Skip to main content

CD59 Antibody (MACIF/629) - IHC-Prediluted

Novus Biologicals, part of Bio-Techne | Catalog # NBP2-48466

Novus Biologicals, part of Bio-Techne
Catalog #
Availability
Size / Price
Qty
Loading...
NBP2-48466
Conjugate
Catalog #

Key Product Details

Species Reactivity

Human

Applications

Immunohistochemistry, Immunohistochemistry-Paraffin

Label

Unconjugated

Antibody Source

Monoclonal Mouse IgG1 kappa Clone # MACIF/629

Format

IHC-Prediluted

Concentration

Please see the vial label for concentration. If unlisted please contact technical services.

Product Specifications

Immunogen

Human K562 tumor cells

Localization

Cell Surface

Specificity

Reacts with human CD59, a 20kDa glycosyl phosphatidyl-inositol (GPI)-anchored cell surface protein. CD59 regulates complement-mediated cell lysis, and it is involved in lymphocyte signal transduction. This protein is a potent inhibitor of the complement membrane attack complex, whereby it binds complement C8 and/or C9 during the assembly of this complex, thereby inhibiting the incorporation of multiple copies of C9 into the complex, which is necessary for osmolytic pore formation. CD59 is widely distributed on cells in all tissues. It inhibits formation of MAC, thus protecting cells from complement-mediated lysis. The expression of CD59 on erythrocytes is important for their survival. Genetic defects in GPI-anchor attachment, that cause a reduction or loss of CD59 and CD55 on erythrocytes produce the symptoms of the disease paroxysmal hemoglobinuria (PNH). This monoclonal antibody is useful for study on GPI-anchored proteins, PNH and CD59 functions.

Clonality

Monoclonal

Host

Mouse

Isotype

IgG1 kappa

Theoretical MW

20 kDa.
Disclaimer note: The observed molecular weight of the protein may vary from the listed predicted molecular weight due to post translational modifications, post translation cleavages, relative charges, and other experimental factors.

Description

The prediluted antibody does not require any mixing, dilution, reconstitution, or titration; the antibody is ready-to-use and optimized for staining.

Scientific Data Images for CD59 Antibody (MACIF/629) - IHC-Prediluted

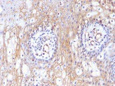
Immunohistochemistry-Paraffin: CD59 Antibody (MACIF/629) - IHC-Prediluted [NBP2-48466]

Immunohistochemistry-Paraffin: CD59 Antibody (MACIF/629) - IHC-Prediluted [NBP2-48466]

Immunohistochemistry-Paraffin: CD59 Antibody (MACIF/629) - IHC-Prediluted [NBP2-48466] - Formalin-fixed, paraffin-embedded human Tongue stained with CD59 Mouse Monoclonal Antibody (MACIF/629).
Immunohistochemistry-Paraffin: CD59 Antibody (MACIF/629) - IHC-Prediluted [NBP2-48466]

Immunohistochemistry-Paraffin: CD59 Antibody (MACIF/629) - IHC-Prediluted [NBP2-48466]

Immunohistochemistry-Paraffin: CD59 Antibody (MACIF/629) - IHC-Prediluted [NBP2-48466] - Formalin-fixed, paraffin-embedded human Tongue stained with CD59 Mouse Monoclonal Antibody (MACIF/629).

Applications for CD59 Antibody (MACIF/629) - IHC-Prediluted

Application
Recommended Usage

Immunohistochemistry

Optimal dilutions of this antibody should be experimentally determined.

Immunohistochemistry-Paraffin

Optimal dilutions of this antibody should be experimentally determined.
Application Notes
Immunohistochemistry (Formalin-fixed): 1-2ug/ml for 30 minutes at RT. Staining of formalin-fixed tissues requires heating tissue sections in 10mM Tris with 1mM EDTA, pH 9.0, for 45 min at 95C followed by cooling at RT for 20 minutes.
Optimal dilution for a specific application should be determined.

Formulation, Preparation, and Storage

Purification

Protein G purified

Formulation

10 mM PBS with 0.05% BSA

Format

IHC-Prediluted

Preservative

0.05% Sodium Azide

Concentration

Please see the vial label for concentration. If unlisted please contact technical services.

Shipping

The product is shipped with polar packs. Upon receipt, store it immediately at the temperature recommended below.

Stability & Storage

Store at 4C.

Background: CD59

CD59, an LY6 like protein expressed in human lymphoid cells, regulates the action of the complement membrane attack complex on homologous cells.

Alternate Names

CD59, HRF20, MACIF, MIC11, Protectin

Gene Symbol

CD59

Additional CD59 Products

Product Documents for CD59 Antibody (MACIF/629) - IHC-Prediluted

Certificate of Analysis

To download a Certificate of Analysis, please enter a lot number in the search box below.

Product Specific Notices for CD59 Antibody (MACIF/629) - IHC-Prediluted

This product is for research use only and is not approved for use in humans or in clinical diagnosis. Primary Antibodies are guaranteed for 1 year from date of receipt.

Loading...
Loading...
Loading...
Loading...