Skip to main content

csl/RBPJK Antibody (9B3L6)

Novus Biologicals, part of Bio-Techne | Catalog # NBP3-16326

Recombinant Monoclonal Antibody
Novus Biologicals, part of Bio-Techne
Catalog #
Availability
Size / Price
Qty
Loading...
NBP3-16326-100ul
NBP3-16326-20ul

Key Product Details

Species Reactivity

Human, Mouse

Applications

Immunohistochemistry, Immunohistochemistry-Paraffin, Western Blot

Label

Unconjugated

Antibody Source

Recombinant Monoclonal Rabbit IgG Clone # 9B3L6 expressed in HEK293

Concentration

Please see the vial label for concentration. If unlisted please contact technical services.

Product Specifications

Immunogen

A synthetic peptide corresponding to a sequence within amino acids 100-200 of human csl/RBPJK (Q06330). CAFIGIGNSDQEMQQLNLEGKNYCTAKTLYISDSDKRKHFMLSVKMFYGNSDDIGVFLSKRIKVISKPSKKKQSLKNADLCIASGTKVALFNRLRSQTVST

Clonality

Monoclonal

Host

Rabbit

Isotype

IgG

Description

Novus Biologicals Rabbit csl/RBPJK Antibody (9B3L6) (NBP3-16326) is a recombinant monoclonal antibody validated for use in IHC and WB. All Novus Biologicals antibodies are covered by our 100% guarantee.

Scientific Data Images for csl/RBPJK Antibody (9B3L6)

Western Blot: csl/RBPJK Antibody (9B3L6) [NBP3-16326]

Western Blot: csl/RBPJK Antibody (9B3L6) [NBP3-16326]

Western Blot: csl/RBPJK Antibody (9B3L6) [NBP3-16326] - Western blot analysis of extracts of various cell lines, using csl/RBPJK Rabbit mAb (NBP3-16326) at 1:1000 dilution. Secondary antibody: HRP Goat Anti-Rabbit IgG (H+L) at 1:10000 dilution. Lysates/proteins: 25ug per lane. Blocking buffer: 3% nonfat dry milk in TBST. Detection: ECL Basic Kit. Exposure time: 10s.
Immunohistochemistry-Paraffin: csl/RBPJK Antibody (9B3L6) [NBP3-16326]

Immunohistochemistry-Paraffin: csl/RBPJK Antibody (9B3L6) [NBP3-16326]

Immunohistochemistry-Paraffin: csl/RBPJK Antibody (9B3L6) [NBP3-16326] - Immunohistochemistry of paraffin-embedded human lung squamous carcinoma tissue using csl/RBPJK Rabbit mAb (NBP3-16326) at dilution of 1:50 (40x lens).Perform high pressure antigen retrieval with 10 mM citrate buffer pH 6.0 before commencing with IHC staining protocol.
Immunohistochemistry-Paraffin: csl/RBPJK Antibody (9B3L6) [NBP3-16326]

Immunohistochemistry-Paraffin: csl/RBPJK Antibody (9B3L6) [NBP3-16326]

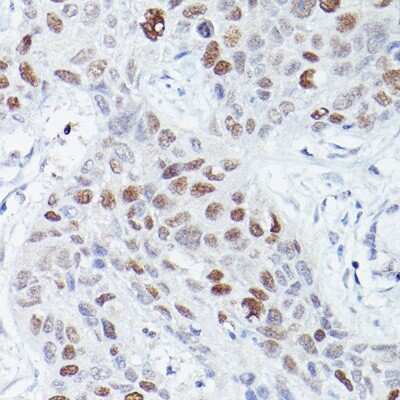
Immunohistochemistry-Paraffin: csl/RBPJK Antibody (9B3L6) [NBP3-16326] - Immunohistochemistry of paraffin-embedded human colon carcinoma using csl/RBPJK Rabbit mAb (NBP3-16326) at dilution of 1:50 (40x lens).Perform high pressure antigen retrieval with 10 mM citrate buffer pH 6.0 before commencing with IHC staining protocol.

Applications for csl/RBPJK Antibody (9B3L6)

Application
Recommended Usage

Immunohistochemistry

1:50 - 1:200

Western Blot

1:500 - 1:2000

Formulation, Preparation, and Storage

Purification

Affinity purified

Formulation

PBS (pH 7.3), 50% glycerol, 0.05% BSA

Preservative

0.02% Sodium Azide

Concentration

Please see the vial label for concentration. If unlisted please contact technical services.

Shipping

The product is shipped with polar packs. Upon receipt, store it immediately at the temperature recommended below.

Stability & Storage

Store at -20C. Avoid freeze-thaw cycles.

Background: CSL

Transcriptional regulator that plays a central role in Notch signaling, a signaling pathway involved in cell-cell communication that regulates a broad spectrum of cell-fate. determinations. Acts as a transcriptional repressor when it is not associated with Notch proteins. When associated with some Notch protein, it acts as a transcriptional activator that activates transcription of Notch target genes. Probably represses or activates transcription via the recruitment of chromatin remodeling complexes containing histone deacetylase or histone acetylase proteins, respectively. Specifically binds to the immunoglobulin kappa-type J segment recombination signal sequence

Long Name

Recombining Binding Protein Supressor of Hairless [CBF1, CSL]

Alternate Names

CBF1, IGKJRB1, KBF2, RBP-JK, RBPJ, RBPSUH

Gene Symbol

RBPJ

Additional CSL Products

Product Documents for csl/RBPJK Antibody (9B3L6)

Certificate of Analysis

To download a Certificate of Analysis, please enter a lot number in the search box below.

Product Specific Notices for csl/RBPJK Antibody (9B3L6)

This product is for research use only and is not approved for use in humans or in clinical diagnosis. Primary Antibodies are guaranteed for 1 year from date of receipt.

Loading...
Loading...
Loading...
Loading...