Skip to main content

CEP170 Antibody - BSA Free

Novus Biologicals, part of Bio-Techne | Catalog # NBP2-34074

Novus Biologicals, part of Bio-Techne
Catalog #
Availability
Size / Price
Qty
Loading...
NBP2-34074
NBP2-34074-25ul

Key Product Details

Species Reactivity

Validated:

Human

Predicted:

Mouse (94%). Backed by our 100% Guarantee.

Applications

Immunohistochemistry, Immunohistochemistry-Paraffin, Immunocytochemistry/ Immunofluorescence

Label

Unconjugated

Antibody Source

Polyclonal Rabbit IgG

Format

BSA Free

Concentration

Concentrations vary lot to lot. See vial label for concentration. If unlisted please contact technical services.

Product Specifications

Immunogen

This antibody was developed against a recombinant protein corresponding to amino acids: IPPLVHSKTPEGNNGRSGDPRPQAAEPPDHLTITRRRTWSRDEVMGDNLLLSSVFQFSKKIRQSIDKTAGKIRILFKDKDRNWDDIESKLRAESEVPIVKT

Clonality

Polyclonal

Host

Rabbit

Isotype

IgG

Description

Novus Biologicals Rabbit CEP170 Antibody - BSA Free (NBP2-34074) is a polyclonal antibody validated for use in IHC and ICC/IF. All Novus Biologicals antibodies are covered by our 100% guarantee.

Scientific Data Images for CEP170 Antibody - BSA Free

Immunocytochemistry/ Immunofluorescence: CEP170 Antibody [NBP2-34074]

Immunocytochemistry/ Immunofluorescence: CEP170 Antibody [NBP2-34074]

Immunocytochemistry/Immunofluorescence: CEP170 Antibody [NBP2-34074] - Staining of human cell line U-251 MG shows localization to cytosol & centrosome. Antibody staining is shown in green.
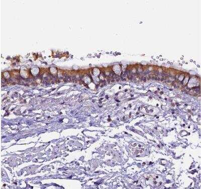
Immunohistochemistry-Paraffin: CEP170 Antibody [NBP2-34074]

Immunohistochemistry-Paraffin: CEP170 Antibody [NBP2-34074]

Immunohistochemistry-Paraffin: CEP170 Antibody [NBP2-34074] - Staining of human bronchus shows moderate cytoplasmic positivity in respiratory epithelial cells.

Applications for CEP170 Antibody - BSA Free

Application
Recommended Usage

Immunocytochemistry/ Immunofluorescence

0.25-2 ug/ml

Immunohistochemistry

1:500 - 1:1000

Immunohistochemistry-Paraffin

1:500 - 1:1000
Application Notes
For IHC-Paraffin, HIER pH 6 retrieval is recommended. ICC/IF Fixation Permeabilization: Use PFA/Triton X-100.

Formulation, Preparation, and Storage

Purification

Affinity purified

Formulation

PBS (pH 7.2) and 40% Glycerol

Format

BSA Free

Preservative

0.02% Sodium Azide

Concentration

Concentrations vary lot to lot. See vial label for concentration. If unlisted please contact technical services.

Shipping

The product is shipped with polar packs. Upon receipt, store it immediately at the temperature recommended below.

Stability & Storage

Store at 4C short term. Aliquot and store at -20C long term. Avoid freeze-thaw cycles.

Background: CEP170

The product of this gene is a component of the centrosome, a non-membraneous organelle that functions as the major microtubule-organizing center in animal cells. During interphase, the encoded protein localizes to the sub-distal appendages of mature centrioles, which are microtubule-based structures thought to help organize centrosomes. During mitosis, the protein associates with spindle microtubules near the centrosomes. The protein interacts with and is phosphorylated by polo-like kinase 1, and functions in maintaining microtubule organization and cell morphology. The human genome contains a putative transcribed pseudogene. Several alternatively spliced transcript variants of this gene have been found, but the full-length nature of some of these variants has not been determined.

Alternate Names

centrosomal protein 170kDa, Cep170, KARP 1 binding protein, KARP-1-binding protein, KARP1-binding protein, KIAA0470FAM68AKABcentrosomal protein of 170 kDa, XRCC5 binding protein

Gene Symbol

CEP170

UniProt

Additional CEP170 Products

Product Documents for CEP170 Antibody - BSA Free

Certificate of Analysis

To download a Certificate of Analysis, please enter a lot number in the search box below.

Product Specific Notices for CEP170 Antibody - BSA Free

This product is for research use only and is not approved for use in humans or in clinical diagnosis. Primary Antibodies are guaranteed for 1 year from date of receipt.

Loading...
Loading...
Loading...
Loading...