Skip to main content

Chorionic Gonadotropin alpha Chain (hCG alpha) Antibody (HCGa/2728R)

Novus Biologicals, part of Bio-Techne | Catalog # NBP3-13844

Recombinant Monoclonal Antibody
Novus Biologicals, part of Bio-Techne
Catalog #
Availability
Size / Price
Qty
Loading...
NBP3-13844-100ug
NBP3-13844-20ug

Key Product Details

Species Reactivity

Human

Applications

Immunohistochemistry-Paraffin

Label

Unconjugated

Antibody Source

Recombinant Monoclonal Rabbit IgG Kappa Clone # HCGa/2728R

Concentration

0.2 mg/ml

Product Specifications

Immunogen

Recombinant fragment (around aa1-100) of human Chorionic Gonadotropin alpha Chain (hCG alpha) protein (exact sequence is proprietary) (Uniprot: P01215)

Localization

Cytoplasmic, secreted

Marker

Pregnancy & Choriocarcinoma Marker

Clonality

Monoclonal

Host

Rabbit

Isotype

IgG Kappa

Theoretical MW

13 kDa.
Disclaimer note: The observed molecular weight of the protein may vary from the listed predicted molecular weight due to post translational modifications, post translation cleavages, relative charges, and other experimental factors.

Description

200ug/ml of antibody purified from Bioreactor Concentrate by Protein A or G. Prepared in 10 mM PBS with 0.05% BSA & 0.05% azide. Also available WITHOUT BSA & azide at 1.0 mg/ml. (NBP3-14273)

Antibody with azide - store at 2 to 8C. Antibody without azide - store at -20 to -80 C.

Scientific Data Images for Chorionic Gonadotropin alpha Chain (hCG alpha) Antibody (HCGa/2728R)

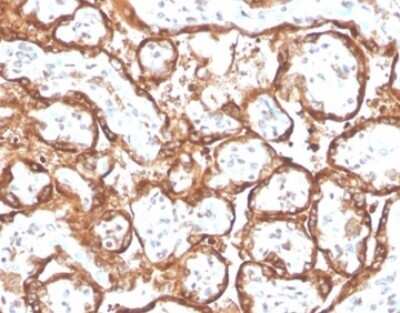
Immunohistochemistry-Paraffin: Chorionic Gonadotropin alpha Chain (hCG alpha) Antibody (HCGa/2728R) [NBP3-13844]

Immunohistochemistry-Paraffin: Chorionic Gonadotropin alpha Chain (hCG alpha) Antibody (HCGa/2728R) [NBP3-13844]

Immunohistochemistry-Paraffin: Chorionic Gonadotropin alpha Chain (hCG alpha) Antibody (HCGa/2728R) [NBP3-13844] - Formalin-fixed, paraffin-embedded human placenta stained with Chorionic Gonadotropin alpha Chain (hCG alpha) antibody (HCGa/2728R). Inset: PBS instead of primary antibody; secondary only negative control.
Immunohistochemistry-Paraffin: Chorionic Gonadotropin alpha Chain (hCG alpha) Antibody (HCGa/2728R) [NBP3-13844]

Immunohistochemistry-Paraffin: Chorionic Gonadotropin alpha Chain (hCG alpha) Antibody (HCGa/2728R) [NBP3-13844]

Immunohistochemistry-Paraffin: Chorionic Gonadotropin alpha Chain (hCG alpha) Antibody (HCGa/2728R) [NBP3-13844] - Formalin-fixed, paraffin-embedded human placenta stained with Chorionic Gonadotropin alpha Chain (hCG alpha) antibody (HCGa/2728R). HIER: Tris/EDTA, pH9.0, 45min. HRP-polymer, 30min. DAB, 5min.

Applications for Chorionic Gonadotropin alpha Chain (hCG alpha) Antibody (HCGa/2728R)

Application
Recommended Usage

Immunohistochemistry-Paraffin

1-2 ug/ml
Application Notes
Immunohistochemistry (Formalin-fixed): 1-2ug/ml for 30 minutes at RT. Staining of formalin-fixed tissues requires heating tissue sections in 10mM Tris with 1mM EDTA, pH 9.0, for 45 min at 95C followed by cooling at RT for 20 minutes

Formulation, Preparation, and Storage

Purification

Protein A or G purified

Formulation

10 mM PBS with 0.05% BSA

Preservative

0.05% Sodium Azide

Concentration

0.2 mg/ml

Shipping

The product is shipped with polar packs. Upon receipt, store it immediately at the temperature recommended below.

Stability & Storage

Store at 4C.

Background: Chorionic Gonadotropin alpha Chain (HCG alpha)

HCG is a glycoprotein hormone secreted in pregnancy by embryonic trophoblast cells during the first 7 weeks of gestation. Production subsequently shifts to the placenta, where it continues until term. HCG is a heterodimer consisting of an alpha chain and a beta chain. The alpha chain is common to several other hormones, including lutenizing hormone (LH), follicle stimulating hormone (FSH), and thyroid stimulating hormone (TSH), while the beta chain is unique to HCG. Both alpha and beta chains contain a cysteine knot motif, also found in growth factors such as TGF-beta family members.

Alternate Names

alpha HCG, CGA, FSHA, GPHa1, LHA, TSHA

Gene Symbol

CGA

UniProt

Additional Chorionic Gonadotropin alpha Chain (HCG alpha) Products

Product Documents for Chorionic Gonadotropin alpha Chain (hCG alpha) Antibody (HCGa/2728R)

Certificate of Analysis

To download a Certificate of Analysis, please enter a lot number in the search box below.

Product Specific Notices for Chorionic Gonadotropin alpha Chain (hCG alpha) Antibody (HCGa/2728R)

This product is for research use only and is not approved for use in humans or in clinical diagnosis. Primary Antibodies are guaranteed for 1 year from date of receipt.

Loading...
Loading...
Loading...
Loading...