Skip to main content

Ctip1 Antibody (3M8M3)

Novus Biologicals, part of Bio-Techne | Catalog # NBP3-16790

Recombinant Monoclonal Antibody
Novus Biologicals, part of Bio-Techne
Catalog #
Availability
Size / Price
Qty
Loading...
NBP3-16790-100ul
NBP3-16790-20ul

Key Product Details

Validated by

Knockout/Knockdown

Species Reactivity

Human

Applications

Immunohistochemistry, Immunohistochemistry-Paraffin, Western Blot

Label

Unconjugated

Antibody Source

Recombinant Monoclonal Rabbit IgG Clone # 3M8M3 expressed in HEK293

Concentration

Please see the vial label for concentration. If unlisted please contact technical services.

Product Specifications

Immunogen

Recombinant fusion protein containing a sequence corresponding to amino acids 401-589 of human Ctip1 (Q9H165). GEKPYKCNLCDHACTQASKLKRHMKTHMHKSSPMTVKSDDGLSTASSPEPGTSDLVGSASSALKSVVAKFKSENDPNLIPENGDEEEEEDDEEEEEEEEEEEEELTESERVDYGFGLSLEAARHHENSSRGAVVGVGDESRALPDVMQGMVLSSMQHFSEAFHQVLGEKHKRGHLAEAEGHRDTCDEDS

Clonality

Monoclonal

Host

Rabbit

Isotype

IgG

Description

Novus Biologicals Rabbit Ctip1 Antibody (3M8M3) (NBP3-16790) is a recombinant monoclonal antibody validated for use in IHC and WB. All Novus Biologicals antibodies are covered by our 100% guarantee.

Scientific Data Images for Ctip1 Antibody (3M8M3)

Western Blot: Ctip1 Antibody (3M8M3) [NBP3-16790]

Western Blot: Ctip1 Antibody (3M8M3) [NBP3-16790]

Western Blot: Ctip1 Antibody (3M8M3) [NBP3-16790] - Western blot analysis of extracts of Rat brain, using Ctip1 Rabbit mAb (NBP3-16790) at 1:1000 dilution. Secondary antibody: HRP Goat Anti-Rabbit IgG (H+L) at 1:10000 dilution. Lysates/proteins: 25ug per lane. Blocking buffer: 3% nonfat dry milk in TBST. Detection: ECL Basic Kit. Exposure time: 60s.
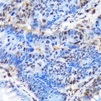
Immunohistochemistry-Paraffin: Ctip1 Antibody (3M8M3) [NBP3-16790]

Immunohistochemistry-Paraffin: Ctip1 Antibody (3M8M3) [NBP3-16790]

Immunohistochemistry-Paraffin: Ctip1 Antibody (3M8M3) [NBP3-16790] - Immunohistochemistry of paraffin-embedded human colon carcinoma using Ctip1 Rabbit mAb (NBP3-16790) at dilution of 1:100 (40x lens).Perform microwave antigen retrieval with 10 mM Tris/EDTA buffer pH 9.0 before commencing with IHC staining protocol.
Ctip1 Antibody (3M8M3)

Western Blot: Ctip1 Antibody (3M8M3) [NBP3-16790] -

Western Blot: Ctip1 Antibody (3M8M3) [NBP3-16790] - Western blot analysis of lysates from wild type(WT) and Ctip1 knockout (KO) 293T(KO) cells, using Ctip1 Rabbit mAb at 1:1000 dilution.
Secondary antibody: HRP Goat Anti-Rabbit IgG (H+L) at 1:10000 dilution.
Lysates/proteins: 25ug per lane.
Blocking buffer: 3% nonfat dry milk in TBST.
Detection: ECL Basic Kit.
Exposure time: 3s.

Applications for Ctip1 Antibody (3M8M3)

Application
Recommended Usage

Immunohistochemistry

1:50 - 1:200

Western Blot

1:500 - 1:1000

Formulation, Preparation, and Storage

Purification

Affinity purified

Formulation

PBS (pH 7.3), 50% glycerol, 0.05% BSA

Preservative

0.02% Sodium Azide

Concentration

Please see the vial label for concentration. If unlisted please contact technical services.

Shipping

The product is shipped with polar packs. Upon receipt, store it immediately at the temperature recommended below.

Stability & Storage

Store at -20C. Avoid freeze-thaw cycles.

Background: Ctip1

The Ctip1 gene encodes a C2H2 type zinc-finger protein by its similarity to the mouse Bcl11a/Evi9 protein. The corresponding mouse gene is a common site of retroviral integration in myeloid leukemia, and may function as a leukemia disease gene, in part, throug

Alternate Names

B-cell CLL/lymphoma 11A, B-cell CLL/lymphoma 11A (zinc finger protein), B-cell CLL/lymphoma 11A (zinc finger protein) isoform 2, B-cell lymphoma/leukemia 11A, BCL-11A, BCL11A B-cell CLL/lymphoma 11A (zinc finger protein) isoform 1, BCL11A-S, BCL11A-XL, C2H2-type zinc finger protein, COUP-TF-interacting protein 1, CTIP1ecotropic viral integration site 9, ecotropic viral integration site 9 homolog, Ecotropic viral integration site 9 protein homolog, EVI-9, EVI9FLJ34997, HBFQTL5, KIAA1809BCL11A-L, Zinc finger protein 856, ZNF856FLJ10173

Gene Symbol

BCL11A

Additional Ctip1 Products

Product Documents for Ctip1 Antibody (3M8M3)

Certificate of Analysis

To download a Certificate of Analysis, please enter a lot number in the search box below.

Product Specific Notices for Ctip1 Antibody (3M8M3)

This product is for research use only and is not approved for use in humans or in clinical diagnosis. Primary Antibodies are guaranteed for 1 year from date of receipt.

Loading...
Loading...
Loading...
Loading...