Skip to main content

Chk2 Antibody (OTI5C4)

Novus Biologicals, part of Bio-Techne | Catalog # NBP1-47695

Novus Biologicals, part of Bio-Techne
Catalog #
Availability
Size / Price
Qty
Loading...
NBP1-47695

Key Product Details

Species Reactivity

Human, Mouse, Rat, Canine

Applications

Immunohistochemistry, Immunohistochemistry-Paraffin, Western Blot, Flow Cytometry, Immunocytochemistry/ Immunofluorescence, Immunoprecipitation

Label

Unconjugated

Antibody Source

Monoclonal Mouse IgG1 Clone # OTI5C4

Concentration

1.43 mg/ml

Product Specifications

Immunogen

Full length human recombinant protein of human CHEK2 (NP_009125) produced in HEK293T cell.

Reactivity Notes

Please note that this antibody is reactive to Mouse and derived from the same host, Mouse. Mouse-On-Mouse blocking reagent may be needed for IHC and ICC experiments to reduce high background signal. You can find these reagents under catalog numbers PK-2200-NB and MP-2400-NB. Please contact Technical Support if you have any questions.

Specificity

This antibody is specific for Homo sapiens CHK2 checkpoint homolog (S. pombe) (CHEK2), transcript variant 1.

Clonality

Monoclonal

Host

Mouse

Isotype

IgG1

Theoretical MW

60.7 kDa.
Disclaimer note: The observed molecular weight of the protein may vary from the listed predicted molecular weight due to post translational modifications, post translation cleavages, relative charges, and other experimental factors.

Description

Novus Biologicals Mouse Chk2 Antibody (OTI5C4) (NBP1-47695) is a monoclonal antibody validated for use in IHC, WB, Flow, ICC/IF and IP. All Novus Biologicals antibodies are covered by our 100% guarantee.

Scientific Data Images for Chk2 Antibody (OTI5C4)

Western Blot: Chk2 Antibody (OTI5C4) [NBP1-47695]

Western Blot: Chk2 Antibody (OTI5C4) [NBP1-47695]

Western Blot: Chk2 Antibody (OTI5C4) [NBP1-47695] - HEK293T cells were transfected with the pCMV6-ENTRY control (Left lane) or pCMV6-ENTRY Chk2 (Right lane) cDNA for 48 hrs and lysed. Equivalent amounts of cell lysates (5 ug per lane) were separated by SDS-PAGE and immunoblotted with anti-Chk2.
Immunocytochemistry/ Immunofluorescence: Chk2 Antibody (OTI5C4) [NBP1-47695]

Immunocytochemistry/ Immunofluorescence: Chk2 Antibody (OTI5C4) [NBP1-47695]

Immunocytochemistry/Immunofluorescence: Chk2 Antibody (OTI5C4) [NBP1-47695] - Chk2 Antibody (5C4) [NBP1-47695] - Staining of COS7 cells transiently transfected by pCMV6-ENTRY Chk2.
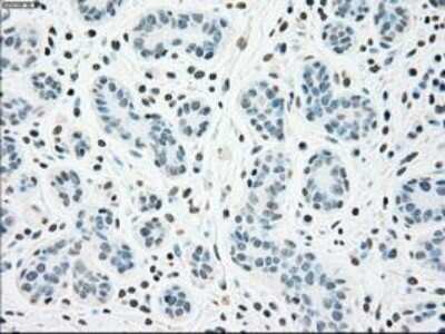
Immunohistochemistry-Paraffin: Chk2 Antibody (OTI5C4) [NBP1-47695]

Immunohistochemistry-Paraffin: Chk2 Antibody (OTI5C4) [NBP1-47695]

Immunohistochemistry-Paraffin: Chk2 Antibody (OTI5C4) [NBP1-47695] - Staining of paraffin-embedded Human pancreas tissue using anti-Chk2 mouse monoclonal antibody.

Applications for Chk2 Antibody (OTI5C4)

Application
Recommended Usage

Flow Cytometry

1:100

Immunocytochemistry/ Immunofluorescence

1:50-100

Immunohistochemistry

1:150

Immunohistochemistry-Paraffin

1:150

Immunoprecipitation

2ug/500ul

Western Blot

1:500-1000

Formulation, Preparation, and Storage

Purification

Immunogen affinity purified

Formulation

PBS (pH 7.3), 1.0% BSA and 50% Glycerol

Preservative

0.02% Sodium Azide

Concentration

1.43 mg/ml

Shipping

The product is shipped with polar packs. Upon receipt, store it immediately at the temperature recommended below.

Stability & Storage

Store at -20C. Avoid freeze-thaw cycles.

Background: Chk2

In response to DNA damage and replication blocks, cell cycle progression is halted through the control of critical cell cycle regulators. The protein encoded by this gene is a cell cycle checkpoint regulator and putative tumor suppressor. It contains a forkhead-associated protein interaction domain essential for activation in response to DNA damage and is rapidly phosphorylated in response to replication blocks and DNA damage. When activated, the encoded protein is known to inhibit CDC25C phosphatase, preventing entry into mitosis, and has been shown to stabilize the tumor suppressor protein p53, leading to cell cycle arrest in G1. In addition, this protein interacts with and phosphorylates BRCA1, allowing BRCA1 to restore survival after DNA damage. Mutations in this gene have been linked with Li-Fraumeni syndrome, a highly penetrant familial cancer phenotype usually associated with inherited mutations in TP53. Also, mutations in this gene are thought to confer a predisposition to sarcomas, breast cancer, and brain tumors. This nuclear protein is a member of the CDS1 subfamily of serine/threonine protein kinases. Three transcript variants encoding different isoforms have been found for this gene.

Long Name

Checkpoint Kinase 2

Alternate Names

CDS1, CHEK2, HuCds1, LFS2, PP1425, Rad53

Entrez Gene IDs

11200 (Human)

Gene Symbol

CHEK2

Additional Chk2 Products

Product Documents for Chk2 Antibody (OTI5C4)

Certificate of Analysis

To download a Certificate of Analysis, please enter a lot number in the search box below.

Product Specific Notices for Chk2 Antibody (OTI5C4)

This product is for research use only and is not approved for use in humans or in clinical diagnosis. Primary Antibodies are guaranteed for 1 year from date of receipt.

Loading...
Loading...
Loading...
Loading...
Loading...