eNOS Antibody (6H2) - Azide and BSA Free
Novus Biologicals, part of Bio-Techne | Catalog # NBP2-80720
Conjugate
Catalog #
Forumulation
Catalog #
Key Product Details
Species Reactivity
Human
Applications
Immunohistochemistry, Immunohistochemistry-Paraffin, Western Blot, ELISA
Label
Unconjugated
Antibody Source
Monoclonal Mouse IgG1 Clone # 6H2
Format
Azide and BSA Free
Concentration
1 mg/ml
Product Specifications
Immunogen
Purified recombinant fragment of human eNOS expressed in E. coli. [UniProt# P29474]
Clonality
Monoclonal
Host
Mouse
Isotype
IgG1
Theoretical MW
133 kDa.
Disclaimer note: The observed molecular weight of the protein may vary from the listed predicted molecular weight due to post translational modifications, post translation cleavages, relative charges, and other experimental factors.
Disclaimer note: The observed molecular weight of the protein may vary from the listed predicted molecular weight due to post translational modifications, post translation cleavages, relative charges, and other experimental factors.
Scientific Data Images for eNOS Antibody (6H2) - Azide and BSA Free
Western Blot: eNOS Antibody (6H2)Azide and BSA Free [NBP2-80720]
Western Blot: eNOS Antibody (6H2) - Azide and BSA Free [NBP2-80720] - Western blot analysis of HUVEC cells (A) using eNOS antibody at a concentration of 2 ug/ml. Image from the standard format of this antibody.Immunohistochemistry-Paraffin: eNOS Antibody (6H2) - Azide and BSA Free [NBP2-80720]
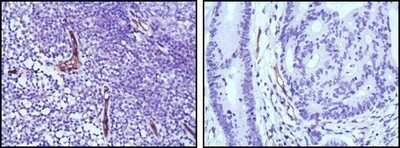
Immunohistochemistry-Paraffin: eNOS Antibody (6H2) - Azide and BSA Free [NBP2-80720] - Immunohistochemical analysis of paraffin-embedded human lymph node (left) and colon cancer (right) tissues using eNOS mouse mAb with DAB staining. Image from the standard format of this antibody.Immunohistochemistry: eNOS Antibody (6H2) - Azide and BSA Free [NBP2-80720]
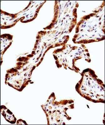
Immunohistochemistry: eNOS Antibody (6H2) - Azide and BSA Free [NBP2-80720] - IHC staining of eNOS in human placenta using DAB with hematoxylin counterstain. Image from the standard format of this antibody.Applications for eNOS Antibody (6H2) - Azide and BSA Free
Application
Recommended Usage
ELISA
1:10000
Immunohistochemistry
1:100
Western Blot
2 ug/ml
Application Notes
This eNOS (6H2) antibody is useful for Western blot, Immunohistochemistry on paraffin-embedded sections and ELISA.
Formulation, Preparation, and Storage
Purification
Ammonium sulfate precipitation
Formulation
PBS
Format
Azide and BSA Free
Preservative
No Preservative
Concentration
1 mg/ml
Shipping
The product is shipped with polar packs. Upon receipt, store it immediately at the temperature recommended below.
Stability & Storage
Store at 4C short term. Aliquot and store at -20C long term. Avoid freeze-thaw cycles.
Background: eNOS
Long Name
Endothelial Nitric Oxide Synthase
Alternate Names
NOS3
Gene Symbol
NOS3
Additional eNOS Products
Product Documents for eNOS Antibody (6H2) - Azide and BSA Free
Product Specific Notices for eNOS Antibody (6H2) - Azide and BSA Free
This product is for research use only and is not approved for use in humans or in clinical diagnosis. Primary Antibodies are guaranteed for 1 year from date of receipt.
Loading...
Loading...
Loading...
Loading...