Skip to main content

CD163 Antibody - BSA Free

Novus Biologicals, part of Bio-Techne | Catalog # NBP2-49028

Novus Biologicals, part of Bio-Techne
Catalog #
Availability
Size / Price
Qty
Loading...
NBP2-49028
NBP2-49028-25ul

Key Product Details

Validated by

Orthogonal Validation, Independent Antibodies

Species Reactivity

Human

Applications

Immunohistochemistry, Immunohistochemistry-Paraffin

Label

Unconjugated

Antibody Source

Polyclonal Rabbit IgG

Format

BSA Free

Concentration

Concentrations vary lot to lot. See vial label for concentration. If unlisted please contact technical services.

Product Specifications

Immunogen

This antibody was developed against a recombinant protein corresponding to amino acids: ACKQLGCPTAVTAIGRVNASKGFGHIWLDSVSCQGHEPAVWQCKHHEWGKHYCNHNEDAGVTCSD

Reactivity Notes

Rat (83%)

Clonality

Polyclonal

Host

Rabbit

Isotype

IgG

Description

Novus Biologicals Rabbit CD163 Antibody - BSA Free (NBP2-49028) is a polyclonal antibody validated for use in IHC. All Novus Biologicals antibodies are covered by our 100% guarantee.

Scientific Data Images for CD163 Antibody - BSA Free

Immunohistochemistry-Paraffin: CD163 Antibody [NBP2-49028]

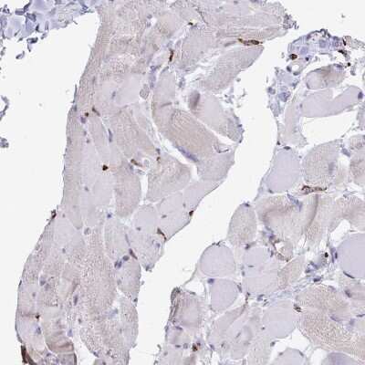
Immunohistochemistry-Paraffin: CD163 Antibody [NBP2-49028]

Immunohistochemistry-Paraffin: CD163 Antibody [NBP2-49028] - Analysis in human spleen and skeletal muscle tissues. Corresponding CD163 RNA-seq data are presented for the same tissues.
Immunohistochemistry-Paraffin: CD163 Antibody [NBP2-49028]

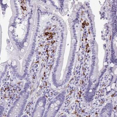
Immunohistochemistry-Paraffin: CD163 Antibody [NBP2-49028]

Immunohistochemistry-Paraffin: CD163 Antibody [NBP2-49028] - Staining of human gastrointestinal, liver, placenta and spleen using Anti-CD163 antibody (A) NBP2-49028 shows similar protein distribution across tissues to independent antibody NBP2-48846 (B).
Immunohistochemistry-Paraffin: CD163 Antibody [NBP2-49028]

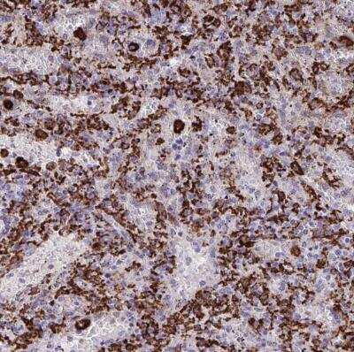
Immunohistochemistry-Paraffin: CD163 Antibody [NBP2-49028]

Immunohistochemistry-Paraffin: CD163 Antibody [NBP2-49028] - Staining of human spleen shows strong membranous positivity in cells in red pulp.

Applications for CD163 Antibody - BSA Free

Application
Recommended Usage

Immunohistochemistry

1:500 - 1:1000

Immunohistochemistry-Paraffin

1:500 - 1:1000
Application Notes
For IHC-Paraffin, HIER pH 6 retrieval is recommended.

Formulation, Preparation, and Storage

Purification

Affinity purified

Formulation

PBS (pH 7.2) and 40% Glycerol

Format

BSA Free

Preservative

0.02% Sodium Azide

Concentration

Concentrations vary lot to lot. See vial label for concentration. If unlisted please contact technical services.

Shipping

The product is shipped with polar packs. Upon receipt, store it immediately at the temperature recommended below.

Stability & Storage

Store at 4C short term. Aliquot and store at -20C long term. Avoid freeze-thaw cycles.

Background: CD163

CD163 (Cluster of Differentiation 163), also known by several other names including M130, p155, RM3/1, Ki-M8, Ber-MAC3, SM4, and GHI/61, is a type I transmembrane glycoprotein that is a member of the scavenger receptor cysteine-rich (SRCR) super family class B (1-3). CD163 is expressed specifically on the monocyte/macrophage lineage and has a theoretical molecular weight of 130-160 kDa in reducing conditions and 110 kDa in non-reducing conditions (2 - 6). CD163 is synthesized as 1076 amino acid (aa) protein consisting of a large extracellular domain (ECD) with nine SRCR domains, proline-serine-threonine rich (PST) linker domain, a transmembrane segment, and a cytoplasmic tail which has varying lengths depending on the isoform due to alternative splicing, with the short 49 aa form being the most common (1-3, 6).

One of the primary functions of CD163 is uptake of haptoglobin-hemoglobin (Hp-Hb) complexes from the liver, spleen, and bone marrow, ultimately triggering an anti-inflammatory response (3, 5, 7). CD163 also functions as an erythroblast adhesion receptor and promotes cell maturation and survival (3, 5, 7). Furthermore, CD163 functions in immune sensing of bacteria and as a receptor for tumor necrosis factor (TNF)-like weak inducer of apoptosis (TWEAK) (3, 5, 7). As mentioned above, CD163 is expressed on cells in the monocyte/macrophage lineage and, in general, anti-inflammatory signals including glucocorticoids, interleukin (IL)-6, and IL-10 stimulate CD163 synthesis and expression while, conversely, pro-inflammatory signals such as interferon-gamma (INF-gamma), TNF-alpha, and lipopolysaccharide (LPS) downregulate CD163 (3, 5). In addition to membrane-bound form of CD163, the protein can be cleaved by metalloproteinases (MMP) and induced by LPS or phorbol myristate acetate (PMA) to release a soluble form (sCD163) into the plasma (7). Increased levels of sCD163 in the plasma and an increased number of CD163-expressing macrophages at the site of inflammation are associated with a variety of pathologies (3, 5-7). CD163/sCD163 is often increased and a suitable clinical marker for inflammatory diseases including rheumatoid arthritis (RA), Gaucher disease, chronic kidney disease, diabetes, and Crohn's disease (3, 5-7).

Alternative names for CD163 includes GHI/61, HbSR, Hemoglobin scavenger receptor, M130, macrophage-associated antigen, MM130, RM3/1, SCARI1, scavenger receptor cysteine-rich type 1 protein M130, sCD163, and soluble CD163.

References

1. Law, S. K., Micklem, K. J., Shaw, J. M., Zhang, X. P., Dong, Y., Willis, A. C., & Mason, D. Y. (1993). A new macrophage differentiation antigen which is a member of the scavenger receptor superfamily. European journal of immunology. https://doi.org/10.1002/eji.1830230940

2. Onofre, G., Kolackova, M., Jankovicova, K., & Krejsek, J. (2009). Scavenger receptor CD163 and its biological functions. Acta medica (Hradec Kralove).

3. Van Gorp, H., Delputte, P. L., & Nauwynck, H. J. (2010). Scavenger receptor CD163, a Jack-of-all-trades and potential target for cell-directed therapy. Molecular immunology. https://doi.org/10.1016/j.molimm.2010.02.008

4. Sulahian, T. H., Hogger, P., Wahner, A. E., Wardwell, K., Goulding, N. J., Sorg, C., Droste, A., Stehling, M., Wallace, P. K., Morganelli, P. M., & Guyre, P. M. (2000). Human monocytes express CD163, which is upregulated by IL-10 and identical to p155. Cytokine. https://doi.org/10.1006/cyto.2000.0720

5. Etzerodt, A., & Moestrup, S. K. (2013). CD163 and inflammation: biological, diagnostic, and therapeutic aspects. Antioxidants & redox signaling. https://doi.org/10.1089/ars.2012.4834

6. Skytthe, M. K., Graversen, J. H., & Moestrup, S. K. (2020). Targeting of CD163+ Macrophages in Inflammatory and Malignant Diseases. International journal of molecular sciences, 21(15), 5497. https://doi.org/10.3390/ijms21155497

7. Moller H. J. (2012). Soluble CD163. Scandinavian journal of clinical and laboratory investigation. https://doi.org/10.3109/00365513.2011.626868

Alternate Names

CD163, GHI/61, HbSR, M130, RM3/1

Gene Symbol

CD163

Additional CD163 Products

Product Documents for CD163 Antibody - BSA Free

Certificate of Analysis

To download a Certificate of Analysis, please enter a lot number in the search box below.

Product Specific Notices for CD163 Antibody - BSA Free

This product is for research use only and is not approved for use in humans or in clinical diagnosis. Primary Antibodies are guaranteed for 1 year from date of receipt.

Loading...
Loading...
Loading...
Loading...