Skip to main content

CD59 Antibody (MACIF/629) - Azide and BSA Free

Novus Biologicals, part of Bio-Techne | Catalog # NBP2-47820

Novus Biologicals, part of Bio-Techne
Catalog #
Availability
Size / Price
Qty
Loading...
NBP2-47820-0.1mg
Conjugate
Catalog #

Key Product Details

Species Reactivity

Human

Applications

Immunohistochemistry, Immunohistochemistry-Paraffin, Flow Cytometry, Immunofluorescence, Immunocytochemistry/ Immunofluorescence, CyTOF-ready

Label

Unconjugated

Antibody Source

Monoclonal Mouse IgG1 kappa Clone # MACIF/629

Format

Azide and BSA Free

Concentration

1.0 mg/ml

Product Specifications

Immunogen

Human K562 tumor cells

Localization

Cell Surface

Specificity

Reacts with human CD59, a 20kDa glycosyl phosphatidyl-inositol (GPI)-anchored cell surface protein. CD59 regulates complement-mediated cell lysis, and it is involved in lymphocyte signal transduction. This protein is a potent inhibitor of the complement membrane attack complex, whereby it binds complement C8 and/or C9 during the assembly of this complex, thereby inhibiting the incorporation of multiple copies of C9 into the complex, which is necessary for osmolytic pore formation. CD59 is widely distributed on cells in all tissues. It inhibits formation of MAC, thus protecting cells from complement-mediated lysis. The expression of CD59 on erythrocytes is important for their survival. Genetic defects in GPI-anchor attachment, that cause a reduction or loss of CD59 and CD55 on erythrocytes produce the symptoms of the disease paroxysmal hemoglobinuria (PNH). This monoclonal antibody is useful for study on GPI-anchored proteins, PNH and CD59 functions.

Clonality

Monoclonal

Host

Mouse

Isotype

IgG1 kappa

Theoretical MW

20 kDa.
Disclaimer note: The observed molecular weight of the protein may vary from the listed predicted molecular weight due to post translational modifications, post translation cleavages, relative charges, and other experimental factors.

Description

1.0 mg/ml of antibody purified from Bioreactor Concentrate. Prepared in 10mM PBS WITHOUT BSA & azide. Also available at 200 ug/ml WITH BSA & azide (NBP2-44700).

Antibody with azide - store at 2 to 8C. Antibody without azide - store at -20 to -80C.

Scientific Data Images for CD59 Antibody (MACIF/629) - Azide and BSA Free

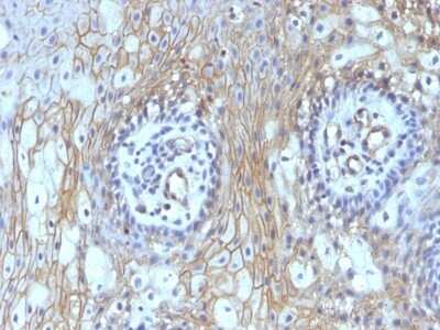
Immunohistochemistry-Paraffin: CD59 Antibody (MACIF/629) - Azide and BSA Free [NBP2-47820]

Immunohistochemistry-Paraffin: CD59 Antibody (MACIF/629) - Azide and BSA Free [NBP2-47820]

Immunohistochemistry-Paraffin: CD59 Antibody (MACIF/629) - Azide and BSA Free [NBP2-47820] - Formalin-fixed, paraffin-embedded human Tongue stained with CD59 Antibody (MACIF/629).
Immunohistochemistry-Paraffin: CD59 Antibody (MACIF/629) - Azide and BSA Free [NBP2-47820]

Immunohistochemistry-Paraffin: CD59 Antibody (MACIF/629) - Azide and BSA Free [NBP2-47820]

Immunohistochemistry-Paraffin: CD59 Antibody (MACIF/629) - Azide and BSA Free [NBP2-47820] - Human Tongue stained with CD59 Monoclonal Antibody (MACIF/629)

Applications for CD59 Antibody (MACIF/629) - Azide and BSA Free

Application
Recommended Usage

Flow Cytometry

0.5 - 1 ug/million cells in 0.1 ml

Immunocytochemistry/ Immunofluorescence

1-2 ug/ml

Immunofluorescence

0.5 - 1.0 ug/ml

Immunohistochemistry-Paraffin

1 - 2 ug/ml
Application Notes
Immunohistochemistry (Formalin-fixed): 1-2ug/ml for 30 minutes at RT. Staining of formalin-fixed tissues requires heating tissue sections in 10mM Tris with 1mM EDTA, pH 9.0, for 45 min at 95C followed by cooling at RT for 20 minutes.
Optimal dilution for a specific application should be determined.

Formulation, Preparation, and Storage

Purification

Protein G purified

Formulation

10 mM PBS

Format

Azide and BSA Free

Preservative

No Preservative

Concentration

1.0 mg/ml

Shipping

The product is shipped with polar packs. Upon receipt, store it immediately at the temperature recommended below.

Stability & Storage

Store at -20 to -80C. Avoid freeze-thaw cycles.

Background: CD59

CD59, an LY6 like protein expressed in human lymphoid cells, regulates the action of the complement membrane attack complex on homologous cells.

Alternate Names

CD59, HRF20, MACIF, MIC11, Protectin

Gene Symbol

CD59

Additional CD59 Products

Product Documents for CD59 Antibody (MACIF/629) - Azide and BSA Free

Certificate of Analysis

To download a Certificate of Analysis, please enter a lot number in the search box below.

Product Specific Notices for CD59 Antibody (MACIF/629) - Azide and BSA Free

This product is for research use only and is not approved for use in humans or in clinical diagnosis. Primary Antibodies are guaranteed for 1 year from date of receipt.

Loading...
Loading...
Loading...
Loading...
Loading...