Skip to main content

EFCAB2 Antibody - BSA Free

Novus Biologicals, part of Bio-Techne | Catalog # NBP1-81219

Novus Biologicals, part of Bio-Techne
Catalog #
Availability
Size / Price
Qty
Loading...
NBP1-81219
NBP1-81219-25ul

Key Product Details

Species Reactivity

Human

Applications

Immunohistochemistry, Immunohistochemistry-Paraffin, Western Blot

Label

Unconjugated

Antibody Source

Polyclonal Rabbit IgG

Format

BSA Free

Concentration

Concentrations vary lot to lot. See vial label for concentration. If unlisted please contact technical services.

Product Specifications

Immunogen

This antibody was developed against Recombinant Protein corresponding to amino acids: SLGISQATGSAARWRTRRTGKGLGYNSDEIRPRTLLIEHLMEGGRRDHHTMTVLWGTQEIIVAEFHKKIKEAFEVFDHESNNTVDVR

Clonality

Polyclonal

Host

Rabbit

Isotype

IgG

Description

Novus Biologicals Rabbit EFCAB2 Antibody - BSA Free (NBP1-81219) is a polyclonal antibody validated for use in IHC and WB. All Novus Biologicals antibodies are covered by our 100% guarantee.

Scientific Data Images for EFCAB2 Antibody - BSA Free

Western Blot: EFCAB2 Antibody [NBP1-81219]

Western Blot: EFCAB2 Antibody [NBP1-81219]

Western Blot: EFCAB2 Antibody [NBP1-81219] - Lane 1: Marker [kDa] 230, 130, 95, 72, 56, 36, 28, 17, 11. Lane 2: Human cell line RT-174
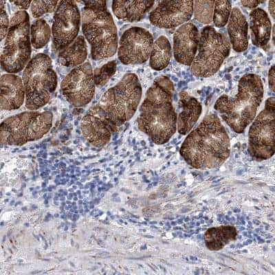
Immunohistochemistry: EFCAB2 Antibody [NBP1-81219]

Immunohistochemistry: EFCAB2 Antibody [NBP1-81219]

Immunohistochemistry: EFCAB2 Antibody [NBP1-81219] - Staining of human stomach shows strong cytoplasmic positivity in glandular cells.

Applications for EFCAB2 Antibody - BSA Free

Application
Recommended Usage

Immunohistochemistry

1:50 - 1:200

Immunohistochemistry-Paraffin

1:50-1:200

Western Blot

0.04 - 0.4 ug/ml
Application Notes
For IHC-Paraffin, HIER pH 6 retrieval is recommended. Immunocytochemistry/Immunofluorescence Fixation Permeabilization: Use PFA/Triton X-100.

Formulation, Preparation, and Storage

Purification

Immunogen affinity purified

Formulation

PBS (pH 7.2) and 40% Glycerol

Format

BSA Free

Preservative

0.02% Sodium Azide

Concentration

Concentrations vary lot to lot. See vial label for concentration. If unlisted please contact technical services.

Shipping

The product is shipped with polar packs. Upon receipt, store it immediately at the temperature recommended below.

Stability & Storage

Store at 4C short term. Aliquot and store at -20C long term. Avoid freeze-thaw cycles.

Background: EFCAB2

Alternate Names

EF-hand calcium binding domain 2, EF-hand calcium-binding domain-containing protein 2, FLJ33608, MGC12458

Entrez Gene IDs

84288 (Human)

Gene Symbol

EFCAB2

Additional EFCAB2 Products

Product Documents for EFCAB2 Antibody - BSA Free

Certificate of Analysis

To download a Certificate of Analysis, please enter a lot number in the search box below.

Product Specific Notices for EFCAB2 Antibody - BSA Free

This product is for research use only and is not approved for use in humans or in clinical diagnosis. Primary Antibodies are guaranteed for 1 year from date of receipt.

Loading...
Loading...
Loading...
Loading...