Connexin 50/GJA8 Antibody - BSA Free
Novus Biologicals, part of Bio-Techne | Catalog # NBP2-68589
Key Product Details
Validated by
Independent Antibodies
Species Reactivity
Human
Applications
Immunohistochemistry, Immunohistochemistry-Paraffin
Label
Unconjugated
Antibody Source
Polyclonal Rabbit IgG
Format
BSA Free
Concentration
Concentrations vary lot to lot. See vial label for concentration. If unlisted please contact technical services.
Product Specifications
Immunogen
This antibody was developed against a recombinant protein corresponding to amino acids: SLHSIAVSSIQKAKGYQLLEEEKIVSHYFPLTEVGMVETSPLPAKPFNQFEEKISTGPLGDLSRGYQETLPSYAQVGAQEVEGEGPPAEEGAEPEVGEKKEEAERLTTEEQEKVAVPEGEKVETPGVDKEGEKEEPQSEKVSKQGLP
Reactivity Notes
Mouse 81%, Rat 82%
Clonality
Polyclonal
Host
Rabbit
Isotype
IgG
Description
Novus Biologicals Rabbit Connexin 50/GJA8 Antibody - BSA Free (NBP2-68589) is a polyclonal antibody validated for use in IHC. All Novus Biologicals antibodies are covered by our 100% guarantee.
Scientific Data Images for Connexin 50/GJA8 Antibody - BSA Free
Immunohistochemistry-Paraffin: Connexin 50/GJA8 Antibody [NBP2-68589]
Immunohistochemistry-Paraffin: Connexin 50/GJA8 Antibody [NBP2-68589] - Staining of human kidney.Immunohistochemistry: Connexin 50/GJA8 Antibody [NBP2-68589]
Immunohistochemistry: Connexin 50/GJA8 Antibody [NBP2-68589] - Immunohistochemical staining of human eye shows strong positivity in lens.Immunohistochemistry-Paraffin: Connexin 50/GJA8 Antibody [NBP2-68589]
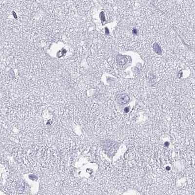
Immunohistochemistry-Paraffin: Connexin 50/GJA8 Antibody [NBP2-68589] - Staining of human cerebral cortex, eye, kidney and testis using Anti-GJA8 antibody NBP2-68589 (A) shows similar protein distribution across tissues to independent antibody NBP2-68799 (B).Applications for Connexin 50/GJA8 Antibody - BSA Free
Application
Recommended Usage
Immunohistochemistry
1:50 - 1:200
Immunohistochemistry-Paraffin
1:50 - 1:200
Application Notes
Recommended conditions for IHC,Retrieval method: HIER pH6
Formulation, Preparation, and Storage
Purification
Affinity purified
Formulation
PBS (pH 7.2) and 40% Glycerol
Format
BSA Free
Preservative
0.02% Sodium Azide
Concentration
Concentrations vary lot to lot. See vial label for concentration. If unlisted please contact technical services.
Shipping
The product is shipped with polar packs. Upon receipt, store it immediately at the temperature recommended below.
Stability & Storage
Store at 4C short term. Aliquot and store at -20C long term. Avoid freeze-thaw cycles.
Background: Connexin 50/GJA8
Alternate Names
CAE1, CX50, CZP1, GJA8, MP70
Gene Symbol
GJA8
Additional Connexin 50/GJA8 Products
Product Documents for Connexin 50/GJA8 Antibody - BSA Free
Product Specific Notices for Connexin 50/GJA8 Antibody - BSA Free
This product is for research use only and is not approved for use in humans or in clinical diagnosis. Primary Antibodies are guaranteed for 1 year from date of receipt.
Loading...
Loading...
Loading...
Loading...