Certificate of Analysis

To download a Certificate of Analysis, please enter a lot number in the search box below.

Product Specific Notices for EOMES Antibody (CL15426) [Unconjugated] - BSA Free

This product is for research use only and is not approved for use in humans or in clinical diagnosis. Primary Antibodies are guaranteed for 1 year from date of receipt.

Loading...
Loading...
Loading...
Loading...
Loading...