Skip to main content

DLL3 Antibody (DLL3/9361)

Novus Biologicals, part of Bio-Techne | Catalog # NBP3-44583

Novus Biologicals, part of Bio-Techne
Catalog #
Availability
Size / Price
Qty
Loading...
NBP3-44583-100ug
NBP3-44583-20ug

Key Product Details

Species Reactivity

Human

Applications

Immunohistochemistry

Label

Unconjugated

Antibody Source

Monoclonal Mouse IgG2c Kappa Clone # DLL3/9361

Concentration

0.2 mg/ml

Product Specifications

Immunogen

Recombinant fragment (around aa400-618) of human DLL3 protein (Uniprot: Q9NYJ7). Exact sequence is proprietary.

Localization

Cell surface, Membrane

Clonality

Monoclonal

Host

Mouse

Isotype

IgG2c Kappa

Theoretical MW

65 kDa.
Disclaimer note: The observed molecular weight of the protein may vary from the listed predicted molecular weight due to post translational modifications, post translation cleavages, relative charges, and other experimental factors.

Description

200ug/ml of antibody purified from Bioreactor Concentrate by Protein A/G. Prepared in 10 mM PBS with 0.05% BSA & 0.05% azide. Also available WITHOUT BSA & azide at 1.0 mg/ml.

Antibody with azide - store at 2 to 8C. Antibody without azide - store at -20 to -80C. Non-hazardous. No MSDS required.

Scientific Data Images for DLL3 Antibody (DLL3/9361)

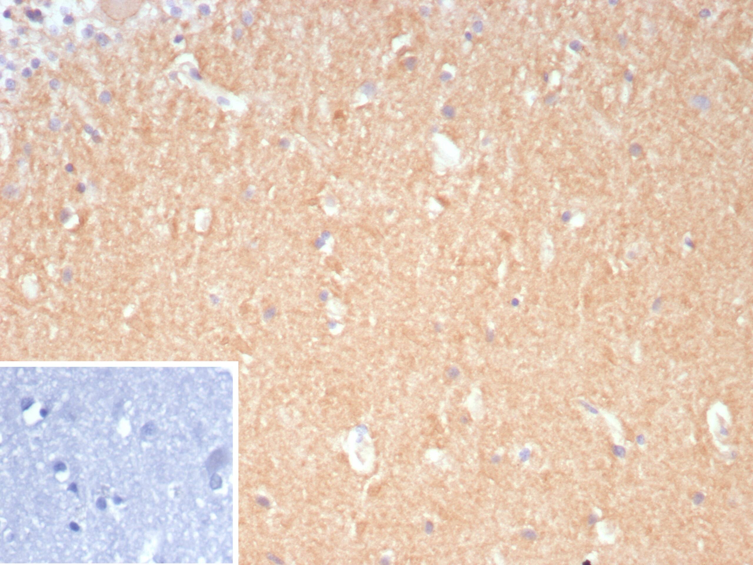
DLL3 Antibody (DLL3/9361)

Immunohistochemistry-Paraffin: DLL3 Antibody (DLL3/9361) [NBP3-44583] -

Formalin-fixed, paraffin-embedded human brain stained with DLL3 Antibody (DLL3/9361). Inset: PBS instead of primary antibody; secondary only negative control.

Applications for DLL3 Antibody (DLL3/9361)

Application
Recommended Usage

Immunohistochemistry

1-2ug/ml
Application Notes
Immunohistochemistry: 30 min at RT. Staining of formalin-fixed tissues requires heating tissue sections in 10mM Tris with 1mM EDTA, pH 9.0, for 45 min at 95C followed by cooling at RT for 20 minutes.

Formulation, Preparation, and Storage

Purification

Protein A or G purified

Formulation

10 mM PBS with 0.05% BSA

Preservative

0.05% Sodium Azide

Concentration

0.2 mg/ml

Shipping

The product is shipped with polar packs. Upon receipt, store it immediately at the temperature recommended below.

Stability & Storage

Store at 4C.

Background: DLL3

The DLL3 gene encodes a member of the delta protein ligand family. This family functions as Notch ligands that are characterized by a DSL domain, EGF repeats, and a transmembrane domain. Mutations in this gene cause autosomal recessive spondylocostal dysostos

Long Name

Delta-like 3

Alternate Names

Pudgy, SCDO1

Gene Symbol

DLL3

Additional DLL3 Products

Product Documents for DLL3 Antibody (DLL3/9361)

Certificate of Analysis

To download a Certificate of Analysis, please enter a lot number in the search box below.

Product Specific Notices for DLL3 Antibody (DLL3/9361)

This product is for research use only and is not approved for use in humans or in clinical diagnosis. Primary Antibodies are guaranteed for 1 year from date of receipt.

Loading...
Loading...
Loading...
Loading...