Dectin-2/CLEC6A Antibody (3D1) - Azide and BSA Free
Novus Biologicals, part of Bio-Techne | Catalog # NBP2-36486
Conjugate
Catalog #
Forumulation
Catalog #
Key Product Details
Species Reactivity
Human, Primate
Applications
Immunohistochemistry, Immunohistochemistry-Paraffin, Western Blot, Flow Cytometry, CyTOF-ready
Label
Unconjugated
Antibody Source
Monoclonal Mouse IgG3 Kappa Clone # 3D1
Format
Azide and BSA Free
Concentration
1.0 mg/ml
Product Specifications
Immunogen
A portion of amino acids 75-139 of human Dectin-2 was used as the immunogen for the antibody. 90-106
Reactivity Notes
Orangutan, Chimpanzee (100%), Rhesus monkey, Bovine, Sheep (83%), Mouse (65%), Rat (52%).
Clonality
Monoclonal
Host
Mouse
Isotype
IgG3 Kappa
Description
Novus Biologicals Mouse Dectin-2/CLEC6A Antibody (3D1) - Azide and BSA Free (NBP2-27159) is a monoclonal antibody validated for use in IHC, WB and Flow. All Novus Biologicals antibodies are covered by our 100% guarantee.
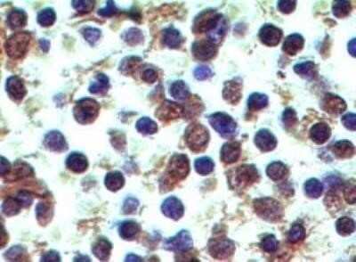
Scientific Data Images for Dectin-2/CLEC6A Antibody (3D1) - Azide and BSA Free
Western Blot: Dectin-2/CLEC6A Antibody (3D1)Azide and BSA Free [NBP2-36486]
Western Blot: Dectin-2/CLEC6A Antibody (3D1) - Azide Free [NBP2-36486] - Analysis of Dectin-2 in human heart lysate in the 1) absence and 2) presence of immunizing peptide, 3) mouse heart lysate, 4) rat heart lysate and 5) human Ramos cell lysate using Dectin-2 antibody at 2 ug/mL. Goat anti-mouse Ig HRP secondary antibody and PicoTect ECL substrate solution were used for this test. Image from the standard format of this antibody.Immunohistochemistry: Dectin-2/CLEC6A Antibody (3D1) - Azide and BSA Free [NBP2-36486]
Immunohistochemistry: Dectin-2/CLEC6A Antibody (3D1) - Azide Free [NBP2-36486] - Normal human spleen tissue stained with Dectin-2 antibody (5 ug/mL), peroxidase-conjugate and DAB chromogen. Human tissue TMA was used for this test. Image from the standard format of this antibody.Flow Cytometry: Dectin-2/CLEC6A Antibody (3D1) - Azide and BSA Free [NBP2-36486]
Flow Cytometry: Dectin-2/CLEC6A Antibody (3D1) - Azide Free [NBP2-36486] - An intracellular stain was performed on THP-1 cells with Dectin-2/CLEC6A (3D1) antibody NBP2-27159AF488 (blue) and a matched isotype control (orange). Cells were fixed with 4% PFA and then permeablized with 0.1% saponin. Cells were incubated in an antibody dilution of 5 ug/mL for 30 minutes at room temperature. Both antibodies were directly conjugated to Alexa Fluor 488.Applications for Dectin-2/CLEC6A Antibody (3D1) - Azide and BSA Free
Application
Recommended Usage
Flow Cytometry
1ul/1 million cells
Immunohistochemistry-Paraffin
5 ug/ml
Western Blot
2-5 ug/ml
Formulation, Preparation, and Storage
Purification
Protein G purified
Formulation
PBS
Format
Azide and BSA Free
Preservative
No Preservative
Concentration
1.0 mg/ml
Shipping
The product is shipped with polar packs. Upon receipt, store it immediately at the temperature recommended below.
Stability & Storage
Store at 4C short term. Aliquot and store at -20C long term. Avoid freeze-thaw cycles.
Background: Dectin-2/CLEC6A
Alternate Names
CLEC6A, CLECSF10, Dectin2
Gene Symbol
CLEC6A
Additional Dectin-2/CLEC6A Products
Product Documents for Dectin-2/CLEC6A Antibody (3D1) - Azide and BSA Free
Product Specific Notices for Dectin-2/CLEC6A Antibody (3D1) - Azide and BSA Free
This product is for research use only and is not approved for use in humans or in clinical diagnosis. Primary Antibodies are guaranteed for 1 year from date of receipt.
Loading...
Loading...
Loading...
Loading...
Loading...