Skip to main content

DLG1 Antibody (JE39-74)

Novus Biologicals, part of Bio-Techne | Catalog # NBP3-32929

Recombinant Monoclonal Antibody
Novus Biologicals, part of Bio-Techne
Catalog #
Availability
Size / Price
Qty
Loading...
NBP3-32929

Key Product Details

Species Reactivity

Human, Mouse, Rat

Applications

Immunohistochemistry, Immunohistochemistry-Paraffin, Western Blot, Flow Cytometry

Label

Unconjugated

Antibody Source

Recombinant Monoclonal Rabbit IgG Clone # JE39-74 expressed in HEK293

Concentration

1 mg/ml

Product Specifications

Immunogen

Synthetic peptide within N terminal Human DLG1. (Uniprot: Q12959)

Localization

Membrane, Basolateral cell membrane, Endoplasmic reticulum membrane, Postsynaptic density, Synapse, Cell membrane, sarcolemma, Apical cell membrane, Cell junction, Cytoplasm.

Clonality

Monoclonal

Host

Rabbit

Isotype

IgG

Theoretical MW

100 kDa.
Disclaimer note: The observed molecular weight of the protein may vary from the listed predicted molecular weight due to post translational modifications, post translation cleavages, relative charges, and other experimental factors.

Description

Novus Biologicals Rabbit DLG1 Antibody (JE39-74) (NBP3-32929) is a recombinant monoclonal antibody validated for use in IHC, WB and Flow. All Novus Biologicals antibodies are covered by our 100% guarantee.

Scientific Data Images for DLG1 Antibody (JE39-74)

DLG1 Antibody (JE39-74)

Western Blot: DLG1 Antibody (JE39-74) [NBP3-32929]

Western Blot: DLG1 Antibody (JE39-74) [NBP3-32929] - Western blot analysis of DLG1 on different lysates with Rabbit anti-DLG1 antibody (NBP3-32929) at 1/1,000 dilution.

Lane 1: MCF7 cell lysate
Lane 2: HepG2 cell lysate
Lane 3: U-87 MG cell lysate
Lane 4: SiHa cell lysate
Lane 5: NCI-H226 cell lysate
Lane 6: NIH/3T3 cell lysate

Lysates/proteins at 20 ug/Lane.

Predicted band size: 100 kDa
Observed band size: 120 kDa

Exposure time: 1 minute 55 seconds;

4-20% SDS-PAGE gel.

Proteins were transferred to a PVDF membrane and blocked with 5% NFDM/TBST for 1 hour at room temperature. The primary antibody (NBP3-32929) at 1/1,000 dilution was used in 5% NFDM/TBST at 4C overnight. Goat Anti-Rabbit IgG - HRP Secondary Antibody at 1:100,000 dilution was used for 1 hour at room temperature.
DLG1 Antibody (JE39-74)

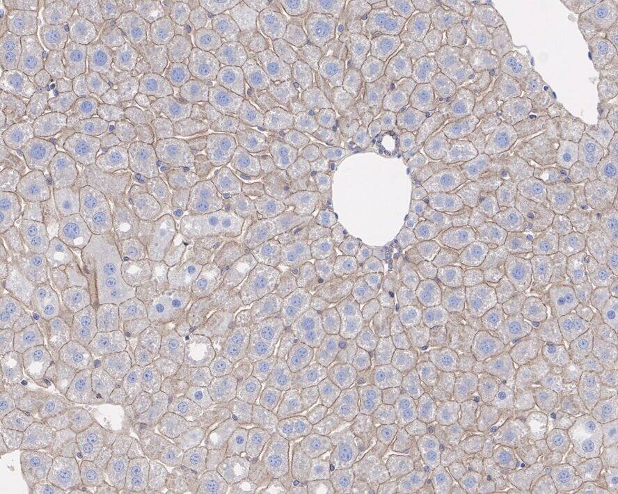
Immunohistochemistry: DLG1 Antibody (JE39-74) [NBP3-32929]

Immunohistochemistry: DLG1 Antibody (JE39-74) [NBP3-32929] - Immunohistochemical analysis of paraffin-embedded mouse liver tissue with Rabbit anti-DLG1 antibody (NBP3-32929) at 1/200 dilution.

The section was pre-treated using heat mediated antigen retrieval with Tris-EDTA buffer (pH 9.0) for 20 minutes. The tissues were blocked in 1% BSA for 20 minutes at room temperature, washed with ddH2O and PBS, and then probed with the primary antibody (NBP3-32929) at 1/200 dilution for 1 hour at room temperature. The detection was performed using an HRP conjugated compact polymer system. DAB was used as the chromogen. Tissues were counterstained with hematoxylin and mounted with DPX.
DLG1 Antibody (JE39-74)

Flow Cytometry: DLG1 Antibody (JE39-74) [NBP3-32929]

Flow Cytometry: DLG1 Antibody (JE39-74) [NBP3-32929] - Flow cytometric analysis of SiHa cells labeling DLG1.

Cells were fixed and permeabilized. Then stained with the primary antibody (NBP3-32929, 1ug/ml) (red) compared with Rabbit IgG Isotype Control (green). After incubation of the primary antibody at +4℃ for an hour, the cells were stained with a iFluor™ 488 conjugate-Goat anti-Rabbit IgG Secondary antibody at 1/1,000 dilution for 30 minutes at +4℃. Unlabelled sample was used as a control (cells without incubation with primary antibody; black).

Applications for DLG1 Antibody (JE39-74)

Application
Recommended Usage

Flow Cytometry

1:500-1:1000

Immunohistochemistry-Paraffin

1:200

Western Blot

1:1000

Formulation, Preparation, and Storage

Purification

Protein A purified

Formulation

1*TBS (pH7.4), 0.05% BSA and 40% Glycerol

Preservative

0.05% Sodium Azide

Concentration

1 mg/ml

Shipping

The product is shipped with polar packs. Upon receipt, store it immediately at the temperature recommended below.

Stability & Storage

Store at 4C short term. Aliquot and store at -20C long term. Avoid freeze-thaw cycles.

Background: DLG1

DLG1(disks large homolog 1), also known as SAP97(synapse-associated protein 97), is a scaffolding protein that contains three PDZ domains, one SH3 domain, one L27 domain, and one guanylate kinase-like domain. DLG1has been found to control ion channel clustering at post-synaptic densities in neural cells and to also play a role in adherens junction assembly, and the recruitment of signaling molecules to discreet plasma membrane domains.

Alternate Names

discs, large homolog 1 (Drosophila), disks large homolog 1, DKFZp761P0818, DKFZp781B0426, hDlg, large (Drosophila) homolog 1, presynaptic protein SAP97

Gene Symbol

DLG1

Additional DLG1 Products

Product Documents for DLG1 Antibody (JE39-74)

Certificate of Analysis

To download a Certificate of Analysis, please enter a lot number in the search box below.

Product Specific Notices for DLG1 Antibody (JE39-74)

This product is for research use only and is not approved for use in humans or in clinical diagnosis. Primary Antibodies are guaranteed for 1 year from date of receipt.

Loading...
Loading...
Loading...
Loading...
Loading...