Skip to main content

DPCR-1 Antibody - BSA Free

Novus Biologicals, part of Bio-Techne | Catalog # NBP1-89995

Novus Biologicals, part of Bio-Techne
Catalog #
Availability
Size / Price
Qty
Loading...
NBP1-89995
NBP1-89995-25ul

Key Product Details

Validated by

Orthogonal Validation

Species Reactivity

Human

Applications

Immunohistochemistry, Immunohistochemistry-Paraffin

Label

Unconjugated

Antibody Source

Polyclonal Rabbit IgG

Format

BSA Free

Concentration

Concentrations vary lot to lot. See vial label for concentration. If unlisted please contact technical services.

Product Specifications

Immunogen

This antibody was developed against Recombinant Protein corresponding to amino acids: KTTSTTEKTTRTPEKPTLYSEKTICTKGKNTPVPEKPTENLGNTTLTTETIKAPVKSTENPEKTAAVTKTIKPSVKVTGDKSLTTTSSHLNKTEVTHQVPTGSFTLITSRTKLSSITSEATGNESHPYLNKDGSQK

Clonality

Polyclonal

Host

Rabbit

Isotype

IgG

Description

Novus Biologicals Rabbit DPCR-1 Antibody - BSA Free (NBP1-89995) is a polyclonal antibody validated for use in IHC. Anti-DPCR-1 Antibody: Cited in 1 publication. All Novus Biologicals antibodies are covered by our 100% guarantee.

Scientific Data Images for DPCR-1 Antibody - BSA Free

DPCR-1 Antibody - BSA Free Immunohistochemistry-Paraffin: DPCR-1 Antibody - BSA Free [NBP1-89995]

Immunohistochemistry-Paraffin: DPCR-1 Antibody - BSA Free [NBP1-89995]

Analysis in human stomach and pancreas tissues using Anti-DPCR1 antibody. Corresponding DPCR1 RNA-seq data are presented for the same tissues.
Immunohistochemistry-Paraffin: DPCR-1 Antibody [NBP1-89995]

Immunohistochemistry-Paraffin: DPCR-1 Antibody [NBP1-89995]

Immunohistochemistry-Paraffin: DPCR-1 Antibody [NBP1-89995] - Staining of human stomach shows high expression.
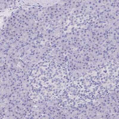
Immunohistochemistry-Paraffin: DPCR-1 Antibody [NBP1-89995]

Immunohistochemistry-Paraffin: DPCR-1 Antibody [NBP1-89995]

Immunohistochemistry-Paraffin: DPCR-1 Antibody [NBP1-89995] - Staining of human pancreas shows low expression as expected.

Applications for DPCR-1 Antibody - BSA Free

Application
Recommended Usage

Immunohistochemistry

1:20 - 1:50

Immunohistochemistry-Paraffin

1:20 - 1:50
Application Notes
For IHC-Paraffin, HIER pH 6 retrieval is recommended.

Formulation, Preparation, and Storage

Purification

Affinity purified

Formulation

PBS (pH 7.2) and 40% Glycerol

Format

BSA Free

Preservative

0.02% Sodium Azide

Concentration

Concentrations vary lot to lot. See vial label for concentration. If unlisted please contact technical services.

Shipping

The product is shipped with polar packs. Upon receipt, store it immediately at the temperature recommended below.

Stability & Storage

Store at 4C short term. Aliquot and store at -20C long term. Avoid freeze-thaw cycles.

Background: DPCR-1

DPCR-1 is encoded by a gene that maps to the chromosomal diffuse panbronchiolitis critical region. DPCR-1 is associated with susceptibility to this bronchiolar disease. It has homology with the mucin-like domain of zonadhesin. DPCR-1 is predominantly expressed in lung, kidney, and testis.

Long Name

Diffuse Panbronchiolitis Critical Region 1

Alternate Names

DPCR1, PBLT

Gene Symbol

MUCL3

Additional DPCR-1 Products

Product Documents for DPCR-1 Antibody - BSA Free

Certificate of Analysis

To download a Certificate of Analysis, please enter a lot number in the search box below.

Product Specific Notices for DPCR-1 Antibody - BSA Free

This product is for research use only and is not approved for use in humans or in clinical diagnosis. Primary Antibodies are guaranteed for 1 year from date of receipt.

Loading...
Loading...
Loading...
Loading...