Skip to main content

Defensin alpha 5 Antibody - BSA Free

Novus Biologicals, part of Bio-Techne | Catalog # NBP1-84282

Novus Biologicals, part of Bio-Techne
Catalog #
Availability
Size / Price
Qty
Loading...
NBP1-84282
NBP1-84282-25ul

Key Product Details

Validated by

Orthogonal Validation

Species Reactivity

Human

Applications

Immunohistochemistry, Immunohistochemistry-Paraffin, Western Blot

Label

Unconjugated

Antibody Source

Polyclonal Rabbit IgG

Format

BSA Free

Concentration

Concentrations vary lot to lot. See vial label for concentration. If unlisted please contact technical services.

Product Specifications

Immunogen

This antibody was developed against Recombinant Protein corresponding to amino acids: ESLQERADEATTQKQSGEDNQDLAISFAGNGLSALRTSGSQARATCYCRTGRCATRESLSGVCEISGRLYRLCCR

Clonality

Polyclonal

Host

Rabbit

Isotype

IgG

Description

Novus Biologicals Rabbit Defensin alpha 5 Antibody - BSA Free (NBP1-84282) is a polyclonal antibody validated for use in IHC and WB. Anti-Defensin alpha 5 Antibody: Cited in 2 publications. All Novus Biologicals antibodies are covered by our 100% guarantee.

Scientific Data Images for Defensin alpha 5 Antibody - BSA Free

Western Blot: Defensin alpha 5 Antibody [NBP1-84282]

Western Blot: Defensin alpha 5 Antibody [NBP1-84282]

Western Blot: Defensin alpha 5 Antibody [NBP1-84282] - Analysis in human small intestine tissue.
Defensin alpha 5 Antibody

Immunohistochemistry-Paraffin: Defensin alpha 5 Antibody [NBP1-84282] -

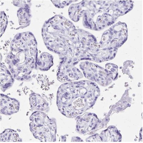
Immunohistochemistry-Paraffin: Defensin alpha 5 Antibody [NBP1-84282] - Staining of human placenta shows no positivity in trophoblastic cells as expected.
Defensin alpha 5 Antibody

Immunohistochemistry-Paraffin: Defensin alpha 5 Antibody [NBP1-84282] -

Immunohistochemistry-Paraffin: Defensin alpha 5 Antibody [NBP1-84282] - Staining of human skeletal muscle shows no positivity in myocytes as expected.

Applications for Defensin alpha 5 Antibody - BSA Free

Application
Recommended Usage

Immunohistochemistry

1:200 - 1:500

Immunohistochemistry-Paraffin

1:200 - 1:500

Western Blot

0.04-0.4 ug/ml
Application Notes
For IHC-Paraffin, HIER pH 6 retrieval is recommended.

Formulation, Preparation, and Storage

Purification

Affinity purified

Formulation

PBS (pH 7.2) and 40% Glycerol

Format

BSA Free

Preservative

0.02% Sodium Azide

Concentration

Concentrations vary lot to lot. See vial label for concentration. If unlisted please contact technical services.

Shipping

The product is shipped with polar packs. Upon receipt, store it immediately at the temperature recommended below.

Stability & Storage

Store at 4C short term. Aliquot and store at -20C long term. Avoid freeze-thaw cycles.

Background: alpha-Defensin 5

Defensin alpha 5 (DEFA5) is primarily responsible for host defense. DEFA5 has shown antimicrobial activity and is thought to kill microbes by permeabilizing their plasma membrane. This protein is highly expressed in the secretory granules of Paneth cells of the ileum.

Defensin alpha 5 antibodies are useful tools for bacterial defense studies and human immunology research.

Long Name

Defensin Alpha 5

Alternate Names

DEF5, DEFA5, Defensin alpha 5, HD-5

Gene Symbol

DEFA5

Additional alpha-Defensin 5 Products

Product Documents for Defensin alpha 5 Antibody - BSA Free

Certificate of Analysis

To download a Certificate of Analysis, please enter a lot number in the search box below.

Product Specific Notices for Defensin alpha 5 Antibody - BSA Free

This product is for research use only and is not approved for use in humans or in clinical diagnosis. Primary Antibodies are guaranteed for 1 year from date of receipt.

Loading...
Loading...
Loading...
Loading...