Skip to main content

COX15 Antibody - BSA Free

Novus Biologicals, part of Bio-Techne | Catalog # NBP3-35454

Novus Biologicals, part of Bio-Techne
Catalog #
Availability
Size / Price
Qty
Loading...
NBP3-35454-20ul
NBP3-35454-100ul

Key Product Details

Species Reactivity

Human, Mouse, Rat

Applications

Immunohistochemistry, Immunohistochemistry-Paraffin, Western Blot, ELISA, Immunocytochemistry/ Immunofluorescence

Label

Unconjugated

Antibody Source

Polyclonal Rabbit IgG

Format

BSA Free

Concentration

Please see the vial label for concentration. If unlisted please contact technical services.

Product Specifications

Immunogen

A synthetic peptide corresponding to a sequence within amino acids 150-250 of human COX15 (NP_510870.1).

Sequence:
YSHRMWGRLVGLVYILPAAYFWRKGWLSRGMKGRVLALCGLVCFQGLLGWYMVKSGLEEKSDSHDIPRVSQYRLAAHLGSALVLYCASLWTSLSLLLPPHK

Clonality

Polyclonal

Host

Rabbit

Isotype

IgG

Theoretical MW

46 kDa.
Disclaimer note: The observed molecular weight of the protein may vary from the listed predicted molecular weight due to post translational modifications, post translation cleavages, relative charges, and other experimental factors.

Description

Novus Biologicals Rabbit COX15 Antibody - BSA Free (NBP3-35454) is a polyclonal antibody validated for use in IHC, WB, ELISA and ICC/IF. All Novus Biologicals antibodies are covered by our 100% guarantee.

Scientific Data Images for COX15 Antibody - BSA Free

COX15 Antibody

Western Blot: COX15 Antibody [NBP3-35454] -

Western Blot: COX15 Antibody [NBP3-35454] - Western blot analysis of various lysates using COX15 Rabbit pAb at 1:1000 dilution.
Secondary antibody: HRP-conjugated Goat anti-Rabbit IgG (H+L) at 1:10000 dilution.
Lysates/proteins: 25ug per lane.
Blocking buffer: 3% nonfat dry milk in TBST.
Detection: ECL Basic Kit.
Exposure time: 5s.
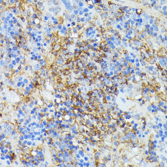
COX15 Antibody

Immunohistochemistry: COX15 Antibody [NBP3-35454] -

Immunohistochemistry: COX15 Antibody [NBP3-35454] - Immunohistochemistry analysis of paraffin-embedded Rat spleen using COX15 Rabbit pAb at dilution of 1:100 (40x lens). Microwave antigen retrieval performed with 0.01M PBS Buffer (pH 7.2) prior to IHC staining.
COX15 Antibody

Immunohistochemistry: COX15 Antibody [NBP3-35454] -

Immunohistochemistry: COX15 Antibody [NBP3-35454] - Immunohistochemistry analysis of paraffin-embedded Human thyroid cancer using COX15 Rabbit pAb at dilution of 1:100 (40x lens). Microwave antigen retrieval performed with 0.01M PBS Buffer (pH 7.2) prior to IHC staining.

Applications for COX15 Antibody - BSA Free

Application
Recommended Usage

Immunocytochemistry/ Immunofluorescence

1:50 - 1:100

Immunohistochemistry-Paraffin

1:50 - 1:100

Western Blot

1:500 - 1:2000

Formulation, Preparation, and Storage

Purification

Affinity purified

Formulation

PBS (pH 7.3), 50% glycerol

Format

BSA Free

Preservative

0.01% Thimerosal

Concentration

Please see the vial label for concentration. If unlisted please contact technical services.

Shipping

The product is shipped with polar packs. Upon receipt, store it immediately at the temperature recommended below.

Stability & Storage

Store at -20C. Avoid freeze-thaw cycles.

Background: COX15

Alternate Names

COX15 (yeast) homolog, cytochrome c oxidase assembly protein, COX15 homolog, cytochrome c oxidase assembly protein (yeast), cytochrome c oxidase assembly protein COX15 homolog, cytochrome c oxidase subunit 15, EC 1.4.4.2, EC 3.1.3.5

Gene Symbol

COX15

Additional COX15 Products

Product Documents for COX15 Antibody - BSA Free

Certificate of Analysis

To download a Certificate of Analysis, please enter a lot number in the search box below.

Product Specific Notices for COX15 Antibody - BSA Free

This product is for research use only and is not approved for use in humans or in clinical diagnosis. Primary Antibodies are guaranteed for 1 year from date of receipt.

Loading...
Loading...
Loading...
Loading...