Skip to main content

DCK Antibody - BSA Free

Novus Biologicals, part of Bio-Techne | Catalog # NBP2-32179

Novus Biologicals, part of Bio-Techne

Key Product Details

Validated by

Biological Validation

Species Reactivity

Human, Mouse

Applications

Immunohistochemistry, Immunohistochemistry-Paraffin, Western Blot, Immunoprecipitation

Label

Unconjugated

Antibody Source

Polyclonal Rabbit IgG

Format

BSA Free

Concentration

1.0 mg/ml

Product Specifications

Immunogen

The immunogen this antibody was made to, maps to a region between residue 210 to 260 of human Deoxycytidine Kinase using the numbering given in entry NP_000779.1 (GeneID 1633).

Clonality

Polyclonal

Host

Rabbit

Isotype

IgG

Description

Novus Biologicals Rabbit DCK Antibody - BSA Free (NBP2-32179) is a polyclonal antibody validated for use in IHC, WB and IP. Anti-DCK Antibody: Cited in 1 publication. All Novus Biologicals antibodies are covered by our 100% guarantee.

Scientific Data Images for DCK Antibody - BSA Free

Western Blot: DCK Antibody [NBP2-32179]

Western Blot: DCK Antibody [NBP2-32179]

Western Blot: DCK Antibody [NBP2-32179] - Samples: Whole cell lysate (50 ug) from HeLa, 293T, Jurkat, mouse TCMK-1, and mouse NIH3T3 cells. Antibodies: Affinity purified rabbit anti-DCK antibody NBP2-32179 used for WB at 0.1 ug/ml. Detection: Chemiluminescence with an exposure time of 3 minutes.
Immunohistochemistry: DCK Antibody [NBP2-32179]

Immunohistochemistry: DCK Antibody [NBP2-32179]

Immunohistochemistry: DCK Antibody [NBP2-32179] - Sample: FFPE section of mouse teratoma. Antibody: Affinity purified rabbit anti- DCK used at a dilution of 1:1,000 (1ug/ml). Detection: DAB. Counterstain: IHC Hematoxylin (blue).
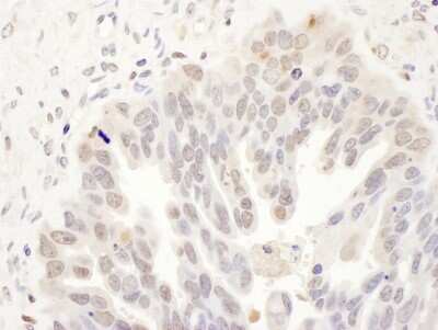
Immunohistochemistry: DCK Antibody [NBP2-32179]

Immunohistochemistry: DCK Antibody [NBP2-32179]

Immunohistochemistry: DCK Antibody [NBP2-32179] - Sample: FFPE section of human ovarian carcinoma. Antibody: Affinity purified rabbit anti- DCK used at a dilution of 1:1,000 (1ug/ml). Detection: DAB. Counterstain: IHC Hematoxylin (blue).

Applications for DCK Antibody - BSA Free

Application
Recommended Usage

Immunohistochemistry-Paraffin

1:1000 - 1:5000

Immunoprecipitation

2 - 10 ug/mg lysate

Western Blot

1:2000 - 1:10000
Application Notes
Epitope retrieval with citrate buffer pH 6.0 is recommended for FFPE tissue sections.

Formulation, Preparation, and Storage

Purification

Immunogen affinity purified

Formulation

Tris-Citrate/Phosphate (pH 7.0 - 8.0)

Format

BSA Free

Preservative

0.09% Sodium Azide

Concentration

1.0 mg/ml

Shipping

The product is shipped with polar packs. Upon receipt, store it immediately at the temperature recommended below.

Stability & Storage

Store at 4C. Do not freeze.

Background: DCK

DCK (Deoxycytidine kinase) is required for the phosphorylation of several deoxyribonucleosides and their nucleoside analogs. Deficiency of DCK is associated with resistance to antiviral and anticancer chemotherapeutic agents. Conversely, increased deoxycytidine kinase activity is associated with increased activation of these compounds to cytotoxic nucleoside triphosphate derivatives. DCK is clinically important because of its relationship to drug resistance and sensitivity.

Long Name

Deoxycytidine kinase

Alternate Names

EC 2.7.1.113, EC 2.7.1.74, EC 2.7.1.76

Gene Symbol

DCK

Additional DCK Products

Product Documents for DCK Antibody - BSA Free

Certificate of Analysis

To download a Certificate of Analysis, please enter a lot number in the search box below.

Product Specific Notices for DCK Antibody - BSA Free

This product is for research use only and is not approved for use in humans or in clinical diagnosis. Primary Antibodies are guaranteed for 1 year from date of receipt.

Loading...
Loading...
Loading...
Loading...