Skip to main content

CLEC2L Antibody - BSA Free

Novus Biologicals, part of Bio-Techne | Catalog # NBP1-93861

Novus Biologicals, part of Bio-Techne
Catalog #
Availability
Size / Price
Qty
Loading...
NBP1-93861
NBP1-93861-25ul

Key Product Details

Validated by

Orthogonal Validation

Species Reactivity

Validated:

Human

Predicted:

Mouse (95%), Rat (95%). Backed by our 100% Guarantee.

Applications

Immunohistochemistry, Immunohistochemistry-Paraffin

Label

Unconjugated

Antibody Source

Polyclonal Rabbit IgG

Format

BSA Free

Concentration

Concentrations vary lot to lot. See vial label for concentration. If unlisted please contact technical services.

Product Specifications

Immunogen

This antibody was developed against Recombinant Protein corresponding to amino acids: PEDWLLYGRKCYFFSEEPRDWNTGRQYCHTHEAVLAVIQSQKELEFMFKFTRREPWIGLRRVGDEFHWVNGDPFDPDTFTIAGPGECVFVEP

Clonality

Polyclonal

Host

Rabbit

Isotype

IgG

Description

Novus Biologicals Rabbit CLEC2L Antibody - BSA Free (NBP1-93861) is a polyclonal antibody validated for use in IHC. All Novus Biologicals antibodies are covered by our 100% guarantee.

Scientific Data Images for CLEC2L Antibody - BSA Free

CLEC2L Antibody

Immunohistochemistry-Paraffin: CLEC2L Antibody [NBP1-93861] -

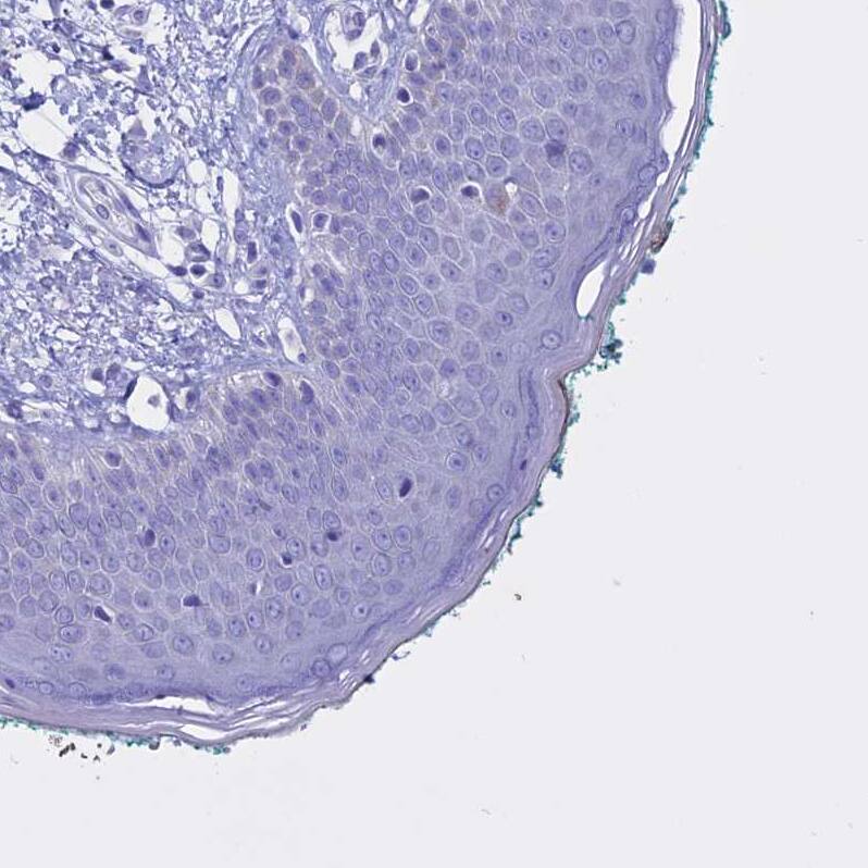
Immunohistochemistry-Paraffin: CLEC2L Antibody [NBP1-93861] - Analysis in human cerebral cortex and skin tissues using NBP1-93861 antibody. Corresponding CLEC2L RNA-seq data are presented for the same tissues.
Immunohistochemistry-Paraffin: CLEC2L Antibody [NBP1-93861]

Immunohistochemistry-Paraffin: CLEC2L Antibody [NBP1-93861]

Immunohistochemistry-Paraffin: CLEC2L Antibody [NBP1-93861] - Staining of human cerebellum shows strong cytoplasmic positivity in Purkinje cells.
Immunohistochemistry-Paraffin: CLEC2L Antibody [NBP1-93861]

Immunohistochemistry-Paraffin: CLEC2L Antibody [NBP1-93861]

Immunohistochemistry-Paraffin: CLEC2L Antibody [NBP1-93861] - Staining of human cerebral cortex shows high expression.

Applications for CLEC2L Antibody - BSA Free

Application
Recommended Usage

Immunohistochemistry

1:20 - 1:50

Immunohistochemistry-Paraffin

1:20 - 1:50
Application Notes
For IHC-Paraffin, HIER pH 6 retrieval is recommended.

Formulation, Preparation, and Storage

Purification

Affinity purified

Formulation

PBS (pH 7.2) and 40% Glycerol

Format

BSA Free

Preservative

0.02% Sodium Azide

Concentration

Concentrations vary lot to lot. See vial label for concentration. If unlisted please contact technical services.

Shipping

The product is shipped with polar packs. Upon receipt, store it immediately at the temperature recommended below.

Stability & Storage

Store at 4C short term. Aliquot and store at -20C long term. Avoid freeze-thaw cycles.

Background: CLEC2L

C-type lectin-like domain-containing family members constitute a large and diverse group of extracellular proteins. With the exception of CLEC1A (CLEC1) and CLEC1B (CLEC2), CLEC proteins contain a characteristic double loop structure, with the second loop mediating calcium-dependent carbohydrate binding.

Long Name

C-type Lectin Domain Family 2, Member L

Alternate Names

C-type lectin domain family 2 member L, C-type lectin domain family 2, member L

Gene Symbol

CLEC2L

Additional CLEC2L Products

Product Documents for CLEC2L Antibody - BSA Free

Certificate of Analysis

To download a Certificate of Analysis, please enter a lot number in the search box below.

Product Specific Notices for CLEC2L Antibody - BSA Free

This product is for research use only and is not approved for use in humans or in clinical diagnosis. Primary Antibodies are guaranteed for 1 year from date of receipt.

Loading...
Loading...
Loading...
Loading...