Skip to main content

eNOS Antibody (6H2) - BSA Free

Novus Biologicals, part of Bio-Techne | Catalog # NBP1-51582

Catalog #
Availability
Size / Price
Qty
Loading...
NBP1-51582SS
NBP1-51582
Conjugate
Catalog #

Key Product Details

Species Reactivity

Validated:

Human

Cited:

Human

Applications

Validated:

Immunohistochemistry, Immunohistochemistry-Paraffin, Western Blot, ELISA

Cited:

Immunocytochemistry/ Immunofluorescence

Label

Unconjugated

Antibody Source

Monoclonal Mouse IgG1 Clone # 6H2

Format

BSA Free

Concentration

1.0 mg/ml

Product Specifications

Immunogen

Purified recombinant fragment of human eNOS expressed in E. coli. [UniProt# P29474]

Clonality

Monoclonal

Host

Mouse

Isotype

IgG1

Theoretical MW

133 kDa.
Disclaimer note: The observed molecular weight of the protein may vary from the listed predicted molecular weight due to post translational modifications, post translation cleavages, relative charges, and other experimental factors.

Scientific Data Images for eNOS Antibody (6H2) - BSA Free

Western Blot: eNOS Antibody (6H2)BSA Free [NBP1-51582]

Western Blot: eNOS Antibody (6H2)BSA Free [NBP1-51582]

Western Blot: eNOS Antibody (6H2) [NBP1-51582] - Western blot analysis of HUVEC cells (A) using eNOS antibody at a concentration of 2 ug/ml.
Immunohistochemistry-Paraffin: eNOS Antibody (6H2) - BSA Free [NBP1-51582]

Immunohistochemistry-Paraffin: eNOS Antibody (6H2) - BSA Free [NBP1-51582]

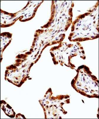
Immunohistochemistry-Paraffin: eNOS Antibody (6H2) [NBP1-51582] - IHC staining of eNOS in human placenta using DAB with hematoxylin counterstain.
Immunohistochemistry-Paraffin: eNOS Antibody (6H2) - BSA Free [NBP1-51582]

Immunohistochemistry-Paraffin: eNOS Antibody (6H2) - BSA Free [NBP1-51582]

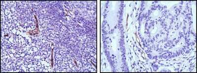
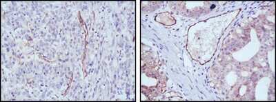
Immunohistochemistry-Paraffin: eNOS Antibody (6H2) [NBP1-51582] - Immunohistochemical analysis of paraffin-embedded human lymph node (left) and colon cancer (right) tissues using eNOS mouse mAb with DAB staining.

Applications for eNOS Antibody (6H2) - BSA Free

Application
Recommended Usage

ELISA

1:10000

Immunohistochemistry

1:100

Immunohistochemistry-Paraffin

1:100

Western Blot

2 ug/ml
Application Notes
This eNOS (6H2) antibody is useful for Western blot, Immunohistochemistry on paraffin-embedded sections and ELISA.

Formulation, Preparation, and Storage

Purification

Ammonium sulfate precipitation

Formulation

PBS

Format

BSA Free

Preservative

0.03% Sodium Azide

Concentration

1.0 mg/ml

Shipping

The product is shipped with polar packs. Upon receipt, store it immediately at the temperature recommended below.

Stability & Storage

Store at 4C short term. Aliquot and store at -20C long term. Avoid freeze-thaw cycles.

Background: eNOS

eNOS (Endothelial nitric-oxide synthase), also known as NOS3, it is an important enzyme in the cardiovascular system. It is a reactive free radical which acts as a biologic mediator in several processes, including neurotransmission and antimicrobial and antitumoral activities. Nitric oxide is synthesized from L-arginine by nitric oxide synthases. Variations in this gene are associated with susceptibility to coronary spasm.

Long Name

Endothelial Nitric Oxide Synthase

Alternate Names

NOS3

Entrez Gene IDs

4846 (Human)

Gene Symbol

NOS3

UniProt

Additional eNOS Products

Product Documents for eNOS Antibody (6H2) - BSA Free

Certificate of Analysis

To download a Certificate of Analysis, please enter a lot number in the search box below.

Product Specific Notices for eNOS Antibody (6H2) - BSA Free

This product is for research use only and is not approved for use in humans or in clinical diagnosis. Primary Antibodies are guaranteed for 1 year from date of receipt.

Loading...
Loading...
Loading...
Loading...