Skip to main content

Cytokeratin 7 Antibody (KRT7/8121R) - Azide and BSA Free

Novus Biologicals, part of Bio-Techne | Catalog # NBP3-20720

Recombinant Monoclonal Antibody
Novus Biologicals, part of Bio-Techne

Key Product Details

Species Reactivity

Human

Applications

Immunohistochemistry-Paraffin

Label

Unconjugated

Antibody Source

Recombinant Monoclonal Rabbit IgG Kappa Clone # KRT7/8121R

Format

Azide and BSA Free

Concentration

1 mg/ml

Product Specifications

Immunogen

Recombinant fragment (around aa1-200) of human Cytokeratin 7 protein (exact sequence is proprietary)

Localization

Cytoplasm.

Clonality

Monoclonal

Host

Rabbit

Isotype

IgG Kappa

Description

Positive Controls: Carcinoma of ovary, lung, cervix, or breast.

Antibody with azide - store at 2 to 8C. Antibody without azide - store at -20 to -80C. Non-hazardous. No MSDS required.

Scientific Data Images for Cytokeratin 7 Antibody (KRT7/8121R) - Azide and BSA Free

Cytokeratin 7 Antibody (KRT7/8121R) - Azide and BSA Free

Cytokeratin 7 Antibody (KRT7/8121R)

Formalin-fixed, paraffin-embedded human lung carcinoma stained with Cytokeratin 7 antibody (KRT7/8121R). HIER: Tris/EDTA, pH9.0, 45min. Secondary: HRP-polymer, 30min. DAB, 5min.
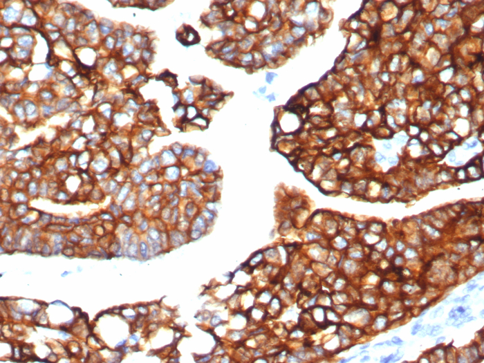
Cytokeratin 7 Antibody (KRT7/8121R) - Azide and BSA Free

Cytokeratin 7 Antibody (KRT7/8121R)

Formalin-fixed, paraffin-embedded human placenta stained with Cytokeratin 7 antibody (KRT7/8121R). HIER: Tris/EDTA, pH9.0, 45min. Secondary: HRP-polymer, 30min. DAB, 5min.

Applications for Cytokeratin 7 Antibody (KRT7/8121R) - Azide and BSA Free

Application
Recommended Usage

Immunohistochemistry-Paraffin

1-2 ug/ml
Application Notes
Immunohistochemistry (Formalin-fixed): 1-2ug/ml for 30 minutes. at RT. Staining of formalin-fixed tissues requires heating tissue sections in 10mM Tris with 1mM EDTA, pH 9.0, for 45 min at 95C followed by cooling at RT for 20 minutes.

Optimal dilution for a specific application should be determined.

Formulation, Preparation, and Storage

Purification

Protein A or G purified

Formulation

10mM PBS

Format

Azide and BSA Free

Preservative

No Preservative

Concentration

1 mg/ml

Shipping

The product is shipped with polar packs. Upon receipt, store it immediately at the temperature recommended below.

Stability & Storage

Store at -20 to -70C. Avoid freeze-thaw cycles.

Background: Cytokeratin 7

Alternate Names

CK-7, CK7, K2C7, K7

Gene Symbol

KRT7

Additional Cytokeratin 7 Products

Product Documents for Cytokeratin 7 Antibody (KRT7/8121R) - Azide and BSA Free

Certificate of Analysis

To download a Certificate of Analysis, please enter a lot number in the search box below.

Product Specific Notices for Cytokeratin 7 Antibody (KRT7/8121R) - Azide and BSA Free

This product is for research use only and is not approved for use in humans or in clinical diagnosis. Primary Antibodies are guaranteed for 1 year from date of receipt.

Loading...
Loading...
Loading...
Loading...