Skip to main content

EAAT4 Antibody - BSA Free

Novus Biologicals, part of Bio-Techne | Catalog # NBP2-48740

Novus Biologicals, part of Bio-Techne
Catalog #
Availability
Size / Price
Qty
Loading...
NBP2-48740
NBP2-48740-25ul

Key Product Details

Validated by

Orthogonal Validation

Species Reactivity

Human

Applications

Immunohistochemistry, Immunohistochemistry-Paraffin, Immunocytochemistry/ Immunofluorescence

Label

Unconjugated

Antibody Source

Polyclonal Rabbit IgG

Format

BSA Free

Concentration

Concentrations vary lot to lot. See vial label for concentration. If unlisted please contact technical services.

Product Specifications

Immunogen

This antibody was developed against a recombinant protein corresponding to amino acids: KQFKTQYSTRVVTRTMVRTENGSEPGASMPPPFSVENGTSFLENVTRALGTLQEMLSFEETVPVPGS

Reactivity Notes

Mouse (85%), Rat (82%)

Clonality

Polyclonal

Host

Rabbit

Isotype

IgG

Description

Novus Biologicals Rabbit EAAT4 Antibody - BSA Free (NBP2-48740) is a polyclonal antibody validated for use in IHC and ICC/IF. All Novus Biologicals antibodies are covered by our 100% guarantee.

Scientific Data Images for EAAT4 Antibody - BSA Free

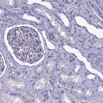
Immunohistochemistry-Paraffin: EAAT4 Antibody [NBP2-48740]

Immunohistochemistry-Paraffin: EAAT4 Antibody [NBP2-48740]

Immunohistochemistry-Paraffin: EAAT4 Antibody [NBP2-48740] - Staining in human cerebral cortex and kidney tissues using anti-SLC1A6 antibody. Corresponding SLC1A6 RNA-seq data are presented for the same tissues.
Immunocytochemistry/ Immunofluorescence: EAAT4 Antibody [NBP2-48740]

Immunocytochemistry/ Immunofluorescence: EAAT4 Antibody [NBP2-48740]

Immunocytochemistry/Immunofluorescence: EAAT4 Antibody [NBP2-48740] - Staining of human cell line A-431 shows localization to intermediate filaments.
Immunohistochemistry-Paraffin: EAAT4 Antibody [NBP2-48740]

Immunohistochemistry-Paraffin: EAAT4 Antibody [NBP2-48740]

Immunohistochemistry-Paraffin: EAAT4 Antibody [NBP2-48740] - Staining of human cerebral cortex shows high expression.

Applications for EAAT4 Antibody - BSA Free

Application
Recommended Usage

Immunocytochemistry/ Immunofluorescence

0.25-2 ug/ml

Immunohistochemistry

1:1000 - 1:2500

Immunohistochemistry-Paraffin

1:1000 - 1:2500
Application Notes
For IHC-Paraffin, HIER pH 6 retrieval is recommended. ICC/IF,Fixation Permeabilization: Use PFA/Triton X-100.

Formulation, Preparation, and Storage

Purification

Affinity purified

Formulation

PBS (pH 7.2) and 40% Glycerol

Format

BSA Free

Preservative

0.02% Sodium Azide

Concentration

Concentrations vary lot to lot. See vial label for concentration. If unlisted please contact technical services.

Shipping

The product is shipped with polar packs. Upon receipt, store it immediately at the temperature recommended below.

Stability & Storage

Store at 4C short term. Aliquot and store at -20C long term. Avoid freeze-thaw cycles.

Background: EAAT4

SLC1A6 - solute carrier family 1 (high affinity aspartate/glutamate transporter), member 6

Long Name

Excitatory amino acid transporter 4

Alternate Names

SLC1A6

Gene Symbol

SLC1A6

Additional EAAT4 Products

Product Documents for EAAT4 Antibody - BSA Free

Certificate of Analysis

To download a Certificate of Analysis, please enter a lot number in the search box below.

Product Specific Notices for EAAT4 Antibody - BSA Free

This product is for research use only and is not approved for use in humans or in clinical diagnosis. Primary Antibodies are guaranteed for 1 year from date of receipt.

Loading...
Loading...
Loading...
Loading...