Skip to main content

CHD8 Antibody

Novus Biologicals, part of Bio-Techne | Catalog # NB100-60418

Novus Biologicals, part of Bio-Techne
Catalog #
Availability
Size / Price
Qty
Loading...
NB100-60418

Key Product Details

Validated by

Independent Antibodies

Species Reactivity

Validated:

Human, Mouse

Cited:

Human, Mouse

Applications

Validated:

Immunohistochemistry, Immunohistochemistry-Paraffin, Western Blot, Immunoprecipitation

Cited:

Knockout Validated, Immunohistochemistry-Paraffin, Western Blot, Immunocytochemistry/ Immunofluorescence, Immunoprecipitation

Label

Unconjugated

Antibody Source

Polyclonal Rabbit IgG

Concentration

0.2 mg/ml

Product Specifications

Immunogen

The immunogen recognized by this antibody maps to a region between residue 2252 and 2302 of human chromodomain helicase DNA binding protein 8 (NP_065971.2).

Clonality

Polyclonal

Host

Rabbit

Isotype

IgG

Theoretical MW

290 kDa.
Disclaimer note: The observed molecular weight of the protein may vary from the listed predicted molecular weight due to post translational modifications, post translation cleavages, relative charges, and other experimental factors.

Description

Novus Biologicals Knockout (KO) Validated Rabbit CHD8 Antibody (NB100-60418) is a polyclonal antibody validated for use in IHC, WB, ICC/IF and IP. Anti-CHD8 Antibody: Cited in 6 publications. All Novus Biologicals antibodies are covered by our 100% guarantee.

Scientific Data Images for CHD8 Antibody

Western Blot: CHD8 Antibody [NB100-60418]

Western Blot: CHD8 Antibody [NB100-60418]

Western Blot: CHD8 Antibody [NB100-60418] - Detection of human and mouse CHD8 by western blot. Samples: Whole cell lysate (50 ug) from HEK293T, K-562, MCF-7, and NIH 3T3 cells prepared using NETN lysis buffer. Antibody: Affinity purified Rabbit anti-CHD8 antibody NB100-60418 used for WB at 0.1 ug/ml. Detection: Chemiluminescence with an exposure time of 75 seconds.
Immunohistochemistry-Paraffin: CHD8 Antibody [NB100-60418]

Immunohistochemistry-Paraffin: CHD8 Antibody [NB100-60418]

Immunohistochemistry-Paraffin: CHD8 Antibody [NB100-60418] - section of mouse CT26 colon carcinoma. Antibody: Affinity purified rabbit anti-CHD8 used at a dilution of 1:1000 (0.2ug/ml). Detection: DAB
Immunohistochemistry-Paraffin: CHD8 Antibody [NB100-60418]

Immunohistochemistry-Paraffin: CHD8 Antibody [NB100-60418]

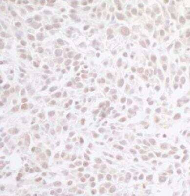
Immunohistochemistry-Paraffin: CHD8 Antibody [NB100-60418] - Section of human breast carcinoma. Antibody: Affinity purified rabbit anti-CHD8 used at a dilution of 1:1000 (0.2ug/ml). Detection: DAB

Applications for CHD8 Antibody

Application
Recommended Usage

Immunohistochemistry

1:200- 1:1000

Immunohistochemistry-Paraffin

1:200- 1:1000

Immunoprecipitation

2-10 ug/mg lysate

Western Blot

1:2000-1:10000
Application Notes
Epitope retrieval with citrate buffer pH6.0 is recommended for FFPE tissue sections.

Formulation, Preparation, and Storage

Purification

Immunogen affinity purified

Formulation

TBS and 0.1% BSA

Preservative

0.09% Sodium Azide

Concentration

0.2 mg/ml

Shipping

The product is shipped with polar packs. Upon receipt, store it immediately at the temperature recommended below.

Stability & Storage

Store at 4C. Do not freeze.

Background: CHD8

CHD8 is a member of the CHD (chromodomain-helicase-DNA-binding) family of proteins that interacts with nucleosomes and plays a role in chromatin remodeling to modulate transcription. The members of the CHD family of proteins possess 3 common structural and functional domains: a chromodomain (chromatin organization modifier), an SNF2-like helicase/ATPase domain, and a C-terminal DNA-binding domain. CHD8 has been reported to interact with duplin, a protein involved in the wnt signaling pathway, and CTCF, a protein involved in heterochromatin formation. Alternate names for CHD8 include chromodomain-helicase-DNA-binding protein 8, ATP-dependent helicase CHD8, helicase with SNF2 domain 1, HELSNF1, and KIAA1564.

Alternate Names

ATP-dependent helicase CHD8, CHD-8, chromodomain helicase DNA binding protein 8, DKFZp686N17164, duplin, EC 3.6.1, EC 3.6.1.7, EC 3.6.4.12, Helicase with SNF2 domain 1chromodomain-helicase-DNA-binding protein 8, HELSNF1, KIAA1564axis duplication inhibitor

Entrez Gene IDs

57680 (Human)

Gene Symbol

CHD8

UniProt

Additional CHD8 Products

Product Documents for CHD8 Antibody

Certificate of Analysis

To download a Certificate of Analysis, please enter a lot number in the search box below.

Product Specific Notices for CHD8 Antibody

This product is for research use only and is not approved for use in humans or in clinical diagnosis. Primary Antibodies are guaranteed for 1 year from date of receipt.

Loading...
Loading...
Loading...
Loading...
Loading...