Skip to main content

dystrophia myotonica containing WD repeat motif Antibody - BSA Free

Novus Biologicals, part of Bio-Techne | Catalog # NBP3-30748

Novus Biologicals, part of Bio-Techne
Catalog #
Availability
Size / Price
Qty
Loading...
NBP3-30748
Conjugate
Catalog #

Key Product Details

Species Reactivity

Human

Applications

Immunohistochemistry, Immunohistochemistry-Paraffin

Label

Unconjugated

Antibody Source

Polyclonal Rabbit IgG

Format

BSA Free

Concentration

Please see the vial label for concentration. If unlisted please contact technical services.

Product Specifications

Immunogen

Produced in rabbits immunized with E. coli-derived Human dystrophia myotonica containing WD repeat motif fragment

Clonality

Polyclonal

Host

Rabbit

Isotype

IgG

Scientific Data Images for dystrophia myotonica containing WD repeat motif Antibody - BSA Free

dystrophia myotonica containing WD repeat motif Antibody - BSA Free

Immunohistochemistry-Paraffin: dystrophia myotonica containing WD repeat motif Antibody - BSA Free [NBP3-30748] -

Immunohistochemistry-Paraffin: dystrophia myotonica containing WD repeat motif Antibody - BSA Free [NBP3-30748] - Immunochemical staining of human dystrophia myotonica containing WD repeat motif in human brain with NBP3-30748 at 1:100 dilution, formalin-fixed paraffin embedded sections.
dystrophia myotonica containing WD repeat motif Antibody - BSA Free

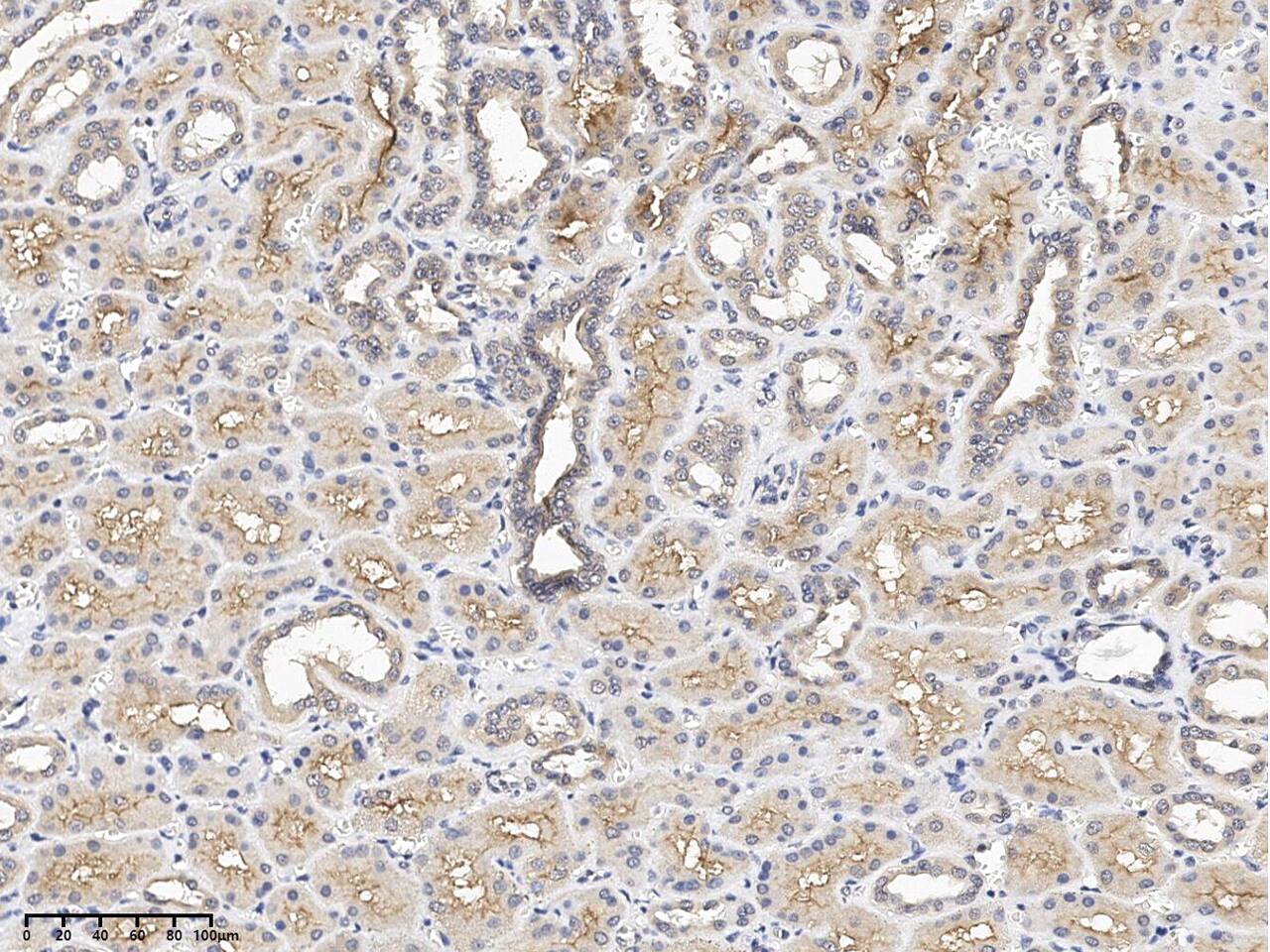
Immunohistochemistry-Paraffin: dystrophia myotonica containing WD repeat motif Antibody - BSA Free [NBP3-30748] -

Immunohistochemistry-Paraffin: dystrophia myotonica containing WD repeat motif Antibody - BSA Free [NBP3-30748] - Immunochemical staining of human dystrophia myotonica containing WD repeat motif in human kidney with NBP3-30748 at 1:100 dilution, formalin-fixed paraffin embedded sections.

Applications for dystrophia myotonica containing WD repeat motif Antibody - BSA Free

Application
Recommended Usage

Immunohistochemistry-Paraffin

1:50-1:200

Formulation, Preparation, and Storage

Purification

Antigen and protein A Affinity-purified

Formulation

PBS, pH 7.0

Format

BSA Free

Preservative

0.03% Proclin 300

Concentration

Please see the vial label for concentration. If unlisted please contact technical services.

Shipping

The product is shipped with polar packs. Upon receipt, store it immediately at the temperature recommended below.

Stability & Storage

Store at 4C short term. Aliquot and store at -20C long term. Avoid freeze-thaw cycles.

Background: dystrophia myotonica containing WD repeat motif

The gene that codes for DMWD (dystrophia myotonica WD-repeat containing protein) is located in the myotonic dystrophy (DM1) gene cluster on 19q. Mutations in the DM1 region affect DMPK (myotonic dystrophy protein kinase), a myosin kinase expressed in skeletal muscle, and are the cause of myotonic dystrophy, a form of muscular dystrophy characterized by wasting of the muscles and myotonia. DMWD is expressed ubiquitously and is most abundant in the testes and brain. Studies concerning its abundance and sub-cellular localization in brain tissue suggest that it may have a role in some of the mental symptoms associated with myotonic dystrophy. Alternate names for DMWD include DMR-N9, and DM9.

Alternate Names

D19S593E, DM9, DMRN9, DMR-N9, dystrophia myotonica WD repeat-containing protein, dystrophia myotonica, WD repeat containing, dystrophia myotonica-containing WD repeat motif, Dystrophia myotonica-containing WD repeat motif protein, gene59, Protein 59, Protein DMR-N9

Gene Symbol

DMWD

Additional dystrophia myotonica containing WD repeat motif Products

Product Documents for dystrophia myotonica containing WD repeat motif Antibody - BSA Free

Certificate of Analysis

To download a Certificate of Analysis, please enter a lot number in the search box below.

Product Specific Notices for dystrophia myotonica containing WD repeat motif Antibody - BSA Free

This product is for research use only and is not approved for use in humans or in clinical diagnosis. Primary Antibodies are guaranteed for 1 year from date of receipt.

Loading...
Loading...
Loading...
Loading...