CLGN Antibody - BSA Free
Novus Biologicals, part of Bio-Techne | Catalog # NBP2-49288
Key Product Details
Validated by
Orthogonal Validation
Species Reactivity
Human
Applications
Immunohistochemistry, Immunohistochemistry-Paraffin
Label
Unconjugated
Antibody Source
Polyclonal Rabbit IgG
Format
BSA Free
Concentration
Concentrations vary lot to lot. See vial label for concentration. If unlisted please contact technical services.
Product Specifications
Immunogen
This antibody was developed against a recombinant protein corresponding to amino acids: QTKGVLEQEEKEEKAALEKPMDLEEEKKQNDGEML
Clonality
Polyclonal
Host
Rabbit
Isotype
IgG
Description
Novus Biologicals Rabbit CLGN Antibody - BSA Free (NBP2-49288) is a polyclonal antibody validated for use in IHC. All Novus Biologicals antibodies are covered by our 100% guarantee.
Scientific Data Images for CLGN Antibody - BSA Free
Immunohistochemistry-Paraffin: CLGN Antibody [NBP2-49288]
Immunohistochemistry-Paraffin: CLGN Antibody [NBP2-49288] - Staining of human skeletal muscle shows low expression as expected.Immunohistochemistry: CLGN Antibody [NBP2-49288]
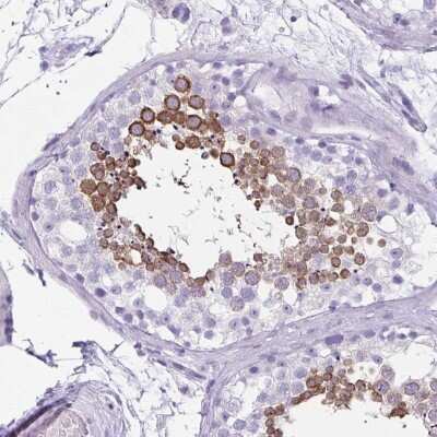
Immunohistochemistry: CLGN Antibody [NBP2-49288] - Staining of human testis shows strong cytoplasmic positivity in subset of cells in seminiferous ducts.Applications for CLGN Antibody - BSA Free
Application
Recommended Usage
Immunohistochemistry
1:50 - 1:200
Immunohistochemistry-Paraffin
1:50 - 1:200
Application Notes
For IHC-Paraffin, HIER pH 6 retrieval is recommended.
Formulation, Preparation, and Storage
Purification
Affinity purified
Formulation
PBS (pH 7.2) and 40% Glycerol
Format
BSA Free
Preservative
0.02% Sodium Azide
Concentration
Concentrations vary lot to lot. See vial label for concentration. If unlisted please contact technical services.
Shipping
The product is shipped with polar packs. Upon receipt, store it immediately at the temperature recommended below.
Stability & Storage
Store at 4C short term. Aliquot and store at -20C long term. Avoid freeze-thaw cycles.
Background: CLGN
Alternate Names
calmegin
Gene Symbol
CLGN
Additional CLGN Products
Product Documents for CLGN Antibody - BSA Free
Product Specific Notices for CLGN Antibody - BSA Free
This product is for research use only and is not approved for use in humans or in clinical diagnosis. Primary Antibodies are guaranteed for 1 year from date of receipt.
Loading...
Loading...
Loading...
Loading...