CD34 Antibody (HPCA1/1171) - Azide and BSA Free
Novus Biologicals, part of Bio-Techne | Catalog # NBP2-47911
Conjugate
Catalog #
Forumulation
Catalog #
Key Product Details
Species Reactivity
Validated:
Human, Rat
Cited:
Mouse, Flow
Applications
Validated:
Immunohistochemistry, Immunohistochemistry-Paraffin, Western Blot, Flow Cytometry, Immunofluorescence, Immunocytochemistry/ Immunofluorescence, CyTOF-ready
Cited:
Flow Cytometry
Label
Unconjugated
Antibody Source
Monoclonal Mouse IgG1 kappa Clone # HPCA1/1171
Format
Azide and BSA Free
Concentration
1.0 mg/ml
Product Specifications
Immunogen
Recombinant full-length human CD34 protein (Uniprot: P28906)
Localization
Cell surface
Specificity
This antibody recognizes a carbohydrate epitope on a single chain, transmembrane, heavily glycosylated protein of 90-120kDa, which is identified as CD34 (VI international workshop on human differentiation antigens). Its expression is a hallmark for identifying pluripotent hematopoietic stem or progenitor cells. Its expression is gradually lost as lineage committed progenitors differentiate. CD34 is a marker of choice for staining blasts in acute myeloid leukemia. In addition, it is expressed by soft tissue tumors, such as solitary fibrous tumor and gastrointestinal stromal tumor. CD34 expression is also found in vascular endothelium. Additionally, proliferating endothelial cells overexpress this molecule than the non-proliferating endothelial cells. Anti-CD34 labels 85% of angiosarcoma and Kaposis sarcoma, but shows low specificity.
Marker
Hematopoietic Stem Cell & Endothelial Marker
Clonality
Monoclonal
Host
Mouse
Isotype
IgG1 kappa
Description
1.0 mg/ml of antibody purified from Bioreactor Concentrate by Protein A/G. Prepared in 10mM PBS WITHOUT BSA & azide. Also available at 200 ug/ml WITH BSA & azide (NBP2-44569).
Antibody with azide - store at 2 to 8C. Antibody without azide - store at -20 to -80C.
Antibody with azide - store at 2 to 8C. Antibody without azide - store at -20 to -80C.
Scientific Data Images for CD34 Antibody (HPCA1/1171) - Azide and BSA Free
Immunohistochemistry-Paraffin: CD34 Antibody (HPCA1/1171) - Azide and BSA Free [NBP2-47911]
Immunohistochemistry-Paraffin: CD34 Antibody (HPCA1/1171) - Azide and BSA Free [NBP2-47911] - Human Tonsil stained with CD34 Monoclonal Antibody (HPCA1/1171)Flow Cytometry: CD34 Antibody (HPCA1/1171) - Azide and BSA Free [NBP2-47911]
Flow Cytometry: CD34 Antibody (HPCA1/1171) - Azide and BSA Free [NBP2-47911] - KG-1 cells using CD34 Monoclonal Antibody (HPCA1/1171) (red) & isotype control (green).Immunohistochemistry-Paraffin: CD34 Antibody (HPCA1/1171) - Azide and BSA Free [NBP2-47911]
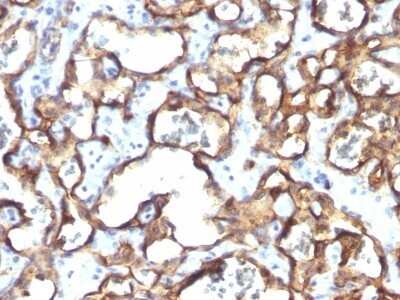
Immunohistochemistry-Paraffin: CD34 Antibody (HPCA1/1171) - Azide and BSA Free [NBP2-47911] - Human Angiosarcoma stained with CD34 Monoclonal Antibody (HPCA1/1171)Applications for CD34 Antibody (HPCA1/1171) - Azide and BSA Free
Application
Recommended Usage
Flow Cytometry
0.5 - 1 ug/million cells in 0.1 ml
Immunocytochemistry/ Immunofluorescence
1-2 ug/ml
Immunofluorescence
0.5 - 1.0 ug/ml
Immunohistochemistry-Paraffin
2 - 4 ug/ml
Western Blot
0.5 - 1.0 ug/ml
Application Notes
Immunohistochemistry (Formalin-fixed): 2-4ug/ml for 30 min at RT. Staining of formalin-fixed tissues requires heating tissue sections in 10mM Tris with 1mM EDTA, pH 9.0, for 45 min at 95C followed by cooling at RT for 20 minutes.
Optimal dilution for a specific application should be determined.
Optimal dilution for a specific application should be determined.
Formulation, Preparation, and Storage
Purification
Protein A or G purified
Formulation
10 mM PBS
Format
Azide and BSA Free
Preservative
No Preservative
Concentration
1.0 mg/ml
Shipping
The product is shipped with polar packs. Upon receipt, store it immediately at the temperature recommended below.
Stability & Storage
Store at -20 to -80C. Avoid freeze-thaw cycles.
Background: CD34
CD34 has commonly been used as a marker for the diagnosis and classification of various diseases and pathologies including leukemia and solitary fibrous tumor (SFT) (2,5). In terms of immunohistochemistry and histopathology, CD34 has been the most common marker for SFT and is expressed in ~79% of cases (5). In addition to its use as a cell marker, CD34-postive (CD34+) hematopoietic stem cells have been used therapeutically in patients following radiation or chemotherapy due to their regenerative potential (6). There are several clinical trials showing promising results for CD34+ cell therapy for cardiovascular diseases including heart failure, ischemia, dilated cardiomyopathy, acute myocardial infarction, and angina (6). Besides hematopoietic lineages, CD34 is also expressed in non-hematopoietic cells including mesenchymal stem cells, endothelial cells and progenitors, fibrocytes, muscle satellite cells, and some cancer stem cells (1,3). While the clinical and cell therapy applications of CD34 as a cell marker is well documented, the function of CD34 is less understood but has been implicated in many cellular processes such as adhesion, proliferation, signal transduction, differentiation, and progenitor phenotype maintenance (1,3).
References
1. Sidney, L. E., Branch, M. J., Dunphy, S. E., Dua, H. S., & Hopkinson, A. (2014). Concise review: evidence for CD34 as a common marker for diverse progenitors. Stem cells (Dayton, Ohio), 32(6), 1380-1389. https://doi.org/10.1002/stem.1661
2. Krause, D. S., Fackler, M. J., Civin, C. I., & May, W. S. (1996). CD34: structure, biology, and clinical utility. Blood, 87(1), 1-13
3. Kapoor, S., Shenoy, S. P., & Bose, B. (2020). CD34 cells in somatic, regenerative and cancer stem cells: Developmental biology, cell therapy, and omics big data perspective. Journal of cellular biochemistry, 121(5-6), 3058-3069. https://doi.org/10.1002/jcb.29571
4. Uniprot (P28906)
5. Davanzo, B., Emerson, R. E., Lisy, M., Koniaris, L. G., & Kays, J. K. (2018). Solitary fibrous tumor. Translational gastroenterology and hepatology, 3, 94. https://doi.org/10.21037/tgh.2018.11.02
6. Prasad, M., Corban, M. T., Henry, T. D., Dietz, A. B., Lerman, L. O., & Lerman, A. (2020). Promise of autologous CD34+ stem/progenitor cell therapy for treatment of cardiovascular disease. Cardiovascular research, 116(8), 1424-1433. https://doi.org/10.1093/cvr/cvaa027
Alternate Names
CD34, HPCA1
Gene Symbol
CD34
Additional CD34 Products
Product Documents for CD34 Antibody (HPCA1/1171) - Azide and BSA Free
Product Specific Notices for CD34 Antibody (HPCA1/1171) - Azide and BSA Free
This product is for research use only and is not approved for use in humans or in clinical diagnosis. Primary Antibodies are guaranteed for 1 year from date of receipt.
Loading...
Loading...
Loading...
Loading...
Loading...
Loading...