Skip to main content

DHX8 Antibody

Novus Biologicals, part of Bio-Techne | Catalog # NB100-1713

Novus Biologicals, part of Bio-Techne
Catalog #
Availability
Size / Price
Qty
Loading...
NB100-1713

Key Product Details

Species Reactivity

Human, Mouse

Applications

Immunohistochemistry, Immunohistochemistry-Paraffin, Western Blot, Immunoprecipitation

Label

Unconjugated

Antibody Source

Polyclonal Rabbit IgG

Concentration

0.2 mg/ml

Product Specifications

Immunogen

The immunogen recognized by this antibody maps to a region between residues 325 and 375 of human DEAH (Asp-Glu-Ala-His) Box Polypeptide 8 using the numbering given in entry NP_004932.1 (GeneID 1659).

Clonality

Polyclonal

Host

Rabbit

Isotype

IgG

Scientific Data Images for DHX8 Antibody

Western Blot: DHX8 Antibody [NB100-1713]

Western Blot: DHX8 Antibody [NB100-1713]

Western Blot: DHX8 Antibody [NB100-1713] - Detection of human DHX8 by western blot. Samples: Whole cell lysate (50 ug) from HeLa, HEK293T, and Jurkat cells prepared using NETN lysis buffer. Antibody: Affinity purified rabbit anti-DHX8 antibody NB100-1713 used for WB at 0.1 ug/ml. Detection: Chemiluminescence with an exposure time of 30 seconds.
Immunohistochemistry: DHX8 Antibody [NB100-1713]

Immunohistochemistry: DHX8 Antibody [NB100-1713]

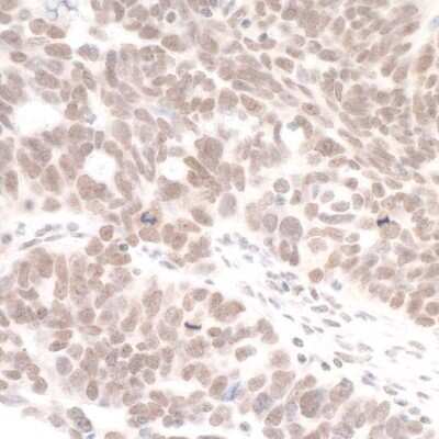
Immunohistochemistry: DHX8 Antibody [NB100-1713] - Detection of human DHX8 by immunohistochemistry. Sample: FFPE section of human ovarian carcinoma. Antibody:Affinity purified rabbit anti-DHX8 antibody (NB100-1713).
Immunohistochemistry-Paraffin: DHX8 Antibody [NB100-1713]

Immunohistochemistry-Paraffin: DHX8 Antibody [NB100-1713]

Immunohistochemistry-Paraffin: DHX8 Antibody [NB100-1713] - Human ovarian carcinoma (left) and mouse teratoma (right). Antibody used at a dilution of 1:200 (1ug/ml).

Applications for DHX8 Antibody

Application
Recommended Usage

Immunohistochemistry-Paraffin

1:10-1:500

Formulation, Preparation, and Storage

Purification

Immunogen affinity purified

Formulation

TBS and 0.1% BSA

Preservative

0.09% Sodium Azide

Concentration

0.2 mg/ml

Shipping

The product is shipped with polar packs. Upon receipt, store it immediately at the temperature recommended below.

Stability & Storage

Store at 4C. Do not freeze.

Background: DHX8

DHX8 is a member of the DEAH box family of proteins that possesses several conserved motifs which include the highly conserved DEAH (Asp-Glu-Ala-His) amino acid sequence motif. The major activity of DEAH box proteins is to function as ATP-dependent RNA helicases. RNA helicases play an important role in all aspects of RNA metabolism and function which include pre-mRNA splicing, RNA synthesis, RNA degradation, RNA export, RNA translation, RNA secondary structure formation, ribosome biogenesis, and the assembly of RNP complexes. DHX8 is the human ortholog of the yeast Prp22 protein. DHX8 has been demonstrated to function in the release of RNA from the splicesome and the nuclear export of spliced mRNA. Alternate names for DHX8 include ATP-dependent RNA helicase DHX8, DEAH box protein 8, RNA helicase HRH1, DDX8, HRH1, PRP22, and PRPF22.

Alternate Names

DDX8ATP-dependent RNA helicase DHX8, DEAD/H (Asp-Glu-Ala-Asp/His) box polypeptide 8 (RNA helicase), DEAH (Asp-Glu-Ala-His) box polypeptide 8, DEAH box protein 8, DEAH-box protein 8, EC 3.6.1, EC 3.6.4.13, HRH1RNA helicase HRH1, PRP22, PRPF22

Entrez Gene IDs

1659 (Human)

Gene Symbol

DHX8

Additional DHX8 Products

Product Documents for DHX8 Antibody

Certificate of Analysis

To download a Certificate of Analysis, please enter a lot number in the search box below.

Product Specific Notices for DHX8 Antibody

This product is for research use only and is not approved for use in humans or in clinical diagnosis. Primary Antibodies are guaranteed for 1 year from date of receipt.

Loading...
Loading...
Loading...
Loading...