Skip to main content

CLIP4 Antibody - BSA Free

Novus Biologicals, part of Bio-Techne | Catalog # NBP1-91793

Novus Biologicals, part of Bio-Techne
Catalog #
Availability
Size / Price
Qty
Loading...
NBP1-91793
NBP1-91793-25ul

Key Product Details

Species Reactivity

Human

Applications

Immunohistochemistry, Immunohistochemistry-Paraffin, Western Blot, Immunocytochemistry/ Immunofluorescence

Label

Unconjugated

Antibody Source

Polyclonal Rabbit IgG

Format

BSA Free

Concentration

Concentrations vary lot to lot. See vial label for concentration. If unlisted please contact technical services.

Product Specifications

Immunogen

This antibody was developed against Recombinant Protein corresponding to amino acids: TIEDLPDFPLEGNPLFGRYPFIFSASDTPVIFSISAAPMPSDCEFSFFDPNDASCQEIL

Reactivity Notes

Immunogen displays the following percentage of sequence identity for non-tested species: Mouse (86%), Rat (86%)

Clonality

Polyclonal

Host

Rabbit

Isotype

IgG

Scientific Data Images for CLIP4 Antibody - BSA Free

Western Blot: CLIP4 Antibody [NBP1-91793]

Western Blot: CLIP4 Antibody [NBP1-91793]

Western Blot: CLIP4 Antibody [NBP1-91793] - Analysis in human cell line A-431.
Immunocytochemistry/ Immunofluorescence: CLIP4 Antibody [NBP1-91793]

Immunocytochemistry/ Immunofluorescence: CLIP4 Antibody [NBP1-91793]

Immunocytochemistry/Immunofluorescence: CLIP4 Antibody [NBP1-91793] - Immunofluorescent staining of human cell line U-2 OS shows localization to vesicles.
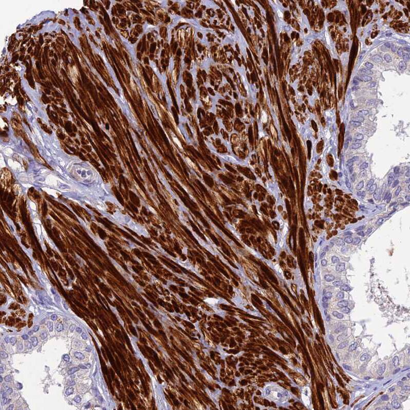
Immunohistochemistry-Paraffin: CLIP4 Antibody [NBP1-91793]

Immunohistochemistry-Paraffin: CLIP4 Antibody [NBP1-91793]

Immunohistochemistry-Paraffin: CLIP4 Antibody [NBP1-91793] - Staining of human smooth muscle shows strong cytoplasmic positivity in smooth muscle cells.

Applications for CLIP4 Antibody - BSA Free

Application
Recommended Usage

Immunocytochemistry/ Immunofluorescence

0.25-2 ug/ml

Immunohistochemistry

1:20 - 1:50

Immunohistochemistry-Paraffin

1:20 - 1:50

Western Blot

0.04-0.4 ug/ml
Application Notes
For IHC-Paraffin, HIER pH 6 retrieval is recommended. Immunocytochemistry/Immunofluorescence Fixation Permeabilization: Use PFA/Triton X-100.

Formulation, Preparation, and Storage

Purification

Affinity purified

Formulation

PBS (pH 7.2) and 40% Glycerol

Format

BSA Free

Preservative

0.02% Sodium Azide

Concentration

Concentrations vary lot to lot. See vial label for concentration. If unlisted please contact technical services.

Shipping

The product is shipped with polar packs. Upon receipt, store it immediately at the temperature recommended below.

Stability & Storage

Store at 4C short term. Aliquot and store at -20C long term. Avoid freeze-thaw cycles.

Background: CLIP4

Alternate Names

CAP-GLY domain containing linker protein family, member 4, CAP-Gly domain-containing linker protein 4, FLJ21069, FLJ32705, restin-like 2, Restin-like protein 2, RSNL2

Gene Symbol

CLIP4

Additional CLIP4 Products

Product Documents for CLIP4 Antibody - BSA Free

Certificate of Analysis

To download a Certificate of Analysis, please enter a lot number in the search box below.

Product Specific Notices for CLIP4 Antibody - BSA Free

This product is for research use only and is not approved for use in humans or in clinical diagnosis. Primary Antibodies are guaranteed for 1 year from date of receipt.

Loading...
Loading...
Loading...
Loading...