Skip to main content

CDK4 Antibody (6N3M6)

Novus Biologicals, part of Bio-Techne | Catalog # NBP3-15344

Recombinant Monoclonal Antibody
Novus Biologicals, part of Bio-Techne
Catalog #
Availability
Size / Price
Qty
Loading...
NBP3-15344-20ul
NBP3-15344-100ul

Key Product Details

Species Reactivity

Human, Mouse, Rat

Applications

Immunohistochemistry, Immunohistochemistry-Paraffin, Western Blot

Label

Unconjugated

Antibody Source

Recombinant Monoclonal Rabbit IgG Clone # 6N3M6 expressed in HEK293

Concentration

Please see the vial label for concentration. If unlisted please contact technical services.

Product Specifications

Immunogen

A synthetic peptide corresponding to a sequence within amino acids 204-303 of human CDK4 (NP_000066.1). FAEMFRRKPLFCGNSEADQLGKIFDLIGLPPEDDWPRDVSLPRGAFPPRGPRPVQSVVPEMEESGAQLLLEMLTFNPHKRISAFRALQHSYLHKDEGNPE

Clonality

Monoclonal

Host

Rabbit

Isotype

IgG

Description

Novus Biologicals Rabbit CDK4 Antibody (6N3M6) (NBP3-15344) is a recombinant monoclonal antibody validated for use in IHC and WB. All Novus Biologicals antibodies are covered by our 100% guarantee.

Scientific Data Images for CDK4 Antibody (6N3M6)

Western Blot: CDK4 Antibody (6N3M6) [NBP3-15344]

Western Blot: CDK4 Antibody (6N3M6) [NBP3-15344]

Western Blot: CDK4 Antibody (3G7Q7) [NBP3-15344] - Western blot analysis of extracts of MCF7 cells, using CDK4 Rabbit mAb (NBP3-15344) at 1:1000 dilution. Secondary antibody: HRP Goat Anti-Rabbit IgG (H+L) at 1:10000 dilution. Lysates/proteins: 25ug per lane. Blocking buffer: 3% nonfat dry milk in TBST. Detection: ECL Basic Kit. Exposure time: 3min.
Immunocytochemistry/ Immunofluorescence: CDK4 Antibody (6N3M6) [NBP3-15344]

Immunocytochemistry/ Immunofluorescence: CDK4 Antibody (6N3M6) [NBP3-15344]

Immunocytochemistry/Immunofluorescence: CDK4 Antibody (3G7Q7) [NBP3-15344] - Immunofluorescence analysis of HeLa cells using CDK4 Rabbit mAb (NBP3-15344) at dilution of 1:100 (40x lens). Blue: DAPI for nuclear staining.
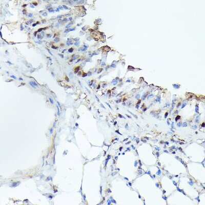
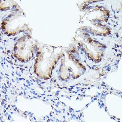
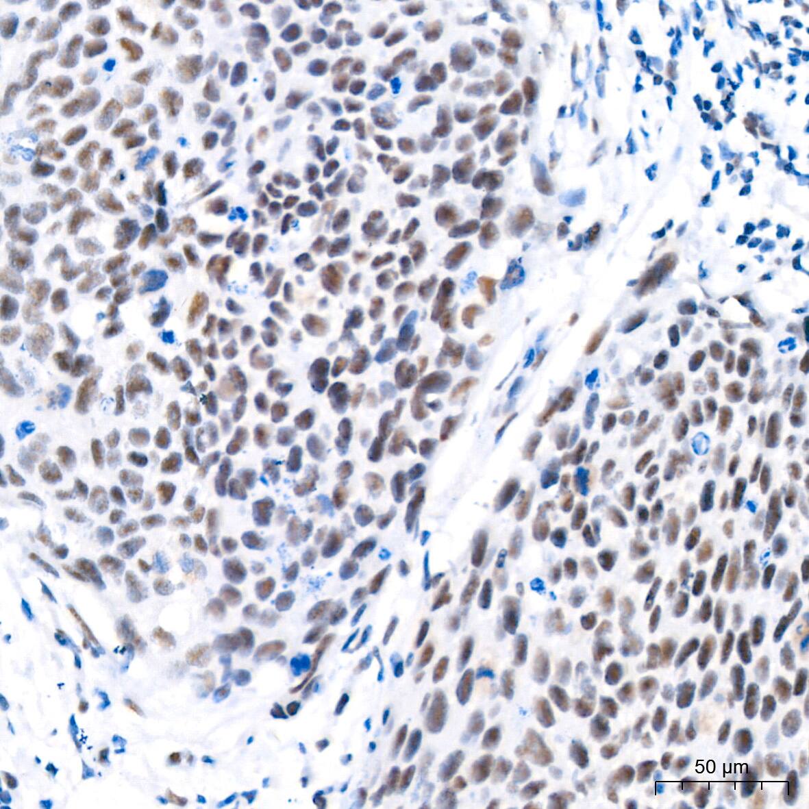
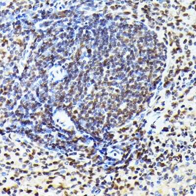
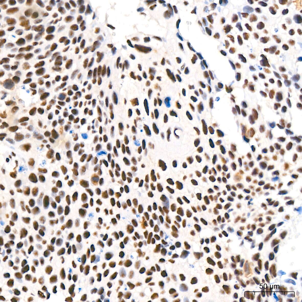
Immunohistochemistry-Paraffin: CDK4 Antibody (6N3M6) [NBP3-15344]

Immunohistochemistry-Paraffin: CDK4 Antibody (6N3M6) [NBP3-15344]

Immunohistochemistry-Paraffin: CDK4 Antibody (3G7Q7) [NBP3-15344] - Immunohistochemistry of paraffin-embedded rat ovary using [KO Validated] CDK4 Rabbit mAb (NBP3-15344) at dilution of 1:100 (40x lens).Perform high pressure antigen retrieval with 10 mM citrate buffer pH 6.0 before commencing with IHC staining protocol.

Applications for CDK4 Antibody (6N3M6)

Application
Recommended Usage

Immunohistochemistry

1:100 - 1:500

Immunohistochemistry-Paraffin

1:100 - 1:500

Western Blot

1:500 - 1:1000

Formulation, Preparation, and Storage

Purification

Affinity purified

Formulation

PBS (pH 7.3), 50% glycerol, 0.05% BSA

Preservative

0.02% Sodium Azide

Concentration

Please see the vial label for concentration. If unlisted please contact technical services.

Shipping

The product is shipped with polar packs. Upon receipt, store it immediately at the temperature recommended below.

Stability & Storage

Store at -20C. Avoid freeze-thaw cycles.

Background: CDK4

Cdk4 is encoded by this gene is a member of the Ser/Thr protein kinase family. This protein is highly similar to the gene products of S. cerevisiae cdc28 and S. pombe cdc2. It is a catalytic subunit of the protein kinase complex that is important for cell cycle G1 phase progression. The activity of this kinase is restricted to the G1-S phase, which is controlled by the regulatory subunits D-type cyclins and CDK inhibitor p16(INK4a). This kinase was shown to be responsible for the phosphorylation of retinoblastoma gene product (Rb). Mutations in this gene as well as in its related proteins including D-type cyclins, p16(INK4a) and Rb were all found to be associated with tumorigenesis of a variety of cancers. Multiple polyadenylation sites of this gene have been reported.

Long Name

Cyclin-dependent Kinase 4

Alternate Names

CMM3, PSK-J3

Gene Symbol

CDK4

Additional CDK4 Products

Product Documents for CDK4 Antibody (6N3M6)

Certificate of Analysis

To download a Certificate of Analysis, please enter a lot number in the search box below.

Product Specific Notices for CDK4 Antibody (6N3M6)

This product is for research use only and is not approved for use in humans or in clinical diagnosis. Primary Antibodies are guaranteed for 1 year from date of receipt.

Loading...
Loading...
Loading...
Loading...