Skip to main content

Key Product Details

Species Reactivity

Validated:

Virus

Cited:

Virus

Applications

Validated:

Immunohistochemistry, Immunohistochemistry-Paraffin, Immunohistochemistry-Frozen, Western Blot, ELISA, Flow Cytometry

Cited:

Western Blot, Immunocytochemistry/ Immunofluorescence

Label

Unconjugated

Antibody Source

Monoclonal Mouse IgG2A Clone # FIPV3-70

Format

BSA Free

Concentration

1.0 mg/ml

Product Specifications

Immunogen

Coronavirus cocktail

Specificity

NB100-64754 reacts with feline infectious peritonitis virus (FIPV) type 1 and 2 and is known to be specific for the nucleocapsid. It is also known to react with canine coronavirus (CCV), pig coronavirus transmissible gastroenteritis virus (TGEV) and ferret coronavirus. Some specific activity has been detected against bovine coronavirus (BCV). Clone FIPV3-70 exhibits negative reactivity against Feline Leukemia virus, Feline Immunodeficiency virus, Feline Calcivirus, Feline Herpes virus, Canine Adenovirus (type 2), Canine Distemper virus, Canine Parvovirus and Canine Parainfluenza virus.

Clonality

Monoclonal

Host

Mouse

Isotype

IgG2A

Description

Novus Biologicals Mouse Coronavirus Antibody (FIPV3-70) - BSA Free (NB100-64754) is a monoclonal antibody validated for use in IHC, WB, ELISA, Flow and ICC/IF. Anti-Coronavirus Antibody: Cited in 3 publications. All Novus Biologicals antibodies are covered by our 100% guarantee.

Scientific Data Images for Coronavirus Antibody (FIPV3-70) - BSA Free

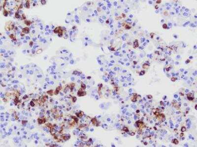
Immunohistochemistry-Paraffin: Coronavirus Antibody (FIPV3-70) - BSA Free [NB100-64754]

Immunohistochemistry-Paraffin: Coronavirus Antibody (FIPV3-70) - BSA Free [NB100-64754]

Immunohistochemistry-Paraffin: Coronavirus Antibody (FIPV3-70) [NB100-64754] - FIP immunoreactivity in feline lung. Primary antibody used at 1:400 dilution and incubated with tissue sections for 30 minutes at room temperature. IHC-P image submitted by a verified customer review.

Applications for Coronavirus Antibody (FIPV3-70) - BSA Free

Application
Recommended Usage

ELISA

1:100-1:2000

Flow Cytometry

1:10-1:1000

Immunohistochemistry

1:10-1:500

Immunohistochemistry-Frozen

1:10-1:500

Immunohistochemistry-Paraffin

1:10-1:500

Western Blot

1:100-1:2000
Application Notes
This product requires antigen retrieval using heat treatment prior to staining of paraffin sections. Sodium citrate buffer pH 6.0 is recommended for this purpose.

Reviewed Applications

Read 1 review rated 5 using NB100-64754 in the following applications:

Formulation, Preparation, and Storage

Purification

Protein A purified

Formulation

PBS

Format

BSA Free

Preservative

<0.1% Sodium Azide

Concentration

1.0 mg/ml

Shipping

The product is shipped with polar packs. Upon receipt, store it immediately at the temperature recommended below.

Stability & Storage

Store at 4C short term. Aliquot and store at -20C long term. Avoid freeze-thaw cycles.

Background: Coronavirus

Alternate Names

Coronaviridae

Additional Coronavirus Products

Product Documents for Coronavirus Antibody (FIPV3-70) - BSA Free

Certificate of Analysis

To download a Certificate of Analysis, please enter a lot number in the search box below.

Product Specific Notices for Coronavirus Antibody (FIPV3-70) - BSA Free

This product is for research use only and is not approved for use in humans or in clinical diagnosis. Primary Antibodies are guaranteed for 1 year from date of receipt.

Loading...
Loading...
Loading...
Loading...
Loading...
Loading...