Skip to main content

Cofilin Antibody - BSA Free

Novus Biologicals, part of Bio-Techne | Catalog # NBP3-24754

Novus Biologicals, part of Bio-Techne
Catalog #
Availability
Size / Price
Qty
Loading...
NBP3-24754

Key Product Details

Species Reactivity

Validated:

Human

Predicted:

Mouse (96%), Rat (100%). Backed by our 100% Guarantee.

Applications

Western Blot, Immunocytochemistry/ Immunofluorescence

Label

Unconjugated

Antibody Source

Polyclonal Rabbit IgG

Format

BSA Free

Concentration

Concentrations vary lot to lot. See vial label for concentration. If unlisted please contact technical services.

Product Specifications

Immunogen

This antibody has been engineered to specifically recognize the recombinant protein Cofilin using the following amino acid sequence: FWAPESAPLKSKMIYASSKDAIKKKL

Clonality

Polyclonal

Host

Rabbit

Isotype

IgG

Description

Novus Biologicals Rabbit Cofilin Antibody - BSA Free (NBP3-24754) is a polyclonal antibody validated for use in WB and ICC/IF. All Novus Biologicals antibodies are covered by our 100% guarantee.

Scientific Data Images for Cofilin Antibody - BSA Free

Cofilin Antibody Immunocytochemistry/Immunofluorescence: Cofilin Antibody [NBP3-24754]

Immunocytochemistry/Immunofluorescence: Cofilin Antibody [NBP3-24754]

Staining of human cell line OE19 shows localization to plasma membrane.
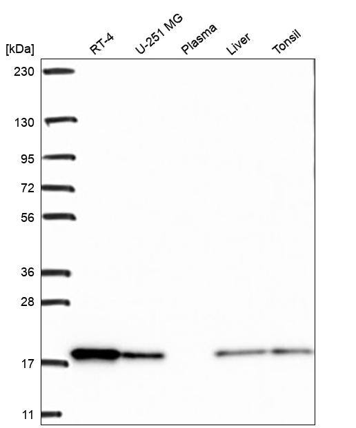
Cofilin Antibody Western Blot: Cofilin Antibody [NBP3-24754]

Western Blot: Cofilin Antibody [NBP3-24754]

Analysis in human cell line RT-4, human cell line U-251 MG, human plasma, human liver tissue and human tonsil tissue.

Applications for Cofilin Antibody - BSA Free

Application
Recommended Usage

Immunocytochemistry/ Immunofluorescence

0.25-2 µg/ml

Western Blot

0.04-0.4 µg/ml
Application Notes
For ICC/IF, we recommend using a combination of PFA and Triton X-100. This will give you the optimal results for your experiments.

Formulation, Preparation, and Storage

Purification

Affinity purified

Formulation

PBS (pH 7.2) and 40% Glycerol

Format

BSA Free

Preservative

0.02% Sodium Azide

Concentration

Concentrations vary lot to lot. See vial label for concentration. If unlisted please contact technical services.

Shipping

The product is shipped with polar packs. Upon receipt, store it immediately at the temperature recommended below.

Stability & Storage

Store at 4C short term. Aliquot and store at -20C long term. Avoid freeze-thaw cycles.

Background: CFL1

Cofilin is a widely distributed intracellular actin-modulating protein that binds and depolymerizes filamentous F-actin and inhibits the polymerization of monomeric G-actin in a pH-dependent manner. It is involved in the translocation of actin-cofilin complex from cytoplasm to nucleus.[supplied by OMIM]

Long Name

cofilin 1

Alternate Names

CFL, cofilin, cofilin-1, HEL-S-15

Gene Symbol

CFL1

Additional CFL1 Products

Product Documents for Cofilin Antibody - BSA Free

Certificate of Analysis

To download a Certificate of Analysis, please enter a lot number in the search box below.

Product Specific Notices for Cofilin Antibody - BSA Free

This product is for research use only and is not approved for use in humans or in clinical diagnosis. Primary Antibodies are guaranteed for 1 year from date of receipt.

Loading...
Loading...
Loading...
Loading...