Skip to main content

dystrophia myotonica containing WD repeat motif Antibody - BSA Free

Novus Biologicals, part of Bio-Techne | Catalog # NBP2-49548

Novus Biologicals, part of Bio-Techne
Catalog #
Availability
Size / Price
Qty
Loading...
NBP2-49548-25ul
NBP2-49548

Key Product Details

Species Reactivity

Validated:

Human

Predicted:

Mouse (96%), Rat (96%). Backed by our 100% Guarantee.

Applications

Immunohistochemistry, Immunohistochemistry-Paraffin, Western Blot, Immunocytochemistry/ Immunofluorescence

Label

Unconjugated

Antibody Source

Polyclonal Rabbit IgG

Format

BSA Free

Concentration

Concentrations vary lot to lot. See vial label for concentration. If unlisted please contact technical services.

Product Specifications

Immunogen

This antibody was developed against a recombinant protein corresponding to amino acids: EPGTPFSIGRFATLTLQERRDRGAEKEHKRYHSLGNISRGGSGGS

Clonality

Polyclonal

Host

Rabbit

Isotype

IgG

Description

Novus Biologicals Rabbit dystrophia myotonica containing WD repeat motif Antibody - BSA Free (NBP2-49548) is a polyclonal antibody validated for use in IHC, WB and ICC/IF. All Novus Biologicals antibodies are covered by our 100% guarantee.

Scientific Data Images for dystrophia myotonica containing WD repeat motif Antibody - BSA Free

Western Blot: dystrophia myotonica containing WD repeat motif Antibody [NBP2-49548]

Western Blot: dystrophia myotonica containing WD repeat motif Antibody [NBP2-49548]

Western Blot: dystrophia myotonica containing WD repeat motif Antibody [NBP2-49548] - Lane 1: Marker [kDa] 250, 130, 95, 72, 55, 36, 28, 17, 10
Lane 2: Human cell line RT-4
Lane 3: Human cell line U-251 MG
Lane 4: Human plasma
Lane 5: Human Liver tissue
Immunocytochemistry/ Immunofluorescence: dystrophia myotonica containing WD repeat motif Antibody [NBP2-49548]

Immunocytochemistry/ Immunofluorescence: dystrophia myotonica containing WD repeat motif Antibody [NBP2-49548]

Immunocytochemistry/Immunofluorescence: dystrophia myotonica containing WD repeat motif Antibody [NBP2-49548] - Immunofluorescent staining of human cell line A549 shows localization to plasma membrane & actin filaments.
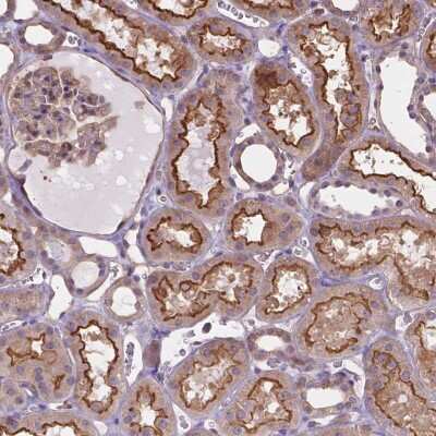
Immunohistochemistry-Paraffin: dystrophia myotonica containing WD repeat motif Antibody [NBP2-49548]

Immunohistochemistry-Paraffin: dystrophia myotonica containing WD repeat motif Antibody [NBP2-49548]

Immunohistochemistry-Paraffin: dystrophia myotonica containing WD repeat motif Antibody [NBP2-49548] - Staining of human kidney shows strong luminal membranous positivity in renal tubules.

Applications for dystrophia myotonica containing WD repeat motif Antibody - BSA Free

Application
Recommended Usage

Immunocytochemistry/ Immunofluorescence

0.25-2 ug/ml

Immunohistochemistry

1:500 - 1:1000

Immunohistochemistry-Paraffin

1:500 - 1:1000

Western Blot

0.04-0.4 ug/ml
Application Notes
For IHC-Paraffin, HIER pH 6 retrieval is recommended. ICC/IF, Fixation Permeabilization: Use PFA/Triton X-100.

Formulation, Preparation, and Storage

Purification

Affinity purified

Formulation

PBS (pH 7.2) and 40% Glycerol

Format

BSA Free

Preservative

0.02% Sodium Azide

Concentration

Concentrations vary lot to lot. See vial label for concentration. If unlisted please contact technical services.

Shipping

The product is shipped with polar packs. Upon receipt, store it immediately at the temperature recommended below.

Stability & Storage

Store at 4C short term. Aliquot and store at -20C long term. Avoid freeze-thaw cycles.

Background: dystrophia myotonica containing WD repeat motif

The gene that codes for DMWD (dystrophia myotonica WD-repeat containing protein) is located in the myotonic dystrophy (DM1) gene cluster on 19q. Mutations in the DM1 region affect DMPK (myotonic dystrophy protein kinase), a myosin kinase expressed in skeletal muscle, and are the cause of myotonic dystrophy, a form of muscular dystrophy characterized by wasting of the muscles and myotonia. DMWD is expressed ubiquitously and is most abundant in the testes and brain. Studies concerning its abundance and sub-cellular localization in brain tissue suggest that it may have a role in some of the mental symptoms associated with myotonic dystrophy. Alternate names for DMWD include DMR-N9, and DM9.

Alternate Names

D19S593E, DM9, DMRN9, DMR-N9, dystrophia myotonica WD repeat-containing protein, dystrophia myotonica, WD repeat containing, dystrophia myotonica-containing WD repeat motif, Dystrophia myotonica-containing WD repeat motif protein, gene59, Protein 59, Protein DMR-N9

Gene Symbol

DMWD

Additional dystrophia myotonica containing WD repeat motif Products

Product Documents for dystrophia myotonica containing WD repeat motif Antibody - BSA Free

Certificate of Analysis

To download a Certificate of Analysis, please enter a lot number in the search box below.

Product Specific Notices for dystrophia myotonica containing WD repeat motif Antibody - BSA Free

This product is for research use only and is not approved for use in humans or in clinical diagnosis. Primary Antibodies are guaranteed for 1 year from date of receipt.

Loading...
Loading...
Loading...
Loading...