Skip to main content

Cytosolic Sulfotransferase 2A1/SULT2A1 Antibody - BSA Free

Novus Biologicals, part of Bio-Techne | Catalog # NBP2-32604

Novus Biologicals, part of Bio-Techne
Catalog #
Availability
Size / Price
Qty
Loading...
NBP2-32604
NBP2-32604-25ul

Key Product Details

Validated by

Orthogonal Validation, Independent Antibodies

Species Reactivity

Human

Applications

Immunocytochemistry/ Immunofluorescence, Immunohistochemistry, Immunohistochemistry-Paraffin, Western Blot

Label

Unconjugated

Antibody Source

Polyclonal Rabbit IgG

Format

BSA Free

Concentration

Concentrations vary lot to lot. See vial label for concentration. If unlisted please contact technical services.

Product Specifications

Immunogen

This antibody was developed against a recombinant protein corresponding to amino acids: GWMPMREEKNFLLLSYEELKQDTGRTIEKICQFLGKTLEPEELNLILKNSSFQSMKENKMSNYSLLSVDYVVDKAQLLRKGVS

Clonality

Polyclonal

Host

Rabbit

Isotype

IgG

Description

Novus Biologicals Rabbit Cytosolic Sulfotransferase 2A1/SULT2A1 Antibody - BSA Free (NBP2-32604) is a polyclonal antibody validated for use in IHC, WB and ICC/IF. All Novus Biologicals antibodies are covered by our 100% guarantee.

Scientific Data Images for Cytosolic Sulfotransferase 2A1/SULT2A1 Antibody - BSA Free

Immunocytochemistry/ Immunofluorescence: Cytosolic Sulfotransferase 2A1/SULT2A1 Antibody [NBP2-32604]

Immunocytochemistry/ Immunofluorescence: Cytosolic Sulfotransferase 2A1/SULT2A1 Antibody [NBP2-32604]

Immunocytochemistry/Immunofluorescence: Cytosolic Sulfotransferase 2A1/SULT2A1 Antibody [NBP2-32604] - Immunofluorescent staining of human cell line RT4 shows localization to cytosol.
Immunohistochemistry-Paraffin: Cytosolic Sulfotransferase 2A1/SULT2A1 Antibody [NBP2-32604]

Immunohistochemistry-Paraffin: Cytosolic Sulfotransferase 2A1/SULT2A1 Antibody [NBP2-32604]

Immunohistochemistry-Paraffin: Cytosolic Sulfotransferase 2A1/SULT2A1 Antibody [NBP2-32604] - Analysis in human liver and pancreas tissues using NBP2-32604 antibody. Corresponding SULT2A1 RNA-seq data are presented for the same tissues.
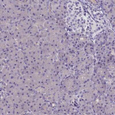
Immunohistochemistry-Paraffin: Cytosolic Sulfotransferase 2A1/SULT2A1 Antibody [NBP2-32604]

Immunohistochemistry-Paraffin: Cytosolic Sulfotransferase 2A1/SULT2A1 Antibody [NBP2-32604]

Immunohistochemistry-Paraffin: Cytosolic Sulfotransferase 2A1/SULT2A1 Antibody [NBP2-32604] - Staining of human pancreas shows no positivity in exocrine glandular cells as expected.

Applications for Cytosolic Sulfotransferase 2A1/SULT2A1 Antibody - BSA Free

Application
Recommended Usage

Immunocytochemistry/ Immunofluorescence

0.25-2 ug/ml

Immunohistochemistry

1:200 - 1:500

Immunohistochemistry-Paraffin

1:200 - 1:500

Western Blot

0.04-0.4 ug/ml
Application Notes
For IHC-Paraffin, HIER pH 6 retrieval is recommended. Immunocytochemistry/Immunofluorescence Fixation Permeabilization: Use PFA/Triton X-100.

Formulation, Preparation, and Storage

Purification

Immunogen affinity purified

Formulation

PBS (pH 7.2) and 40% Glycerol

Format

BSA Free

Preservative

0.02% Sodium Azide

Concentration

Concentrations vary lot to lot. See vial label for concentration. If unlisted please contact technical services.

Shipping

The product is shipped with polar packs. Upon receipt, store it immediately at the temperature recommended below.

Stability & Storage

Store at 4C short term. Aliquot and store at -20C long term. Avoid freeze-thaw cycles.

Background: Cytosolic Sulfotransferase 2A1/SULT2A1

Dehydroepiandrosterone (DHEA) is a major secretory product of the human adrenal cortex during intrauterine development as well as during adulthood. DHEA circulates in the bloodstream as DHEA-sulfate (DHEAS). DHEA has been implicated in a wide range of physiological roles including aging, immunology, learning and memory and obesity.

Alternate Names

DHEA-ST, DHEAS, hSTa, ST2A3, SULT2A1

Gene Symbol

SULT2A1

Additional Cytosolic Sulfotransferase 2A1/SULT2A1 Products

Product Documents for Cytosolic Sulfotransferase 2A1/SULT2A1 Antibody - BSA Free

Certificate of Analysis

To download a Certificate of Analysis, please enter a lot number in the search box below.

Product Specific Notices for Cytosolic Sulfotransferase 2A1/SULT2A1 Antibody - BSA Free

This product is for research use only and is not approved for use in humans or in clinical diagnosis. Primary Antibodies are guaranteed for 1 year from date of receipt.

Loading...
Loading...
Loading...
Loading...