Skip to main content

Dihydrofolate Reductase/DHFR Antibody (JE31-05)

Novus Biologicals, part of Bio-Techne | Catalog # NBP3-32268

Recombinant Monoclonal Antibody
Novus Biologicals, part of Bio-Techne
Catalog #
Availability
Size / Price
Qty
Loading...
NBP3-32268

Key Product Details

Species Reactivity

Human, Mouse, Rat

Applications

Immunohistochemistry, Immunohistochemistry-Paraffin, Western Blot

Label

Unconjugated

Antibody Source

Recombinant Monoclonal Rabbit IgG Clone # JE31-05 expressed in HEK293

Concentration

1 mg/ml

Product Specifications

Immunogen

Recombinant protein within Human Dihydrofolate Reductase/DHFR aa 88-187 / 187. (Uniprot: P00374)

Localization

Mitochondrion, Cytoplasm.

Clonality

Monoclonal

Host

Rabbit

Isotype

IgG

Theoretical MW

21.5 kDa.
Disclaimer note: The observed molecular weight of the protein may vary from the listed predicted molecular weight due to post translational modifications, post translation cleavages, relative charges, and other experimental factors.

Description

Novus Biologicals Rabbit Dihydrofolate Reductase/DHFR Antibody (JE31-05) (NBP3-32268) is a recombinant monoclonal antibody validated for use in IHC and WB. All Novus Biologicals antibodies are covered by our 100% guarantee.

Scientific Data Images for Dihydrofolate Reductase/DHFR Antibody (JE31-05)

Dihydrofolate Reductase/DHFR Antibody (JE31-05)

Western Blot: Dihydrofolate Reductase/DHFR Antibody (JE31-05) [NBP3-32268]

Western Blot: Dihydrofolate Reductase/DHFR Antibody (JE31-05) [NBP3-32268] - Western blot analysis of Dihydrofolate Reductase/DHFR on different lysates with Rabbit anti-Dihydrofolate Reductase/DHFR antibody (NBP3-32268) at 1/1,000 dilution.

Lane 1: HCT116 cell lysate (15 ug/Lane)
Lane 2: HeLa cell lysate (15 ug/Lane)
Lane 3: U-2 OS cell lysate (15 ug/Lane)
Lane 4: K-562 cell lysate (15 ug/Lane)
Lane 5: MCF7 cell lysate (15 ug/Lane)
Lane 6: HEK-293 cell lysate (15 ug/Lane)
Lane 7: Jurkat cell lysate (15 ug/Lane)
Lane 8: HepG2 cell lysate (15 ug/Lane)
Lane 9: LO2 cell lysate (15 ug/Lane)
Lane 10: Mouse liver tissue lysate (30 ug/Lane)
Lane 11: Rat liver tissue lysate (30 ug/Lane)

Predicted band size: 21.5 kDa
Observed band size: 21.5 kDa

Exposure time: 1 minute;

4-20% SDS-PAGE gel.

Proteins were transferred to a PVDF membrane and blocked with 5% NFDM/TBST for 1 hour at room temperature. The primary antibody (NBP3-32268) at 1/1,000 dilution was used in 5% NFDM/TBST at room temperature for 2 hours. Goat Anti-Rabbit IgG - HRP Secondary Antibody at 1:100,000 dilution was used for 1 hour at room temperature.
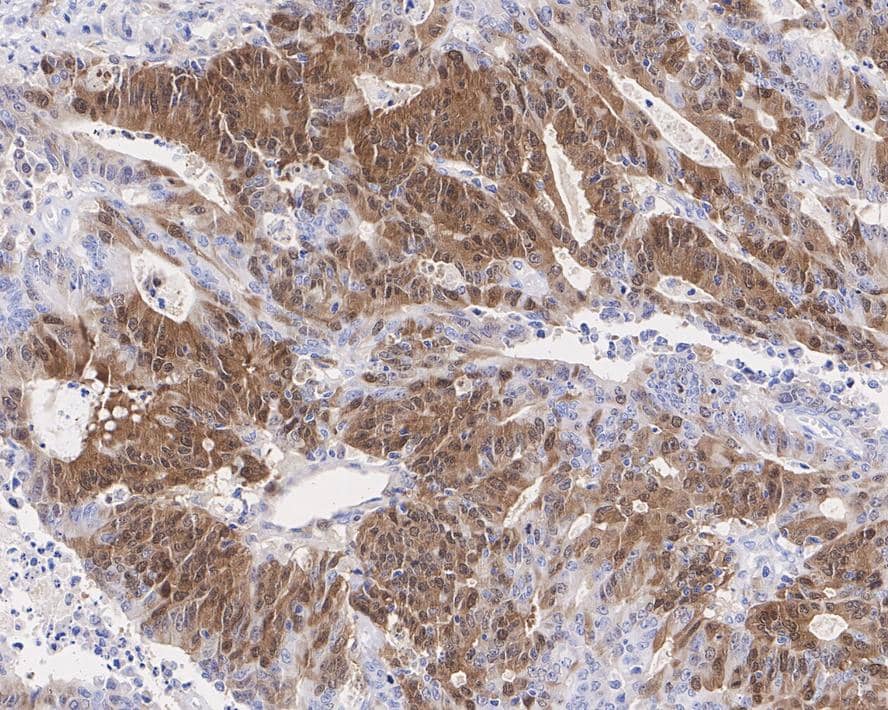
Dihydrofolate Reductase/DHFR Antibody (JE31-05)

Immunohistochemistry: Dihydrofolate Reductase/DHFR Antibody (JE31-05) [NBP3-32268]

Immunohistochemistry: Dihydrofolate Reductase/DHFR Antibody (JE31-05) [NBP3-32268] - Immunohistochemical analysis of paraffin-embedded human colon carcinoma tissue with Rabbit anti-Dihydrofolate Reductase/DHFR antibody (NBP3-32268) at 1/200 dilution.

The section was pre-treated using heat mediated antigen retrieval with sodium citrate buffer (pH 6.0) for 2 minutes. The tissues were blocked in 1% BSA for 20 minutes at room temperature, washed with ddH2O and PBS, and then probed with the primary antibody (NBP3-32268) at 1/200 dilution for 1 hour at room temperature. The detection was performed using an HRP conjugated compact polymer system. DAB was used as the chromogen. Tissues were counterstained with hematoxylin and mounted with DPX.

Applications for Dihydrofolate Reductase/DHFR Antibody (JE31-05)

Application
Recommended Usage

Immunohistochemistry-Paraffin

1:200

Western Blot

1:1000

Formulation, Preparation, and Storage

Purification

Protein A purified

Formulation

1*TBS (pH7.4), 0.05% BSA and 40% Glycerol

Preservative

0.05% Sodium Azide

Concentration

1 mg/ml

Shipping

The product is shipped with polar packs. Upon receipt, store it immediately at the temperature recommended below.

Stability & Storage

Store at 4C short term. Aliquot and store at -20C long term. Avoid freeze-thaw cycles.

Background: Dihydrofolate Reductase/DHFR

Dihydrofolate reductase converts dihydrofolate into tetrahydrofolate, a methyl group shuttle required for the de novo synthesis of purines, thymidylic acid, and certain amino acids. While the functional dihydrofolate reductase gene has been mapped to chromosome 5, multiple intronless processed pseudogenes or dihydrofolate reductase-like genes have been identified on separate chromosomes. Dihydrofolate reductase deficiency has been linked to megaloblastic anemia.

Alternate Names

DHFR, DHFRP1, DYR

Gene Symbol

DHFR

Additional Dihydrofolate Reductase/DHFR Products

Product Documents for Dihydrofolate Reductase/DHFR Antibody (JE31-05)

Certificate of Analysis

To download a Certificate of Analysis, please enter a lot number in the search box below.

Product Specific Notices for Dihydrofolate Reductase/DHFR Antibody (JE31-05)

This product is for research use only and is not approved for use in humans or in clinical diagnosis. Primary Antibodies are guaranteed for 1 year from date of receipt.

Loading...
Loading...
Loading...
Loading...