Skip to main content

CLGN Antibody (9C8G10) - BSA Free

Novus Biologicals, part of Bio-Techne | Catalog # NBP2-37395

Novus Biologicals, part of Bio-Techne
Catalog #
Availability
Size / Price
Qty
Loading...
NBP2-37395-0.025ml
NBP2-37395

Key Product Details

Species Reactivity

Human

Applications

Immunohistochemistry, Immunohistochemistry-Paraffin, Western Blot, ELISA, Immunocytochemistry/ Immunofluorescence

Label

Unconjugated

Antibody Source

Monoclonal Mouse IgG1 Clone # 9C8G10

Format

BSA Free

Concentration

1 mg/ml

Product Specifications

Immunogen

Purified recombinant fragment of human CLGN (AA: 249-405) expressed in E. Coli.

Clonality

Monoclonal

Host

Mouse

Isotype

IgG1

Theoretical MW

70 kDa.
Disclaimer note: The observed molecular weight of the protein may vary from the listed predicted molecular weight due to post translational modifications, post translation cleavages, relative charges, and other experimental factors.

Description

Novus Biologicals Mouse CLGN Antibody (9C8G10) - BSA Free (NBP2-37395) is a monoclonal antibody validated for use in IHC, WB, ELISA and ICC/IF. All Novus Biologicals antibodies are covered by our 100% guarantee.

Scientific Data Images for CLGN Antibody (9C8G10) - BSA Free

Western Blot: CLGN Antibody (9C8G10)BSA Free [NBP2-37395]

Western Blot: CLGN Antibody (9C8G10)BSA Free [NBP2-37395]

Western Blot: CLGN Antibody (9C8G10) [NBP2-37395] - Western blot analysis using CLGN mouse mAb against LNCaP (1), HepG2 (2), PC-3 (3), and Raji (4) cell lysate.
Immunocytochemistry/ Immunofluorescence: CLGN Antibody (9C8G10) - BSA Free [NBP2-37395]

Immunocytochemistry/ Immunofluorescence: CLGN Antibody (9C8G10) - BSA Free [NBP2-37395]

Immunocytochemistry/Immunofluorescence: CLGN Antibody (9C8G10) [NBP2-37395] - Immunofluorescence analysis of HepG2 cells using CLGN mouse mAb (green). Blue: DRAQ5 fluorescent DNA dye.
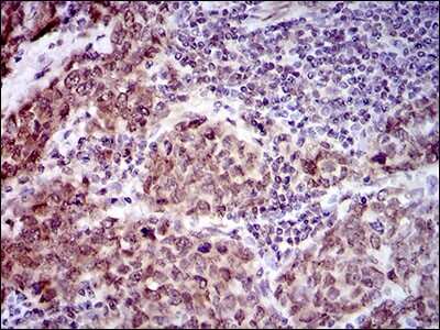
Immunohistochemistry: CLGN Antibody (9C8G10) - BSA Free [NBP2-37395]

Immunohistochemistry: CLGN Antibody (9C8G10) - BSA Free [NBP2-37395]

Immunohistochemistry: CLGN Antibody (9C8G10) [NBP2-37395] - Immunohistochemical analysis of paraffin-embedded esophageal cancer tissues using CLGN mouse mAb with DAB staining.

Applications for CLGN Antibody (9C8G10) - BSA Free

Application
Recommended Usage

ELISA

1:10000

Immunocytochemistry/ Immunofluorescence

1:75

Immunohistochemistry

1:200 - 1:1000

Immunohistochemistry-Paraffin

1:200 - 1:1000

Western Blot

1:500 - 1:2000

Formulation, Preparation, and Storage

Purification

Protein G purified

Formulation

PBS

Format

BSA Free

Preservative

0.05% Sodium Azide

Concentration

1 mg/ml

Shipping

The product is shipped with polar packs. Upon receipt, store it immediately at the temperature recommended below.

Stability & Storage

Store at 4C short term. Aliquot and store at -20C long term. Avoid freeze-thaw cycles.

Background: CLGN

Calmegin is a testis-specific endoplasmic reticulum chaperone protein. CLGN may play a role in spermatogeneisis and infertility. [provided by RefSeq]

Alternate Names

calmegin

Gene Symbol

CLGN

Additional CLGN Products

Product Documents for CLGN Antibody (9C8G10) - BSA Free

Certificate of Analysis

To download a Certificate of Analysis, please enter a lot number in the search box below.

Product Specific Notices for CLGN Antibody (9C8G10) - BSA Free

This product is for research use only and is not approved for use in humans or in clinical diagnosis. Primary Antibodies are guaranteed for 1 year from date of receipt.

Loading...
Loading...
Loading...
Loading...