Skip to main content

DBC1/p30 Antibody

Novus Biologicals, part of Bio-Techne | Catalog # NBP1-85305

Novus Biologicals, part of Bio-Techne
Catalog #
Availability
Size / Price
Qty
Loading...
NBP1-85305
NBP1-85305-25ul

Key Product Details

Validated by

Independent Antibodies

Species Reactivity

Human, Mouse, Rat

Applications

Immunohistochemistry, Immunohistochemistry-Paraffin, Western Blot, Immunocytochemistry/ Immunofluorescence

Label

Unconjugated

Antibody Source

Polyclonal Rabbit IgG

Concentration

Concentrations vary lot to lot. See vial label for concentration. If unlisted please contact technical services.

Product Specifications

Immunogen

This antibody was developed against Recombinant Protein corresponding to amino acids: MLLSLPEKVVSPPEPEKEEAAKEEATKEEEAIKEEVVKEPKDEAQNEGPATESEAPLKEDGLLPKPLSSGGEEEEKPRGEASEDLCEMALD

Reactivity Notes

Reactivity reported in scientific literature (PMID: 23435261)

Clonality

Polyclonal

Host

Rabbit

Isotype

IgG

Scientific Data Images for DBC1/p30 Antibody

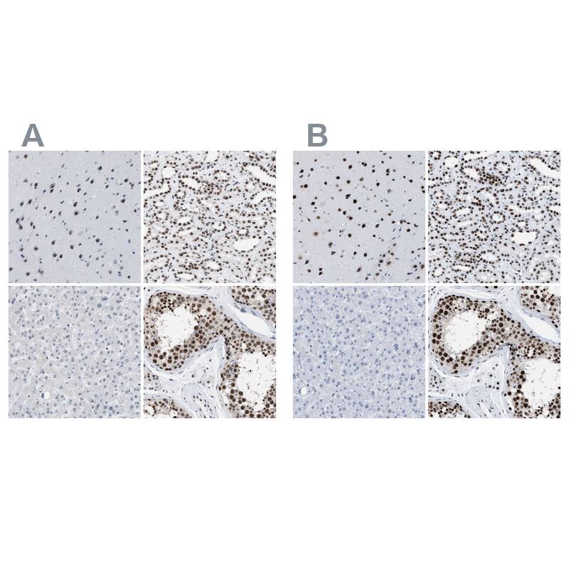
DBC1/p30 Antibody Immunohistochemistry-Paraffin: DBC1/p30 Antibody Antibody [NBP1-85305]

Immunohistochemistry-Paraffin: DBC1/p30 Antibody Antibody [NBP1-85305]

Staining of human cerebral cortex, kidney, liver and testis using NBP1-85305 (A) shows similar protein distribution across tissues to independent antibody NBP1-85304 (B).
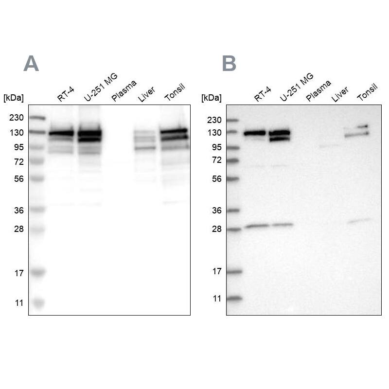
DBC1/p30 Antibody Western Blot: DBC1/p30 Antibody Antibody [NBP1-85305]

Western Blot: DBC1/p30 Antibody Antibody [NBP1-85305]

Analysis using NBP1-85305 (A) shows similar pattern to independent antibody NBP1-85304 (B).
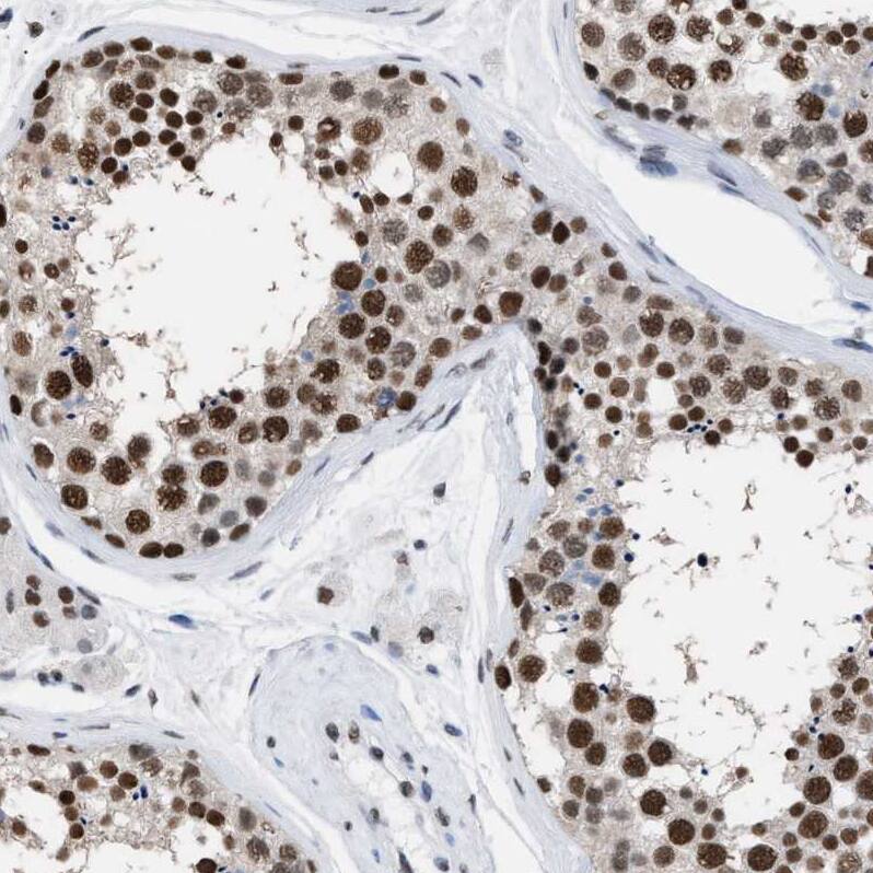
DBC1/p30 Antibody Immunohistochemistry-Paraffin: DBC1/p30 Antibody [NBP1-85305]

Immunohistochemistry-Paraffin: DBC1/p30 Antibody [NBP1-85305]

Analysis in human testis and liver tissues. Corresponding CCAR2 RNA-seq data are presented for the same tissues.

Applications for DBC1/p30 Antibody

Application
Recommended Usage

Immunocytochemistry/ Immunofluorescence

0.25-2 ug/ml

Immunohistochemistry

1:500 - 1:1000

Immunohistochemistry-Paraffin

1:500 - 1:1000

Western Blot

0.04-0.4 ug/ml
Application Notes
For IHC-Paraffin, HIER pH 6 retrieval is recommended. Immunocytochemistry/Immunofluorescence Fixation Permeabilization: Use PFA/Triton X-100.

Formulation, Preparation, and Storage

Purification

Immunogen affinity purified

Formulation

PBS (pH 7.2) and 40% Glycerol

Preservative

0.02% Sodium Azide

Concentration

Concentrations vary lot to lot. See vial label for concentration. If unlisted please contact technical services.

Shipping

The product is shipped with polar packs. Upon receipt, store it immediately at the temperature recommended below.

Stability & Storage

Store at 4C short term. Aliquot and store at -20C long term. Avoid freeze-thaw cycles.

Background: DBC1/p30

DBC1 inhibits SIRT1 deacetylase activity leading to increasing levels of p53/TP53 acetylation and p53-mediatedapoptosis. Inhibits SUV39H1 methyltransferase activity

Alternate Names

DBC.1, DBC1deleted in breast cancer 1, DBC-1p30 DBC protein, Deleted in breast cancer gene 1 protein, KIAA1967, NET35, p30 DBC, p30DBC

Gene Symbol

CCAR2

Additional DBC1/p30 Products

Product Documents for DBC1/p30 Antibody

Certificate of Analysis

To download a Certificate of Analysis, please enter a lot number in the search box below.

Product Specific Notices for DBC1/p30 Antibody

This product is for research use only and is not approved for use in humans or in clinical diagnosis. Primary Antibodies are guaranteed for 1 year from date of receipt.

Loading...
Loading...
Loading...
Loading...