Dectin-2/CLEC6A Antibody (3D1) - BSA Free
Novus Biologicals, part of Bio-Techne | Catalog # NBP2-27159
Conjugate
Catalog #
Forumulation
Catalog #
Key Product Details
Species Reactivity
Human, Primate
Applications
CyTOF-ready, Flow (Cell Surface), Flow Cytometry, Immunohistochemistry, Immunohistochemistry-Paraffin, Western Blot
Label
Unconjugated
Antibody Source
Monoclonal Mouse IgG3 Kappa Clone # 3D1
Format
BSA Free
Concentration
1.0 mg/ml
Product Specifications
Immunogen
A blend of two peptides made to amino acids 44-63 and 90-106 of human Dectin-2.
Reactivity Notes
Bovine, Sheep (83%), Mouse (65%), Rat (52%).
Clonality
Monoclonal
Host
Mouse
Isotype
IgG3 Kappa
Description
Novus Biologicals Mouse Dectin-2/CLEC6A Antibody (3D1) - BSA Free (NBP2-27159) is a monoclonal antibody validated for use in IHC, WB and Flow. All Novus Biologicals antibodies are covered by our 100% guarantee.
Scientific Data Images for Dectin-2/CLEC6A Antibody (3D1) - BSA Free
Western Blot: Dectin-2/CLEC6A Antibody (3D1)BSA Free [NBP2-27159]
Western Blot: Dectin-2/CLEC6A Antibody (3D1) [NBP2-27159] - Analysis of Dectin-2 in human heart lysate in the 1) absence and 2) presence of immunizing peptide, 3) mouse heart lysate, 4) rat heart lysate and 5) human Ramos cell lysate using Dectin-2 antibody at 2 ug/mL. Goat anti-mouse Ig HRP secondary antibody and PicoTect ECL substrate solution were used for this test.Immunohistochemistry-Paraffin: Dectin-2/CLEC6A Antibody (3D1) - BSA Free [NBP2-27159]
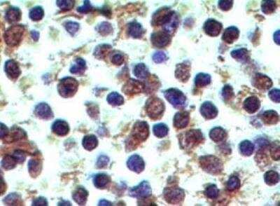
Immunohistochemistry-Paraffin: Dectin-2/CLEC6A Antibody (3D1) [NBP2-27159] - Normal human spleen tissue stained with Dectin-2 antibody (5 ug/mL), peroxidase-conjugate and DAB chromogen. Human tissue TMA was used for this test.Flow Cytometry: Dectin-2/CLEC6A Antibody (3D1) - BSA Free [NBP2-27159]
Flow Cytometry: Dectin-2/CLEC6A Antibody (3D1) [NBP2-27159] - An intracellular stain was performed on THP-1 cells with Dectin-2/CLEC6A (3D1) antibody NBP2-27159AF488 (blue) and a matched isotype control (orange). Cells were fixed with 4% PFA and then permeablized with 0.1% saponin. Cells were incubated in an antibody dilution of 5 ug/mL for 30 minutes at room temperature. Both antibodies were conjugated to Alexa Fluor 488.Applications for Dectin-2/CLEC6A Antibody (3D1) - BSA Free
Application
Recommended Usage
Flow Cytometry
0.5 ug/5x10^5 cells
Immunohistochemistry
1:200
Immunohistochemistry-Paraffin
1:200
Western Blot
2 - 5ug/mL
Formulation, Preparation, and Storage
Purification
Protein G purified
Formulation
PBS
Format
BSA Free
Preservative
0.02% Sodium Azide
Concentration
1.0 mg/ml
Shipping
The product is shipped with polar packs. Upon receipt, store it immediately at the temperature recommended below.
Stability & Storage
Store at 4C short term. Aliquot and store at -20C long term. Avoid freeze-thaw cycles.
Background: Dectin-2/CLEC6A
Additional Dectin-2/CLEC6A Products
Product Documents for Dectin-2/CLEC6A Antibody (3D1) - BSA Free
Product Specific Notices for Dectin-2/CLEC6A Antibody (3D1) - BSA Free
This product is for research use only and is not approved for use in humans or in clinical diagnosis. Primary Antibodies are guaranteed for 1 year from date of receipt.
Loading...
Loading...
Loading...
Loading...
Loading...