Skip to main content

DSPP Antibody - BSA Free

Novus Biologicals, part of Bio-Techne | Catalog # NBP3-13388

Novus Biologicals, part of Bio-Techne
Catalog #
Availability
Size / Price
Qty
Loading...
NBP3-13388

Key Product Details

Species Reactivity

Human

Applications

Western Blot

Label

Unconjugated

Antibody Source

Polyclonal Rabbit IgG

Format

BSA Free

Concentration

Concentrations vary lot to lot. See vial label for concentration. If unlisted please contact technical services.

Product Specifications

Immunogen

Carrier-protein conjugated synthetic peptide encompassing a sequence within the center region of human DSPP. The exact sequence is proprietary.

Clonality

Polyclonal

Host

Rabbit

Isotype

IgG

Description

Centrifuge briefly prior to opening.

Scientific Data Images for DSPP Antibody - BSA Free

Western Blot: DSPP Antibody [NBP3-13388]

Western Blot: DSPP Antibody [NBP3-13388]

Western Blot: DSPP Antibody [NBP3-13388] - Whole cell extract (30 ug) was separated by 5% SDS-PAGE, and the membrane was blotted with DSPP antibody (NBP3-13388) diluted at 1:500. The HRP-conjugated anti-rabbit IgG antibody (NBP2-19301) was used to detect the primary antibody, and the signal was developed with Trident femto Western HRP Substrate.
DSPP Antibody - BSA Free

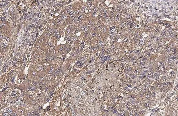
Immunohistochemistry-Paraffin: DSPP Antibody [NBP3-13388] -

DSPP antibody detects secreted DSPP protein by immunohistochemical analysis.
Sample: Paraffin-embedded human hepatocellular carcinoma.
DSPP stained by DSPP antibody (NBP3-13388) diluted at 1:500.
Antigen Retrieval: Citrate buffer, pH 6.0, 15 min
DSPP Antibody - BSA Free

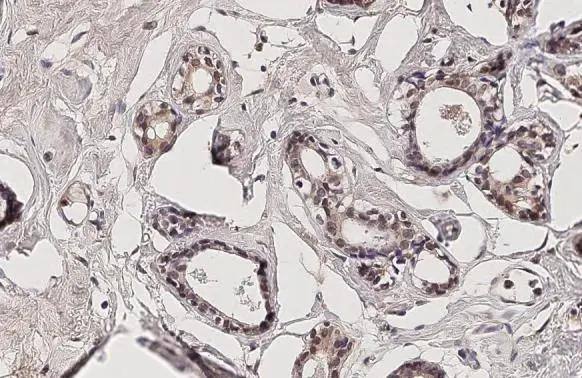
Immunohistochemistry-Paraffin: DSPP Antibody [NBP3-13388] -

DSPP antibody detects secreted DSPP protein by immunohistochemical analysis.
Sample: Paraffin-embedded human breast carcinoma.
DSPP stained by DSPP antibody (NBP3-13388) diluted at 1:500.
Antigen Retrieval: Citrate buffer, pH 6.0, 15 min

Applications for DSPP Antibody - BSA Free

Application
Recommended Usage

Western Blot

Optimal dilutions of this antibody should be experimentally determined.

Formulation, Preparation, and Storage

Purification

Antigen Affinity-purified

Formulation

PBS, 20% Glycerol

Format

BSA Free

Preservative

0.025% Proclin 300

Concentration

Concentrations vary lot to lot. See vial label for concentration. If unlisted please contact technical services.

Shipping

The product is shipped with polar packs. Upon receipt, store it immediately at the temperature recommended below.

Stability & Storage

Store at 4C short term. Aliquot and store at -20C long term. Avoid freeze-thaw cycles.

Background: DSPP

The DSPP gene encodes two principal proteins of the dentin extracellular matrix of the tooth. The preproprotein is secretedby odontoblasts and cleaved into dentin sialoprotein and dentin phosphoprotein. Dentin phosphoprotein is thought to beinvolved in the bi

Alternate Names

dentin phosphoprotein, dentin sialophosphoprotein, dentin sialoprotein, DFNA39, DMP3, DTDP2

Gene Symbol

DSPP

Additional DSPP Products

Product Documents for DSPP Antibody - BSA Free

Certificate of Analysis

To download a Certificate of Analysis, please enter a lot number in the search box below.

Product Specific Notices for DSPP Antibody - BSA Free

This product is for research use only and is not approved for use in humans or in clinical diagnosis. Primary Antibodies are guaranteed for 1 year from date of receipt.

Loading...
Loading...
Loading...
Loading...