Skip to main content

CDK4 Antibody (CDK4/8351R) - Azide and BSA Free

Novus Biologicals, part of Bio-Techne | Catalog # NBP3-49589

Recombinant Monoclonal Antibody
Novus Biologicals, part of Bio-Techne
Catalog #
Availability
Size / Price
Qty
Loading...
NBP3-49589

Key Product Details

Species Reactivity

Human

Applications

Immunohistochemistry

Label

Unconjugated

Antibody Source

Recombinant Monoclonal Rabbit IgG Kappa Clone # CDK4/8351R

Format

Azide and BSA Free

Concentration

Please see the vial label for concentration. If unlisted please contact technical services.

Product Specifications

Immunogen

Recombinant fragment corresponding to N-terminal of human CDK4 protein (Uniprot: P11802)

Localization

Nucleus, Cytoplasm

Clonality

Monoclonal

Host

Rabbit

Isotype

IgG Kappa

Theoretical MW

34 kDa.
Disclaimer note: The observed molecular weight of the protein may vary from the listed predicted molecular weight due to post translational modifications, post translation cleavages, relative charges, and other experimental factors.

Description

Prepared in 10mM PBS WITHOUT BSA & azide at 1.0mg/ml. Also available with 0.05% BSA & 0.05% azide.

Antibody with azide - store at 2 to 8 C. Antibody without azide - store at -20 to -80 C. Antibody is stable for 24 months. Non-hazardous.

Scientific Data Images for CDK4 Antibody (CDK4/8351R) - Azide and BSA Free

CDK4 Antibody (CDK4/8351R) - Azide and BSA Free

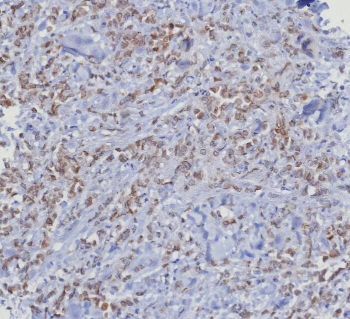
Immunohistochemistry-Paraffin: CDK4 Antibody (CDK4/8351R) - Azide and BSA Free [NBP3-49589] -

Formalin-fixed, paraffin-embedded human bladder cancer stained with CDK4 Antibody (CDK4/8351R) - Azide and BSA Free. HIER: Tris/EDTA, pH9.0, 45min. 2�C: HRP-polymer, 30min. DAB, 5min.
CDK4 Antibody (CDK4/8351R) - Azide and BSA Free

Immunohistochemistry-Paraffin: CDK4 Antibody (CDK4/8351R) - Azide and BSA Free [NBP3-49589] -

Formalin-fixed, paraffin-embedded human mammary cancer stained with CDK4 Antibody (CDK4/8351R) - Azide and BSA Free. HIER: Tris/EDTA, pH9.0, 45min. 2�C: HRP-polymer, 30min. DAB, 5min.
CDK4 Antibody (CDK4/8351R) - Azide and BSA Free

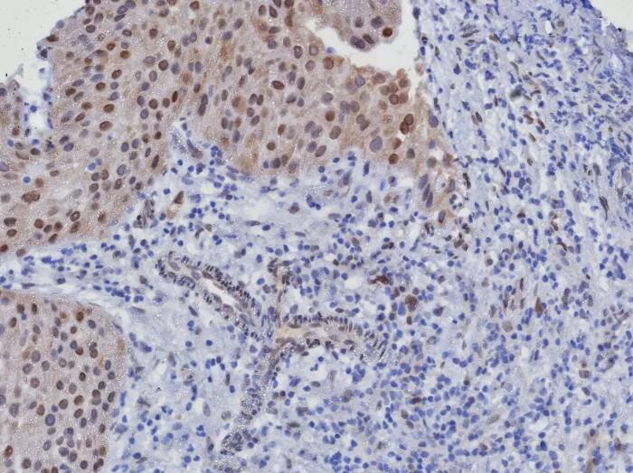
Immunohistochemistry-Paraffin: CDK4 Antibody (CDK4/8351R) - Azide and BSA Free [NBP3-49589] -

Formalin-fixed, paraffin-embedded human serous ovarian cancer stained with CDK4 Antibody (CDK4/8351R) - Azide and BSA Free. Inset: PBS instead of primary antibody; secondary only negative control.

Applications for CDK4 Antibody (CDK4/8351R) - Azide and BSA Free

Application
Recommended Usage

Immunohistochemistry

Optimal dilutions of this antibody should be experimentally determined.

Formulation, Preparation, and Storage

Purification

Protein A or G purified

Formulation

10 mM PBS

Format

Azide and BSA Free

Preservative

No Preservative

Concentration

Please see the vial label for concentration. If unlisted please contact technical services.

Shipping

The product is shipped with polar packs. Upon receipt, store it immediately at the temperature recommended below.

Stability & Storage

Store at -20 to -80C. Avoid freeze-thaw cycles.

Background: CDK4

Cdk4 is encoded by this gene is a member of the Ser/Thr protein kinase family. This protein is highly similar to the gene products of S. cerevisiae cdc28 and S. pombe cdc2. It is a catalytic subunit of the protein kinase complex that is important for cell cycle G1 phase progression. The activity of this kinase is restricted to the G1-S phase, which is controlled by the regulatory subunits D-type cyclins and CDK inhibitor p16(INK4a). This kinase was shown to be responsible for the phosphorylation of retinoblastoma gene product (Rb). Mutations in this gene as well as in its related proteins including D-type cyclins, p16(INK4a) and Rb were all found to be associated with tumorigenesis of a variety of cancers. Multiple polyadenylation sites of this gene have been reported.

Long Name

Cyclin-dependent Kinase 4

Alternate Names

CMM3, PSK-J3

Gene Symbol

CDK4

Additional CDK4 Products

Product Documents for CDK4 Antibody (CDK4/8351R) - Azide and BSA Free

Certificate of Analysis

To download a Certificate of Analysis, please enter a lot number in the search box below.

Product Specific Notices for CDK4 Antibody (CDK4/8351R) - Azide and BSA Free

This product is for research use only and is not approved for use in humans or in clinical diagnosis. Primary Antibodies are guaranteed for 1 year from date of receipt.

Loading...
Loading...
Loading...
Loading...