Skip to main content

DNMT1 Antibody - BSA Free

Novus Biologicals, part of Bio-Techne | Catalog # NBP1-84328

Novus Biologicals, part of Bio-Techne
Catalog #
Availability
Size / Price
Qty
Loading...
NBP1-84328
NBP1-84328-25ul

Key Product Details

Validated by

Orthogonal Validation

Species Reactivity

Validated:

Human

Cited:

Human

Applications

Validated:

Immunohistochemistry, Immunohistochemistry-Paraffin

Cited:

Immunohistochemistry

Label

Unconjugated

Antibody Source

Polyclonal Rabbit IgG

Format

BSA Free

Concentration

Concentrations vary lot to lot. See vial label for concentration. If unlisted please contact technical services.

Product Specifications

Immunogen

This antibody was developed against Recombinant Protein corresponding to amino acids: IPDDSSKPLYLARVTALWEDSSNGQMFHAHWFCAGTDTVLGATSDPLELFLVDECEDMQLSYIHSKVKVIYKAPSENWAMEGGMDPESLLEGDDGKTYFYQLWYDQDYARFESPPKTQPTEDNKFKFCVSCARLAEMRQKEIPRVL

Reactivity Notes

Immunogen displays the following percentage of sequence identity for non-tested species: Mouse (85%), Rat (86%)

Clonality

Polyclonal

Host

Rabbit

Isotype

IgG

Description

Novus Biologicals Rabbit DNMT1 Antibody - BSA Free (NBP1-84328) is a polyclonal antibody validated for use in IHC. Anti-DNMT1 Antibody: Cited in 2 publications. All Novus Biologicals antibodies are covered by our 100% guarantee.

Scientific Data Images for DNMT1 Antibody - BSA Free

DNMT1 Antibody - BSA Free Immunohistochemistry-Paraffin: DNMT1 Antibody - BSA Free [NBP1-84328]

Immunohistochemistry-Paraffin: DNMT1 Antibody - BSA Free [NBP1-84328]

Staining of human testis shows moderate nuclear positivity in cells in seminiferous ducts.
DNMT1 Antibody - BSA Free Immunohistochemistry-Paraffin: DNMT1 Antibody - BSA Free [NBP1-84328]

Immunohistochemistry-Paraffin: DNMT1 Antibody - BSA Free [NBP1-84328]

Staining of human pancreas shows no positivity in exocrine glandular cells as expected.
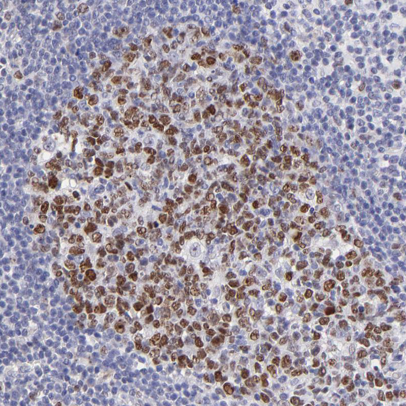
DNMT1 Antibody - BSA Free Immunohistochemistry-Paraffin: DNMT1 Antibody - BSA Free [NBP1-84328]

Immunohistochemistry-Paraffin: DNMT1 Antibody - BSA Free [NBP1-84328]

Staining of human lymph node shows strong nuclear positivity in germinal center cells.

Applications for DNMT1 Antibody - BSA Free

Application
Recommended Usage

Immunohistochemistry

1:200 - 1:500

Immunohistochemistry-Paraffin

1:200 - 1:500
Application Notes
For IHC-Paraffin, HIER pH 6 retrieval is recommended.

Formulation, Preparation, and Storage

Purification

Immunogen affinity purified

Formulation

PBS (pH 7.2) and 40% Glycerol

Format

BSA Free

Preservative

0.02% Sodium Azide

Concentration

Concentrations vary lot to lot. See vial label for concentration. If unlisted please contact technical services.

Shipping

The product is shipped with polar packs. Upon receipt, store it immediately at the temperature recommended below.

Stability & Storage

Store at 4C short term. Aliquot and store at -20C long term. Avoid freeze-thaw cycles.

Background: DNMT1

DNA (cytosine-5)-methyltransferase 1 (DNMT1) plays a role in the regulation of tissue-specific cytosine residue methylation patterns that are established during development. Spec ifically, DNMT-1 interacts with Histone deacetylases and other methyltransferases to preferentially methylate hemimethylated DNA in coordination with the methylation of histones.

Improper methylation patterns have been linked to certain human tumors and developmental abnormalities. DNMT1 antibodies are useful tools for DNA methlyation research and studies on certian cancer.

Long Name

DNA [Cytosine-5-]-Methyltransferase 1

Alternate Names

CXXC9, MCMT

Gene Symbol

DNMT1

Additional DNMT1 Products

Product Documents for DNMT1 Antibody - BSA Free

Certificate of Analysis

To download a Certificate of Analysis, please enter a lot number in the search box below.

Product Specific Notices for DNMT1 Antibody - BSA Free

This product is for research use only and is not approved for use in humans or in clinical diagnosis. Primary Antibodies are guaranteed for 1 year from date of receipt.

Loading...
Loading...
Loading...
Loading...