Skip to main content

DNA-PKcs Antibody (3H6) - BSA Free

Novus Biologicals, part of Bio-Techne | Catalog # NBP2-22128

Novus Biologicals, part of Bio-Techne

Key Product Details

Species Reactivity

Validated:

Human

Cited:

Human, Mouse

Applications

Validated:

Immunohistochemistry, Immunohistochemistry-Paraffin, Western Blot, ELISA, Immunocytochemistry/ Immunofluorescence

Cited:

Western Blot

Label

Unconjugated

Antibody Source

Monoclonal Mouse IgG1 Clone # 3H6

Format

BSA Free

Concentration

1.0 mg/ml

Product Specifications

Immunogen

Purified recombinant fragment of human DNA PKcs expressed in E. coli.

Clonality

Monoclonal

Host

Mouse

Isotype

IgG1

Theoretical MW

460 kDa.
Disclaimer note: The observed molecular weight of the protein may vary from the listed predicted molecular weight due to post translational modifications, post translation cleavages, relative charges, and other experimental factors.

Description

Novus Biologicals Mouse DNA-PKcs Antibody (3H6) - BSA Free (NBP2-22128) is a monoclonal antibody validated for use in IHC, WB, ELISA and ICC/IF. Anti-DNA-PKcs Antibody: Cited in 2 publications. All Novus Biologicals antibodies are covered by our 100% guarantee.

Scientific Data Images for DNA-PKcs Antibody (3H6) - BSA Free

Western Blot: DNA-PKcs Antibody (3H6)BSA Free [NBP2-22128]

Western Blot: DNA-PKcs Antibody (3H6)BSA Free [NBP2-22128]

Western Blot: DNA-PKcs Antibody (3H6) [NBP2-22128] - HeLa (A), MCF7 (lB) and HEK293 (C) whole cell protein was separated by SDS-PAGE on 6% gel, transferred to PVDF and probed with NBP2-22128. A single band of DNA PKcs reactivity at approximately 460 kDa was detected in all lysates.
Immunocytochemistry/ Immunofluorescence: DNA-PKcs Antibody (3H6) - BSA Free [NBP2-22128]

Immunocytochemistry/ Immunofluorescence: DNA-PKcs Antibody (3H6) - BSA Free [NBP2-22128]

Immunocytochemistry/Immunofluorescence: DNA-PKcs Antibody (3H6) [NBP2-22128] - Analysis of Hela cells using DNA PKcs mouse mAb (green). Actin filaments have been labeled with Alexa Fluor-555 phalloidin (red).
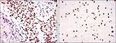
Immunohistochemistry-Paraffin: DNA-PKcs Antibody (3H6) - BSA Free [NBP2-22128]

Immunohistochemistry-Paraffin: DNA-PKcs Antibody (3H6) - BSA Free [NBP2-22128]

Immunohistochemistry-Paraffin: DNA-PKcs Antibody (3H6) [NBP2-22128] - Analysis of paraffin-embedded lung cancer (left) and brain tissues (right) using DNA PKcs mouse mAb with DAB staining.

Applications for DNA-PKcs Antibody (3H6) - BSA Free

Application
Recommended Usage

ELISA

1:10000

Immunocytochemistry/ Immunofluorescence

1:200-1:1000

Immunohistochemistry-Paraffin

1:200-1:1000

Western Blot

1:500-1:2000
Application Notes
In Western blot, a band can be seen at 460-470 kDa representing DNA PKcs.

Formulation, Preparation, and Storage

Purification

Protein G purified

Formulation

PBS

Format

BSA Free

Preservative

0.02% Sodium Azide

Concentration

1.0 mg/ml

Shipping

The product is shipped with polar packs. Upon receipt, store it immediately at the temperature recommended below.

Stability & Storage

Store at 4C short term. Aliquot and store at -20C long term. Avoid freeze-thaw cycles.

Background: DNA-PKcs

The PRKDC gene encodes the catalytic subunit of a nuclear DNA-dependent serine/threonine protein kinase (DNA-PK). The second component is the autoimmune antigen Ku (MIM 152690), which is encoded by the G22P1 gene on chromosome 22q. On its own, the catalytic subunit of DNA-PK is inactive and relies on the G22P1 component to direct it to the DNA and trigger its kinase activity; PRKDC must be bound to DNA to express its catalytic properties.

Long Name

DNA-dependent Protein Kinase Catalytic Subunit

Alternate Names

DNAPK, DNAPKcs, DNPK1, HYRC1, p350, PRKDC, XRCC7

Entrez Gene IDs

5591 (Human)

Gene Symbol

PRKDC

UniProt

Additional DNA-PKcs Products

Product Documents for DNA-PKcs Antibody (3H6) - BSA Free

Certificate of Analysis

To download a Certificate of Analysis, please enter a lot number in the search box below.

Product Specific Notices for DNA-PKcs Antibody (3H6) - BSA Free

This product is for research use only and is not approved for use in humans or in clinical diagnosis. Primary Antibodies are guaranteed for 1 year from date of receipt.

Loading...
Loading...
Loading...
Loading...