Skip to main content

E-Cadherin Antibody (ST54-01)

Novus Biologicals, part of Bio-Techne | Catalog # NBP2-67540

Recombinant Monoclonal Antibody.
Novus Biologicals, part of Bio-Techne
Catalog #
Availability
Size / Price
Qty
Loading...
NBP2-67540

Key Product Details

Validated by

Biological Validation

Species Reactivity

Human, Mouse, Rat

Applications

Flow Cytometry, Immunocytochemistry/ Immunofluorescence, Immunohistochemistry, Immunohistochemistry-Paraffin, Immunoprecipitation, Western Blot

Label

Unconjugated

Antibody Source

Recombinant Monoclonal Rabbit IgG Clone # ST54-01 expressed in HEK293

Concentration

1 mg/ml

Product Specifications

Immunogen

Synthetic peptide within C-terminal human E-Cadherin. (SwissProt: P19022 Human; SwissProt: P12830 Human; SwissProt: P22223 Human; SwissProt: P33151 Human; SwissProt: P55283 Human; SwissProt: P39038 Mouse)

Localization

Cell membrane, Cell junction, Endosome, Golgi apparatus.

Clonality

Monoclonal

Host

Rabbit

Isotype

IgG

Description

Novus Biologicals Rabbit E-Cadherin Antibody (ST54-01) (NBP2-67540) is a recombinant monoclonal antibody validated for use in IHC, WB, Flow, ICC/IF and IP. All Novus Biologicals antibodies are covered by our 100% guarantee.

Scientific Data Images for E-Cadherin Antibody (ST54-01)

Western Blot: E-Cadherin Antibody (ST54-01) [NBP2-67540]

Western Blot: E-Cadherin Antibody (ST54-01) [NBP2-67540]

Western Blot: E-Cadherin Antibody (ST54-01) [NBP2-67540] - Analysis of E-Cadherin on different lysates with Rabbit anti-E-Cadherin antibody at 1/1,000 dilution. Lane 1: Human heart tissue lysate Lane 2: Mouse heart tissue lysate Lane 3: Rat heart tissue lysate Lysates/proteins at 20 ug/Lane. Predicted band size: 100 kDa Observed band size: 130 kDa Exposure time: 1 minute; 6% SDS-PAGE gel. Proteins were transferred to a PVDF membrane and blocked with 5% NFDM/TBST for 1 hour at room temperature. The primary antibody at 1/1,000 dilution was used in 5% NFDM/TBST at room temperature for 2 hours. Goat Anti-Rabbit IgG - HRP Secondary Antibody at 1:300,000 dilution was used for 1 hour at room temperature.
Immunocytochemistry/ Immunofluorescence: E-Cadherin Antibody (ST54-01) [NBP2-67540]

Immunocytochemistry/ Immunofluorescence: E-Cadherin Antibody (ST54-01) [NBP2-67540]

Immunocytochemistry/Immunofluorescence: E-Cadherin Antibody (ST54-01) [NBP2-67540] - Staining Pan-Cadherin in Hela cells (green). The nuclear counter stain is DAPI (blue). Cells were fixed in paraformaldehyde, permeabilised with 0.25% Triton X100/PBS.
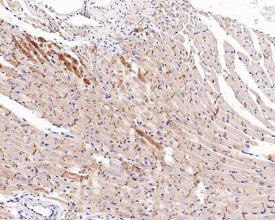
Immunohistochemistry-Paraffin: E-Cadherin Antibody (ST54-01) [NBP2-67540]

Immunohistochemistry-Paraffin: E-Cadherin Antibody (ST54-01) [NBP2-67540]

Immunohistochemistry-Paraffin: E-Cadherin Antibody (ST54-01) [NBP2-67540] - Analysis of paraffin-embedded mouse heart tissue with Rabbit anti-Pan-Cadherin antibody000 dilution. The section was pre-treated using heat mediated antigen retrieval with Tris-EDTA buffer (pH 9.0) for 20 minutes. The tissues were blocked in 1% BSA for 20 minutes at room temperature, washed with ddH2O and PBS, and then probed with the primary antibodfor 1 hour at room temperature. The detection was performed using an HRP conjugated compact polymer system. DAB was used as the chromogen. Tissues were counterstained with hematoxylin and mounted with DPX.

Applications for E-Cadherin Antibody (ST54-01)

Application
Recommended Usage

Flow Cytometry

1:50-1:100

Immunocytochemistry/ Immunofluorescence

1:50-1:200

Immunohistochemistry-Paraffin

1:50-1:1000

Western Blot

1:1000-1:5000

Formulation, Preparation, and Storage

Purification

Protein A purified

Formulation

TBS (pH7.4), 0.05% BSA, 40% Glycerol

Preservative

0.05% Sodium Azide

Concentration

1 mg/ml

Shipping

The product is shipped with polar packs. Upon receipt, store it immediately at the temperature recommended below.

Stability & Storage

Store at 4C short term. Aliquot and store at -20C long term. Avoid freeze-thaw cycles.

Background: E-Cadherin

E-cadherin, or epithelial cadherin, is an cell-cell adhesion glycoprotein important to cellular processes such as morphology, polarity, development, tissue integrity and migration. E cadherin's extracellular domain interacts with other E-cadherin protein on adjacent epithelial cells to establish adhesion between them. E cadherin has also been identified as a tumor and metastasis suppressor, and its mutations have been linked to various forms of cancer.

Alternate Names

Arc-1, CAD1, Cadherin-1, CD324, CDH1, Cell-CAM120/80, ECAD, ECadherin, L-CAM, Uvomorulin

Gene Symbol

CDH1

Additional E-Cadherin Products

Product Documents for E-Cadherin Antibody (ST54-01)

Certificate of Analysis

To download a Certificate of Analysis, please enter a lot number in the search box below.

Product Specific Notices for E-Cadherin Antibody (ST54-01)

This product is for research use only and is not approved for use in humans or in clinical diagnosis. Primary Antibodies are guaranteed for 1 year from date of receipt.

Loading...
Loading...
Loading...
Loading...
Loading...