Skip to main content

EHD2 Antibody - BSA Free

Novus Biologicals, part of Bio-Techne | Catalog # NBP2-33283

Novus Biologicals, part of Bio-Techne
Catalog #
Availability
Size / Price
Qty
Loading...
NBP2-33283
NBP2-33283-25ul

Key Product Details

Species Reactivity

Validated:

Human

Predicted:

Mouse (92%), Rat (93%). Backed by our 100% Guarantee.

Applications

Immunohistochemistry, Immunohistochemistry-Paraffin, Western Blot, Immunocytochemistry/ Immunofluorescence

Label

Unconjugated

Antibody Source

Polyclonal Rabbit IgG

Format

BSA Free

Concentration

Concentrations vary lot to lot. See vial label for concentration. If unlisted please contact technical services.

Product Specifications

Immunogen

This antibody was developed against a recombinant protein corresponding to amino acids: HDIAKLMPLLRQEELESTEVGVQGGAFEGTHMGPFVERGPDEAMEDGEEGSDDEAEWVVTKDKSKYDEIFYNLAPADGKLSGSKAKTWM

Clonality

Polyclonal

Host

Rabbit

Isotype

IgG

Scientific Data Images for EHD2 Antibody - BSA Free

Western Blot: EHD2 Antibody [NBP2-33283]

Western Blot: EHD2 Antibody [NBP2-33283]

Western Blot: EHD2 Antibody [NBP2-33283] - Lane 1: Marker [kDa] 250, 130, 95, 72, 55, 36, 28, 17, 10. Lane 2: Human cell line RT-4. Lane 3: Human cell line U-251MG sp
Immunocytochemistry/ Immunofluorescence: EHD2 Antibody [NBP2-33283]

Immunocytochemistry/ Immunofluorescence: EHD2 Antibody [NBP2-33283]

Immunocytochemistry/Immunofluorescence: EHD2 Antibody [NBP2-33283] - Staining of human cell line A-431 shows localization to plasma membrane.
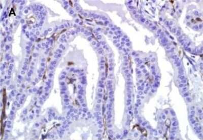
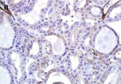
Immunohistochemistry: EHD2 Antibody [NBP2-33283]

Immunohistochemistry: EHD2 Antibody [NBP2-33283]

EHD2-Antibody-Immunohistochemistry-NBP2-33283-img0006.jpg

Applications for EHD2 Antibody - BSA Free

Application
Recommended Usage

Immunocytochemistry/ Immunofluorescence

0.25-2 ug/ml

Immunohistochemistry

1:2500 - 1:5000

Immunohistochemistry-Paraffin

1:2500 - 1:5000

Western Blot

0.04 - 0.4 ug/ml
Application Notes
For IHC-Paraffin, HIER pH 6 retrieval is recommended. ICC/IF Fixation Permeabilization: Use PFA/Triton X-100.

Formulation, Preparation, and Storage

Purification

Affinity purified

Formulation

PBS (pH 7.2) and 40% Glycerol

Format

BSA Free

Preservative

0.02% Sodium Azide

Concentration

Concentrations vary lot to lot. See vial label for concentration. If unlisted please contact technical services.

Shipping

The product is shipped with polar packs. Upon receipt, store it immediately at the temperature recommended below.

Stability & Storage

Store at 4C short term. Aliquot and store at -20C long term. Avoid freeze-thaw cycles.

Background: EHD2

EHD2 encodes a member of the EH domain-containing protein family. These proteins are characterized by a C-terminal EF-hand domain, a nucleotide-binding consensus site at the N terminus and a bipartite nuclear localization signal. The encoded protein interacts with the actin cytoskeleton through an N-terminal domain and also binds to an EH domain-binding protein through the C-terminal EH domain. This interaction appears to connect clathrin-dependent endocytosis to actin, suggesting that this gene product participates in the endocytic pathway.

Alternate Names

EH domain containing 2, EH domain-containing protein 2, EH-domain containing 2, FLJ96617, PAST homolog 2, PAST2

Gene Symbol

EHD2

UniProt

Additional EHD2 Products

Product Documents for EHD2 Antibody - BSA Free

Certificate of Analysis

To download a Certificate of Analysis, please enter a lot number in the search box below.

Product Specific Notices for EHD2 Antibody - BSA Free

This product is for research use only and is not approved for use in humans or in clinical diagnosis. Primary Antibodies are guaranteed for 1 year from date of receipt.

Loading...
Loading...
Loading...
Loading...