Skip to main content

DCP2 Antibody - BSA Free

Novus Biologicals, part of Bio-Techne | Catalog # NBP2-16109

Novus Biologicals, part of Bio-Techne
Catalog #
Availability
Size / Price
Qty
Loading...
NBP2-16109

Key Product Details

Species Reactivity

Validated:

Human, Mouse, Drosophila, Zebrafish

Cited:

Fish - Danio rerio (Zebrafish)

Predicted:

Rat (99%), Rhesus Macaque (100%). Backed by our 100% Guarantee.

Applications

Validated:

Immunohistochemistry, Immunohistochemistry-Paraffin, Western Blot, Immunocytochemistry/ Immunofluorescence, In-situ Hybridization

Cited:

Immunocytochemistry/ Immunofluorescence, In Situ Hybridization

Label

Unconjugated

Antibody Source

Polyclonal Rabbit IgG

Format

BSA Free

Concentration

Concentrations vary lot to lot. See vial label for concentration. If unlisted please contact technical services.

Product Specifications

Immunogen

Recombinant protein encompassing a sequence within the center region of human DCP2. The exact sequence is proprietary.

Reactivity Notes

Immunogen displays the following percentage of sequence identity for non-tested species: Xenopus laevis (86%).

Localization

Cytoplasm; P-body; Nucleus

Clonality

Polyclonal

Host

Rabbit

Isotype

IgG

Theoretical MW

48 kDa.
Disclaimer note: The observed molecular weight of the protein may vary from the listed predicted molecular weight due to post translational modifications, post translation cleavages, relative charges, and other experimental factors.

Scientific Data Images for DCP2 Antibody - BSA Free

Immunocytochemistry/ Immunofluorescence: DCP2 Antibody [NBP2-16109]

Immunocytochemistry/ Immunofluorescence: DCP2 Antibody [NBP2-16109]

DCP2-Antibody-Immunocytochemistry-Immunofluorescence-NBP2-16109-img0004.jpg
Western Blot: DCP2 Antibody [NBP2-16109]

Western Blot: DCP2 Antibody [NBP2-16109]

Western Blot: DCP2 Antibody [NBP2-16109] - Sample (30 ug of whole cell lysate) A: IMR32 10% SDS PAGE gel, diluted at 1:1000.
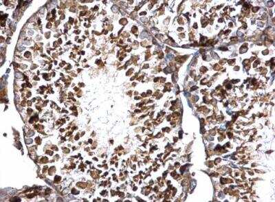
Immunohistochemistry-Paraffin: DCP2 Antibody [NBP2-16109]

Immunohistochemistry-Paraffin: DCP2 Antibody [NBP2-16109]

Immunohistochemistry-Paraffin: DCP2 Antibody [NBP2-16109] - Mouse testis. DCP2 antibody dilution: 1:500. Antigen Retrieval: Trilogy™ (EDTA based, pH 8.0) buffer, 15min.

Applications for DCP2 Antibody - BSA Free

Application
Recommended Usage

Immunocytochemistry/ Immunofluorescence

Reported in scientific literature (PMID: 29975683)

Immunohistochemistry

1:100-1:1000

Immunohistochemistry-Paraffin

1:100-1:1000

In-situ Hybridization

Reported in scientific literature (PMID: 27489304)

Western Blot

1:500-1:3000

Formulation, Preparation, and Storage

Purification

Antigen Affinity-purified

Formulation

0.1M Tris, 0.1M Glycine, 20% Glycerol

Format

BSA Free

Preservative

0.01% Thimerosal

Concentration

Concentrations vary lot to lot. See vial label for concentration. If unlisted please contact technical services.

Shipping

The product is shipped with polar packs. Upon receipt, store it immediately at the temperature recommended below.

Stability & Storage

Aliquot and store at -20C or -80C. Avoid freeze-thaw cycles.

Background: DCP2

DCP2 is a key component of an mRNA-decapping complex required for removal of the 5-prime cap from mRNA prior to its degradation from the 5-prime end (Fenger-Gron et al., 2005 [PubMed 16364915]).[supplied by OMIM]

Alternate Names

DCP2 decapping enzyme homolog (S. cerevisiae), EC 3.-, FLJ33245, hDpc, mRNA-decapping enzyme 2, nudix (nucleoside diphosphate linked moiety X)-type motif 20, Nudix motif 20, NUDT20Nucleoside diphosphate-linked moiety X motif 20

Gene Symbol

DCP2

UniProt

Additional DCP2 Products

Product Documents for DCP2 Antibody - BSA Free

Certificate of Analysis

To download a Certificate of Analysis, please enter a lot number in the search box below.

Product Specific Notices for DCP2 Antibody - BSA Free

This product is for research use only and is not approved for use in humans or in clinical diagnosis. Primary Antibodies are guaranteed for 1 year from date of receipt.

Loading...
Loading...
Loading...
Loading...

⚠ WARNING: This product can expose you to chemicals including mercury, which is known to the State of California to cause reproductive toxicity with developmental effects.  For more information go to www.P65Warnings.ca.gov.