Skip to main content

DAX1/NR0B1 Antibody (OTI5F5) - Azide and BSA Free

Novus Biologicals, part of Bio-Techne | Catalog # NBP2-70116

Novus Biologicals, part of Bio-Techne
Catalog #
Availability
Size / Price
Qty
Loading...
NBP2-70116
Conjugate
Catalog #

Key Product Details

Species Reactivity

Human

Applications

Immunohistochemistry, Immunohistochemistry-Paraffin, Western Blot

Label

Unconjugated

Antibody Source

Monoclonal Mouse IgG1 Clone # OTI5F5

Format

Azide and BSA Free

Concentration

LYOPH mg/ml

Product Specifications

Immunogen

Human recombinant protein fragment corresponding to amino acids 161-430 of human NR0B1 (NP_000466) produced in E.coli.

Clonality

Monoclonal

Host

Mouse

Isotype

IgG1

Theoretical MW

51.5 kDa.
Disclaimer note: The observed molecular weight of the protein may vary from the listed predicted molecular weight due to post translational modifications, post translation cleavages, relative charges, and other experimental factors.

Scientific Data Images for DAX1/NR0B1 Antibody (OTI5F5) - Azide and BSA Free

Western Blot: DAX1/NR0B1 Antibody (OTI5F5)Azide and BSA Free [NBP2-70116]

Western Blot: DAX1/NR0B1 Antibody (OTI5F5)Azide and BSA Free [NBP2-70116]

Western Blot: DAX1/NR0B1 Antibody (OTI5F5) - Azide and BSA Free [NBP2-70116] - Analysis of HEK293T cells were transfected with the pCMV6-ENTRY control (Left lane) or pCMV6-ENTRY NR0B1.
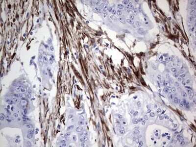
Immunohistochemistry: DAX1/NR0B1 Antibody (OTI5F5) - Azide and BSA Free [NBP2-70116]

Immunohistochemistry: DAX1/NR0B1 Antibody (OTI5F5) - Azide and BSA Free [NBP2-70116]

Immunohistochemistry: DAX1/NR0B1 Antibody (OTI5F5) - Azide and BSA Free [NBP2-70116] - Analysis of Adenocarcinoma of Human colon tissue. (Heat-induced epitope retrieval by 1 mM EDTA in 10mM Tris, pH8.5, 120C for 3min)

Applications for DAX1/NR0B1 Antibody (OTI5F5) - Azide and BSA Free

Application
Recommended Usage

Immunohistochemistry

1:150

Formulation, Preparation, and Storage

Purification

Immunogen affinity purified

Reconstitution

we recommend adding 100uL distilled water to a final antibody concentration of about 1 mg/mL. To use this carrier-free antibody for conjugation experiment, we strongly recommend performing another round of desalting process.

Formulation

Lyophilized from PBS (pH 7.3) with 8% Trehalose

Format

Azide and BSA Free

Preservative

No Preservative

Concentration

LYOPH mg/ml

Shipping

The product is shipped with polar packs. Upon receipt, store it immediately at the temperature recommended below.

Stability & Storage

Store at -20C. Avoid freeze-thaw cycles.

Background: DAX1/NR0B1

NR0B1 encodes a protein that contains a DNA-binding domain. The encoded protein acts as a dominant-negative regulator of transcription which is mediated by the retinoic acid receptor. This protein also functions as an anti-testis gene by acting antagonistically to Sry. Mutations in this gene result in both X-linked congenital adrenal hypoplasia and hypogonadotropic hypogonadism.

Long Name

Orphan Nuclear Receptor DAX1/Nuclear Receptor Subfamily 0, Group B, Member 1

Alternate Names

AHC, AHCH, NR0B1

Gene Symbol

NR0B1

Additional DAX1/NR0B1 Products

Product Documents for DAX1/NR0B1 Antibody (OTI5F5) - Azide and BSA Free

Certificate of Analysis

To download a Certificate of Analysis, please enter a lot number in the search box below.

Product Specific Notices for DAX1/NR0B1 Antibody (OTI5F5) - Azide and BSA Free

This product is for research use only and is not approved for use in humans or in clinical diagnosis. Primary Antibodies are guaranteed for 1 year from date of receipt.

Loading...
Loading...
Loading...
Loading...
Loading...