Skip to main content

Collagen XII alpha1 Antibody - BSA Free

Novus Biologicals, part of Bio-Techne | Catalog # NBP1-88062

Novus Biologicals, part of Bio-Techne
Catalog #
Availability
Size / Price
Qty
Loading...
NBP1-88062
NBP1-88062-25ul

Key Product Details

Species Reactivity

Validated:

Human

Cited:

Human

Applications

Validated:

Immunohistochemistry, Immunohistochemistry-Paraffin

Cited:

Western Blot, Immunocytochemistry, Immunocytochemistry/ Immunofluorescence, PCR

Label

Unconjugated

Antibody Source

Polyclonal Rabbit IgG

Format

BSA Free

Concentration

Concentrations vary lot to lot. See vial label for concentration. If unlisted please contact technical services.

Product Specifications

Immunogen

This antibody was developed against Recombinant Protein corresponding to amino acids: VTTPPNQRRRTLENLIPDTKYEVSVIPEYFSGPGTPLTGNAATEEVRGNPRDLRVSDPTTSTMKLSWSGAPGKVKQYLVTYTPVAGGETQEVTVRGDTTNTVLQGLKEGTQYALSVTALYASGAG

Reactivity Notes

Immunogen displays the following percentage of sequence identity for non-tested species: Mouse (86%), Rat (86%)

Clonality

Polyclonal

Host

Rabbit

Isotype

IgG

Scientific Data Images for Collagen XII alpha1 Antibody - BSA Free

Collagen XII alpha1 Antibody - BSA Free Immunohistochemistry-Paraffin: Collagen XII alpha1 Antibody - BSA Free [NBP1-88062]

Immunohistochemistry-Paraffin: Collagen XII alpha1 Antibody - BSA Free [NBP1-88062]

Staining of human colon shows moderate cytoplasmic positivity in smooth muscle and glandular cells.
Collagen XII alpha1 Antibody - BSA Free Immunohistochemistry-Paraffin: Collagen XII alpha1 Antibody - BSA Free [NBP1-88062]

Immunohistochemistry-Paraffin: Collagen XII alpha1 Antibody - BSA Free [NBP1-88062]

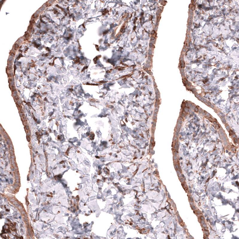
Staining of human fallopian tube shows moderate cytoplasmic positivity in glandular cells.
Collagen XII alpha1 Antibody - BSA Free Immunohistochemistry-Paraffin: Collagen XII alpha1 Antibody - BSA Free [NBP1-88062]

Immunohistochemistry-Paraffin: Collagen XII alpha1 Antibody - BSA Free [NBP1-88062]

Staining of human testis shows moderate cytoplasmic positivity in cells in seminiferous ducts.

Applications for Collagen XII alpha1 Antibody - BSA Free

Application
Recommended Usage

Immunohistochemistry

1:20 - 1:50

Immunohistochemistry-Paraffin

1:20 - 1:50
Application Notes
IHC-P, HIER pH6 retrieval is recommended.

Reviewed Applications

Read 1 review rated 4 using NBP1-88062 in the following applications:

Formulation, Preparation, and Storage

Purification

Affinity purified

Formulation

PBS (pH 7.2) and 40% Glycerol

Format

BSA Free

Preservative

0.02% Sodium Azide

Concentration

Concentrations vary lot to lot. See vial label for concentration. If unlisted please contact technical services.

Shipping

The product is shipped with polar packs. Upon receipt, store it immediately at the temperature recommended below.

Stability & Storage

Store at 4C short term. Aliquot and store at -20C long term. Avoid freeze-thaw cycles.

Background: Collagen XII alpha1

Alternate Names

BA209D8.1, COL12A1L, collagen alpha-1(XII) chain, collagen type XII proteoglycan, collagen, type XII, alpha 1, DJ234P15.1, type XII, alpha 1-like

Gene Symbol

COL12A1

Additional Collagen XII alpha1 Products

Product Documents for Collagen XII alpha1 Antibody - BSA Free

Certificate of Analysis

To download a Certificate of Analysis, please enter a lot number in the search box below.

Product Specific Notices for Collagen XII alpha1 Antibody - BSA Free

This product is for research use only and is not approved for use in humans or in clinical diagnosis. Primary Antibodies are guaranteed for 1 year from date of receipt.

Loading...
Loading...
Loading...
Loading...