Skip to main content

CD44 Antibody (CL13319) - Azide and BSA Free

Novus Biologicals, part of Bio-Techne | Catalog # NBP3-44376

Novus Biologicals, part of Bio-Techne

Key Product Details

Validated by

Orthogonal Validation

Species Reactivity

Human

Applications

Immunohistochemistry-Paraffin, Western Blot

Label

Unconjugated

Antibody Source

Monoclonal Mouse IgG3 Clone # CL13319

Format

Azide and BSA Free

Concentration

LYOPH mg/ml

Product Specifications

Immunogen

This antibody was generated using a synthetic peptide of P16070, with the exact immunogen sequence remaining proprietary.

Clonality

Monoclonal

Host

Mouse

Isotype

IgG3

Description

Novus Biologicals Mouse CD44 Antibody (CL13319) - Azide and BSA Free (NBP3-18578) is a monoclonal antibody validated for use in IHC and WB. All Novus Biologicals antibodies are covered by our 100% guarantee.

Scientific Data Images for CD44 Antibody (CL13319) - Azide and BSA Free

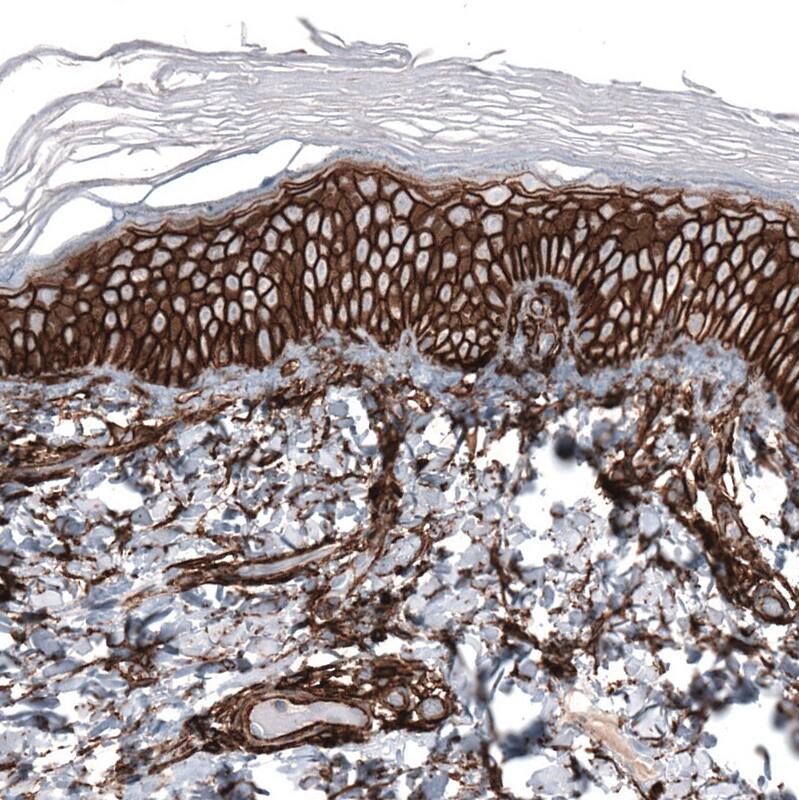
CD44 Antibody (CL13319) - Azide and BSA Free Immunohistochemistry-Paraffin: CD44 Antibody [NBP3-44376]

Immunohistochemistry-Paraffin: CD44 Antibody [NBP3-44376]

Analysis in human skin and skeletal muscle tissues using NBP3-44376 antibody. Corresponding CD44 RNA-seq data are presented for the same tissues.
CD44 Antibody (CL13319) - Azide and BSA Free Immunohistochemistry-Paraffin: CD44 Antibody [NBP3-44376]

Immunohistochemistry-Paraffin: CD44 Antibody [NBP3-44376]

Staining of human breast cancer (metastasis to ovary) shows moderate membranous positivity in tumor cells.
CD44 Antibody (CL13319) - Azide and BSA Free Immunohistochemistry-Paraffin: CD44 Antibody [NBP3-44376]

Immunohistochemistry-Paraffin: CD44 Antibody [NBP3-44376]

Staining of human cervical cancer shows strong membranous positivity in tumor cells.

Applications for CD44 Antibody (CL13319) - Azide and BSA Free

Application
Recommended Usage

Immunohistochemistry-Paraffin

1:5000 - 1:10000

Western Blot

1 ug/ml
Application Notes
For use with IHC-Paraffin, HIER pH 6 retrieval is recommended.

Formulation, Preparation, and Storage

Purification

Protein A purified

Reconstitution

Centrifuge the vial of lyophilized antibody at 12,000 x g for 20 seconds. Reconstitute by adding sterile, distilled water to achieve a final antibody concentration of 1mg/ml.

Formulation

Lyophilized from a 0.2 um filtered solution in PBS with Trehalose

Format

Azide and BSA Free

Preservative

No Preservative

Concentration

LYOPH mg/ml

Shipping

The product is shipped at ambient temperature. Upon receipt, store it immediately at the temperature recommended below.

Stability & Storage

Store at 4C short term. Aliquot and store at -20C long term. Avoid freeze-thaw cycles.

Background: CD44

CD44 represents a family of type I transmembrane glycoproteins expressed on many cell types such as B cells, monocytes, macrophages, and variable subsets of thymocytes and peripheral T cells. CD44 primarily functions as an adhesion molecule. It has been implicated in various processes, such as hematopoiesis, lymphocyte homing, leukocyte activation, tumor metastasis and development. The KM201 monoclonal antibody reacts with an epitope very close to the hyaluronate binding domain on the CD44 molecule. KM201 can inhibit hyaluronate-dependent cell aggregation, prevent lympho-hemopoiesis in both Dexter and Whitlock-Witte Cultures, prevent the earliest intrathymic precursors from homing to the thymus, and costimulate the activation of freshly purified splenic CD4+ T cells.1-6

Alternate Names

CD44, ECMR-III, HCAM, HCELL, LHR, MDU2, MDU3, MIC4, MUTCH-I, Pgp1

Gene Symbol

CD44

Additional CD44 Products

Product Documents for CD44 Antibody (CL13319) - Azide and BSA Free

Certificate of Analysis

To download a Certificate of Analysis, please enter a lot number in the search box below.

Product Specific Notices for CD44 Antibody (CL13319) - Azide and BSA Free

This product is for research use only and is not approved for use in humans or in clinical diagnosis. Primary Antibodies are guaranteed for 1 year from date of receipt.

Loading...
Loading...
Loading...
Loading...
Loading...